УЗИ почек и мочевого пузыря у ребёнка 4-х лет

Только верифицированые изображения
Ответить
Аватара пользователя
valeriy.andilevko
Сообщения: 194
Зарегистрирован: 01 мар 2011, 19:34
Откуда: Витебск
Контактная информация:

УЗИ почек и мочевого пузыря у ребёнка 4-х лет

Сообщение valeriy.andilevko »

По многочисленным просьбам :D ещё одно наблюдение из архива:
Ребёнок 4-х лет с терминальной гидроцефалией (объём мозгового черепа около 6 - ти литров на глаз), тетрапарезом, вторичным сколиозом 4-й степени, двухсторонним вывихом тазобедренных суставов, глуьокой умственной отсталостью поступил в детское хирургическое отделение. Мать отмечает в течение последних 2-х месяцев кровянистые выделения на памперсе, в последние несолько недель беспокойство ребёнка. В анализе мочи - гематурия.
Произведено УЗИ с бльшими техническими трудностями из - за сопутствующей ортопедической и неврологической патологии
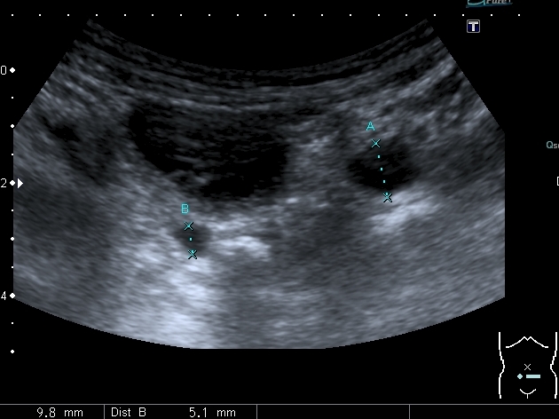
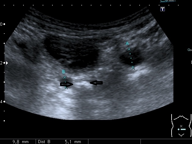
Сокращённый мочевой пузырь
Сокращённый мочевой пузырь
Он же в поперечном скане
Он же в поперечном скане
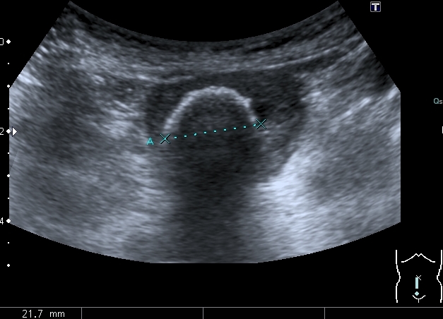
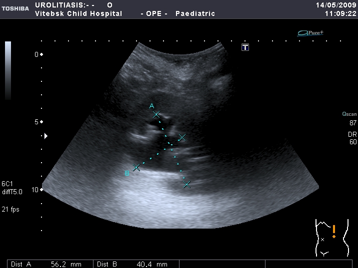
Мочеточники в нижней трети
Мочеточники в нижней трети
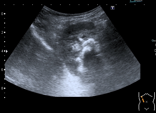
Правая почка
Правая почка
Левая почка
Левая почка
Для того, чтобы продемонстрировать степень ортопедических проблем и облегчить задание (или усложнить :) ) добавляю обзорную рентгенограмму брюшной полости
DX0001.jpg
Ваши заключения?
Аватара пользователя
valeriy.andilevko
Сообщения: 194
Зарегистрирован: 01 мар 2011, 19:34
Откуда: Витебск
Контактная информация:

Re: УЗИ почек и мочевого пузыря у ребёнка 4-х лет

Сообщение valeriy.andilevko »

