УЗИ почек у больного с гемофилией А

Почки, мочеточники, мочевой пузырь, уретра. Простата и яички.
Изображения для консультации

Модератор: KsV

Ответить
Аватара пользователя
valeriy.andilevko
Сообщения: 194
Зарегистрирован: 01 мар 2011, 19:34
Откуда: Витебск
Контактная информация:

УЗИ почек у больного с гемофилией А

Сообщение valeriy.andilevko »

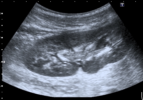
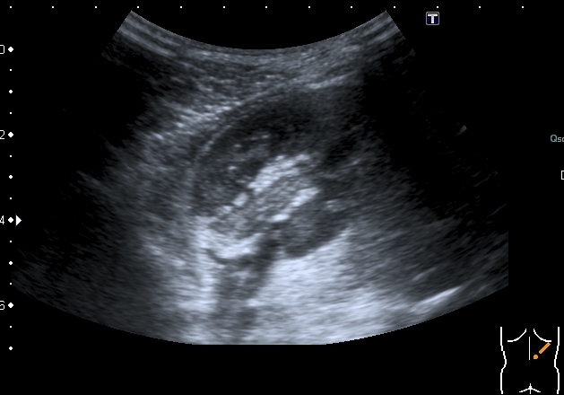
Мальчик 13 лет , страдает гемофилией А. Накануне ударился правым боком , появилась тёмная моча.
На УЗИ - такая картина:
Правая почка - паренхима не изменена, в срединном комплексе - лоханка с толстыми стенками и гиперэхогенным содержимым
Правая почка - паренхима не изменена, в срединном комплексе - лоханка с толстыми стенками и гиперэхогенным содержимым
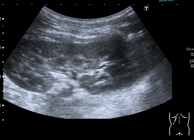
Левая почка
Левая почка
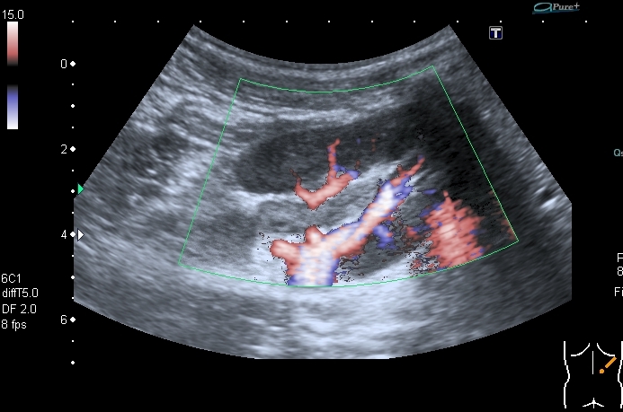
Она же
Она же
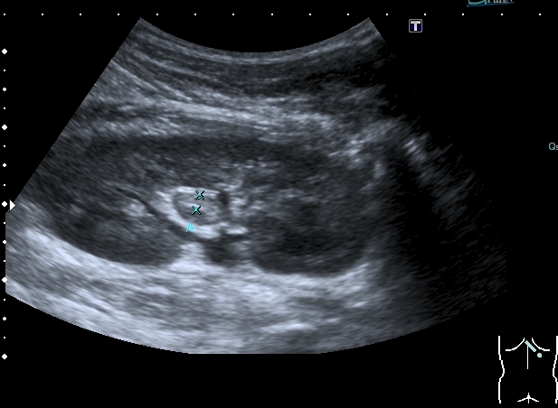
Поперечный скан
Поперечный скан
I20111213164328609.jpg
I20111213164328875.jpg
Как трактовать данные изменения - Пиелит? Гемапиелос? Отёк стенки лоханки ( по аналогии с желчным пузырём)?
Заранее благодарен за отзывы. :)
Аватара пользователя
valeriy.andilevko
Сообщения: 194
Зарегистрирован: 01 мар 2011, 19:34
Откуда: Витебск
Контактная информация:

Re: УЗИ почек у больного с гемофилией А

Сообщение valeriy.andilevko »

Dr Alex писал(а):Отек стенок ЧЛС имхо
Но из - за чего?
Аватара пользователя
KsV
Администратор
Сообщения: 2191
Зарегистрирован: 22 фев 2009, 13:38
Откуда: Беларусь-Lietuva
Контактная информация:

Re: УЗИ почек у больного с гемофилией А

Сообщение KsV »

Здесь какой вариант не предложи - вопрос будет такой же - из-за чего?


Поэтому правильнее отталкиваться от того что мы видим. А видим мы классические признаки, которые встречаем чаще всего при воспалении ЧЛС - признаки пиелита - признаки отека стенок ЧЛС на фоне воспаления. Здесь аналогичная картина, но, вероятнее всего, вызванная травмой - надрыв - разрыв -нарушение целостности стенки ЧЛС - отек - асептическое воспаление.

По-другому я объяснить изменения пока не могу.

По сему согласен с заключением Др Алекс.
Аватара пользователя
valeriy.andilevko
Сообщения: 194
Зарегистрирован: 01 мар 2011, 19:34
Откуда: Витебск
Контактная информация:

Re: УЗИ почек у больного с гемофилией А

Сообщение valeriy.andilevko »

KapustinSV писал(а):... Здесь аналогичная картина, но, вероятнее всего, вызванная травмой - надрыв - разрыв -нарушение целостности стенки ЧЛС - отек - асептическое воспаление.

По-другому я объяснить изменения пока не могу.

По сему согласен с заключением Др Алекс.
Какова вероятность повреждения стенки ЧЛС без повреждения паренхимы и формирования урогематомы при непямой травме?
Аватара пользователя
KsV
Администратор
Сообщения: 2191
Зарегистрирован: 22 фев 2009, 13:38
Откуда: Беларусь-Lietuva
Контактная информация:

Re: УЗИ почек у больного с гемофилией А

Сообщение KsV »

Повреждение паренхимы в данной ситуации присутствует (контузия как минимум), но может быть и разрыв, направленый не наружу, а в сторону ЧЛС.
Аватара пользователя
valeriy.andilevko
Сообщения: 194
Зарегистрирован: 01 мар 2011, 19:34
Откуда: Витебск
Контактная информация:

Re: УЗИ почек у больного с гемофилией А

Сообщение valeriy.andilevko »

Сегодня хотел проконтролировать состояние лоханки в динамике, но узнал, что ребёнка уже выписали. :cry:
Ответить

Вернуться в «Уронефрологические исследования»

Кто сейчас на конференции

Сейчас этот форум просматривают: нет зарегистрированных пользователей и 0 гостей