Нейробластома правого надпочечника

Только верифицированые изображения
Ответить
Аватара пользователя
valeriy.andilevko
Сообщения: 194
Зарегистрирован: 01 мар 2011, 19:34
Откуда: Витебск
Контактная информация:

Нейробластома правого надпочечника

Сообщение valeriy.andilevko »

Случай годичной давности:
В хирургический приёмный покой поступил ребёнок 2-х лет с жалобами родителей на увеличение живота. Направлен на УЗИ с диагнозом "Опухоль Вильмса справа?"
При осмотре - живот увеличен в размерах, в правой половине пальпируется плотное образование.
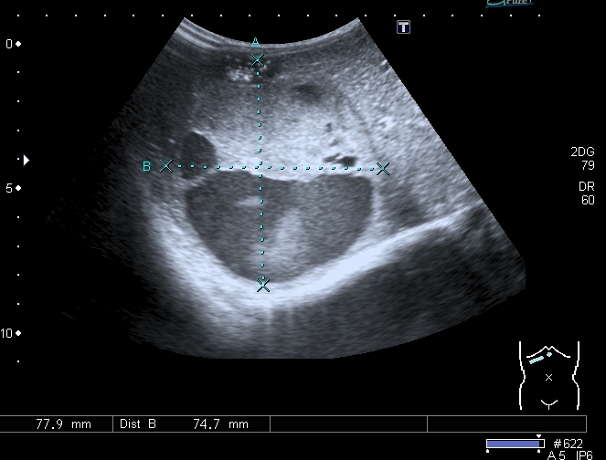
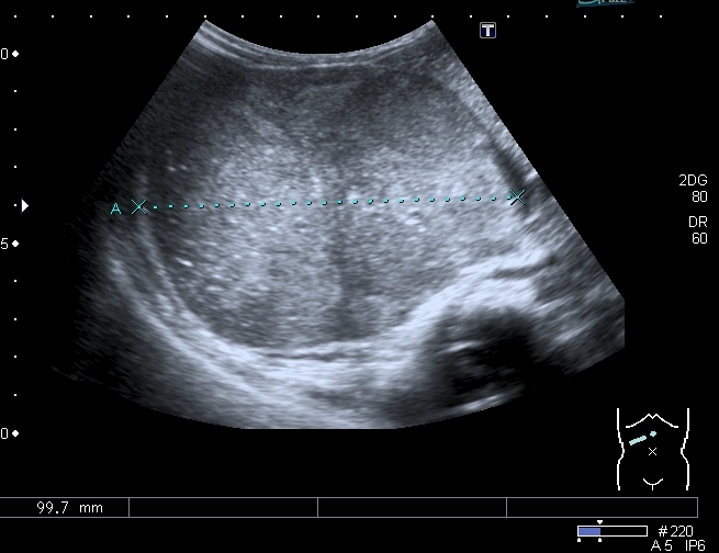
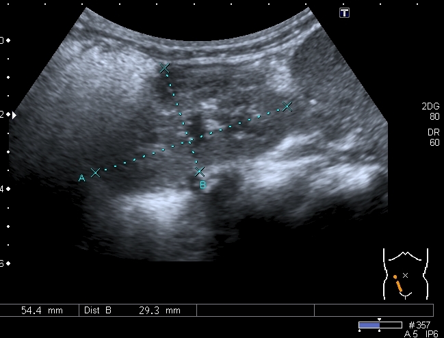
При УЗИ вся правая половина живота выполнена солидно - кистозным образованием больших размеров.
I20111223134850312.jpg
I20111223134850453.jpg
I20111223134850578.jpg
I20111223134850796.jpg
Правая почка нашлась в полости таза, верхним полюсом прилежала к образованию, но не была с ним связана.
I20111223134850921.jpg
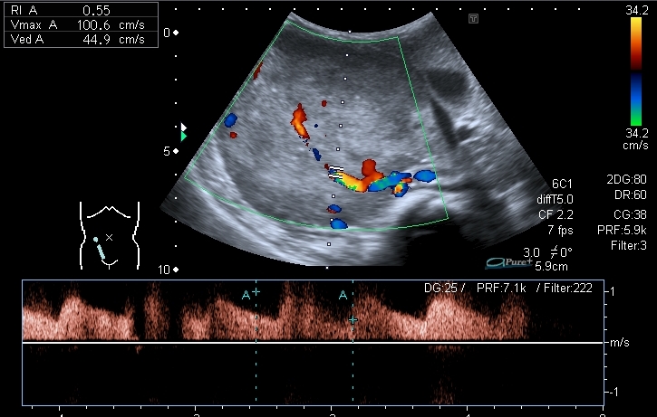
При ЦДК - образование васкуляризировано, кровоток в образовании малорестриктивный.
I20111223134851031.jpg
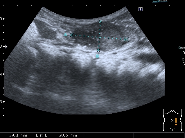
Увеличены парааортальные лимфатические узлы.
I20111223134851140.jpg
Направлен в онкогематологический центр, диагноз нейробластомы из правого надпочечника верифицирован морфологически.
Ответить

Вернуться в «Исследования в педиатрии»

Кто сейчас на конференции

Сейчас этот форум просматривают: нет зарегистрированных пользователей и 0 гостей