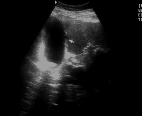
УЗИ ЖКБ.Острый гангренозный холецистит.
УЗИ ЖКБ.Острый гангренозный холецистит.
Мужчина 68лет, жалобы на боли в правом подреберье:
Через 2 дня боли уменьшились, но появилась Т38,4:
Сорри за качество, все также с телефона 
- valeriy.andilevko
- Сообщения: 194
- Зарегистрирован: 01 мар 2011, 19:34
- Откуда: Витебск
- Контактная информация:
Re: Желчный пузырь
А как же дифференцировка слоёв стенки ?
http://radiology.by/forum/viewtopic.php ... 6&start=40
Re: Желчный пузырь
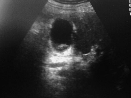
Желчный пузырь с неравномерно утолщённой стенкой на всём протяжении . Дифференцировка слоёв отсутствует ...
Диагноз подтвержден "операционно"...
Re: Желчный пузырь
перивезукулярный абсцесс...
Re: Желчный пузырь
Еще так
:
Re: Желчный пузырь
- valeriy.andilevko
- Сообщения: 194
- Зарегистрирован: 01 мар 2011, 19:34
- Откуда: Витебск
- Контактная информация:
Re: Желчный пузырь
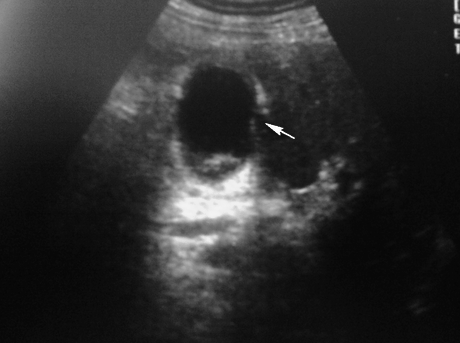
Таки, наверное, да, только скопление жидкости , скорее всё - таки паравезикальноSerg писал(а):острый холецисти с перфорацией, определяется дефект стенки и скопление жидкости в паренхиме печени
Re: Желчный пузырь
Да, все верно. Только в просвете еще и конкременты (может снимок не совсем удачный, больше хотелось вывести "дырку" в стенке, а не камень, но он был
)
Кстати нарушение целостности видно и здесь: Послеоперационный диагноз (списала с истории болезни): ЖКБ.Острый калькулезный гангренозный холецистит. Перфорация желчного пузыря. Местный перитонит.
Кстати нарушение целостности видно и здесь: Послеоперационный диагноз (списала с истории болезни): ЖКБ.Острый калькулезный гангренозный холецистит. Перфорация желчного пузыря. Местный перитонит.
Re: Желчный пузырь
Инга, а какое заключение Вы выдали до опрации 
Кто сейчас на конференции
Сейчас этот форум просматривают: нет зарегистрированных пользователей и 0 гостей