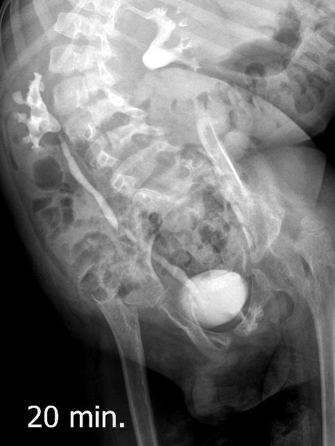
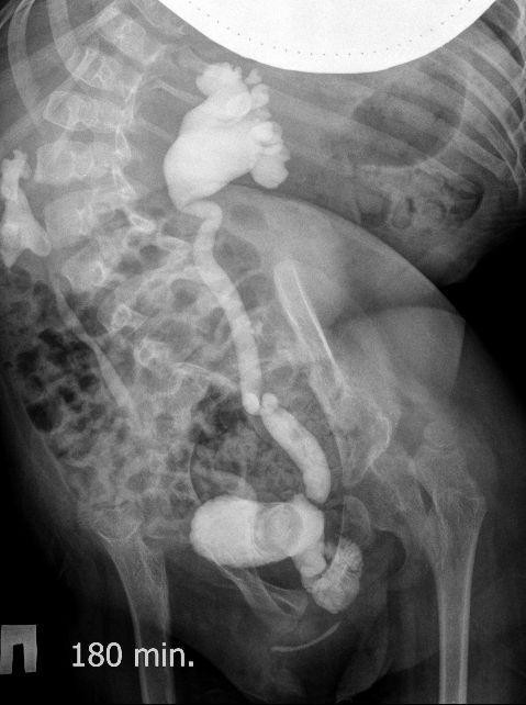
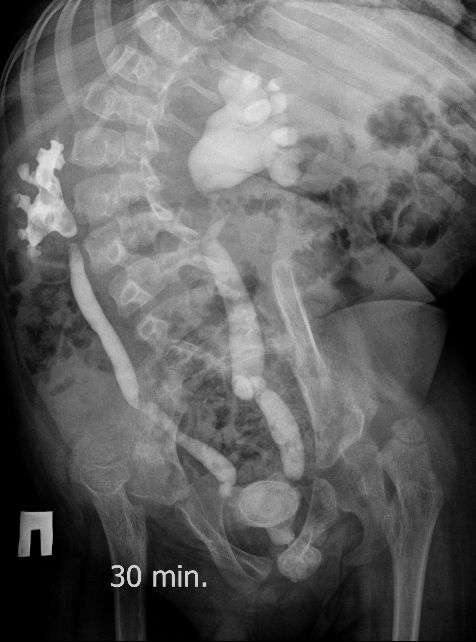
Поскольку откликов нет, добавляю экскреторные урограммы этого же пациента
DX0001.jpg
DX0002.jpg
DX0003.jpg
DX0004.jpg
DX0005.jpg
Аватара пользователя
KsV
Администратор
Сообщения: 2191
Зарегистрирован: 22 фев 2009, 13:38
Откуда: Беларусь-Lietuva
Контактная информация:

Re: УЗИ почек и мочевого пузыря у ребёнка 4-х лет

Сообщение KsV »

Нейрогенный мочевой пузырь (?), МКБ, конкремент мочевого пузыря, двухсторонний мегауретер, конкремент правой почки.
Аватара пользователя
valeriy.andilevko
Сообщения: 194
Зарегистрирован: 01 мар 2011, 19:34
Откуда: Витебск
Контактная информация:

Re: УЗИ почек и мочевого пузыря у ребёнка 4-х лет

Сообщение valeriy.andilevko »

Всё верно, только что вот это ?
DX0001.jpg
И что законтрастировалось на экскреторных урограммах около мочевого пузыря?
DX0004.jpg
Аватара пользователя
KsV
Администратор
Сообщения: 2191
Зарегистрирован: 22 фев 2009, 13:38
Откуда: Беларусь-Lietuva
Контактная информация:

Re: УЗИ почек и мочевого пузыря у ребёнка 4-х лет

Сообщение KsV »

Плохо разбираюсь в Рг-исследованиях.

Стриктура уретры с расширением ее проксимального отдела?
Аватара пользователя
valeriy.andilevko
Сообщения: 194
Зарегистрирован: 01 мар 2011, 19:34
Откуда: Витебск
Контактная информация:

Re: УЗИ почек и мочевого пузыря у ребёнка 4-х лет

Сообщение valeriy.andilevko »

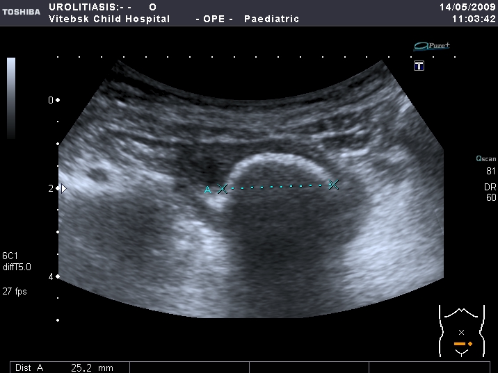
Если честно, и я изначально не совсем понял, где находится конкремент (а это конечно же конкремент), локализованный на урограммах. При первичном исследовании на УЗИ его я не видел (либо он спрятался за тенью конкремента мочевого пузыря, либо я обрадовался редкой находке конкремента такого размера в мочевом пузыре - 2.5 см, и не посмотрел что ниже). Тем не менее при ретроспективном анализе архивированных сонограмм, как мне кажется, он попал в один из сканов, м.б. не совсем чётко.
I20111114160229796.jpg
И всё -же, где конкремент :?:
Аватара пользователя
KsV
Администратор
Сообщения: 2191
Зарегистрирован: 22 фев 2009, 13:38
Откуда: Беларусь-Lietuva
Контактная информация:

Re: УЗИ почек и мочевого пузыря у ребёнка 4-х лет

Сообщение KsV »

Возможно, в дивертикуле либо в нижней трети мочеточника..
Аватара пользователя
valeriy.andilevko
Сообщения: 194
Зарегистрирован: 01 мар 2011, 19:34
Откуда: Витебск
Контактная информация:

Re: УЗИ почек и мочевого пузыря у ребёнка 4-х лет

Сообщение valeriy.andilevko »

Верификация:
Выдержка из протокола операции- "...вскрыт мочевой пузырь, обнаружен камень 4 х 3х 2.5 см, плотный, удалён. При дальнейшей ревизии мочевого пузыря обнаружен вколоченный камень в шейке мочевого пузыря и в уретре, удалён камень 2 х 1.5 х 1.5 см. При осмотре устья левого мочеточника - последний зияет, мочеточник расширен до 1 см, учитывая расширение мочеточника, проведена антирефлюксная пластика по Грегуару..."
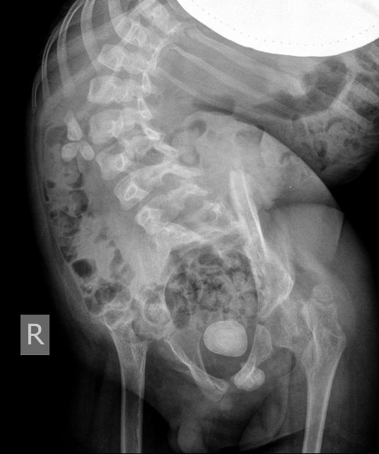
Через 6 месяцев при контрольном УЗИ - сохраняются камни в правой почке прежних размеров. Собирательная система левой почки не расширена.
На обзорной рентгенограмме брюшной полости - контрастных конкрементов в области мочевого пузыря и уретры нет
CR0001.jpg
На экскреторной урограмме - размеры собирательной системы левой почки уменьшились. Визуализирована расшиенная контрастированная проксимальная уретра.
CR0003.jpg
Шла речь о литотрипсии справа, но учитывая сопутствующую патологию от неё было решено отказаться. Через год ребёнок, насколько я знаю, умер, но не от ренальных причин.
Аватара пользователя
KsV
Администратор
Сообщения: 2191
Зарегистрирован: 22 фев 2009, 13:38
Откуда: Беларусь-Lietuva
Контактная информация:

Re: УЗИ почек и мочевого пузыря у ребёнка 4-х лет

Сообщение KsV »

Отличная публикация, поздравляю!
Чуть позже отправлю в архив.
Ответить

Вернуться в «Исследования в педиатрии»

Кто сейчас на конференции

Сейчас этот форум просматривают: нет зарегистрированных пользователей и 0 гостей