Опухоль правого надпочечника.

Только верифицированые изображения
Ответить
Аватара пользователя
valeriy.andilevko
Сообщения: 194
Зарегистрирован: 01 мар 2011, 19:34
Откуда: Витебск
Контактная информация:

Опухоль правого надпочечника.

Сообщение valeriy.andilevko »

Ребёнок 2.5 месяцев, доставлен в связи с выявленным при очередном осмотре увеличением печени.
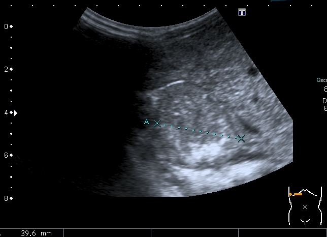
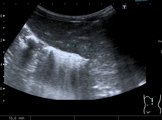
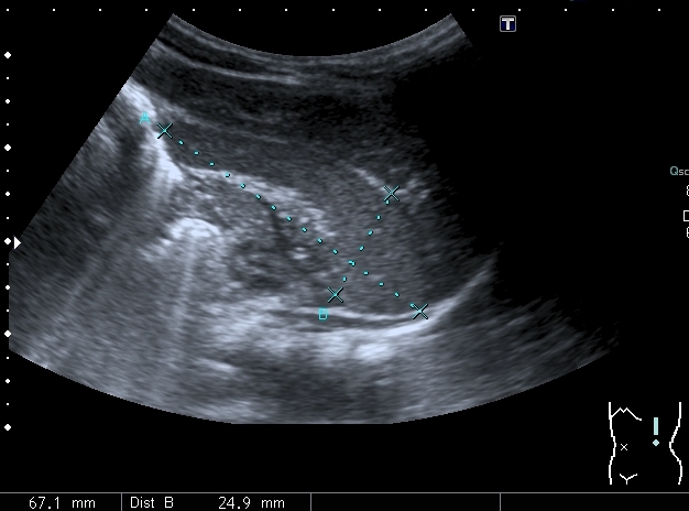
При УЗИ: печень резко увеличена, больше за счёт левой доли
Правая доля
Правая доля
Левая доля
Левая доля
Левая доля прилежит к селезёнке, оттесняет её вниз и дорзально
I20120103120447937.jpg
I20120103120448375.jpg
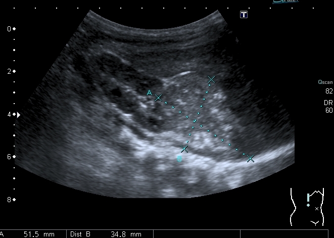
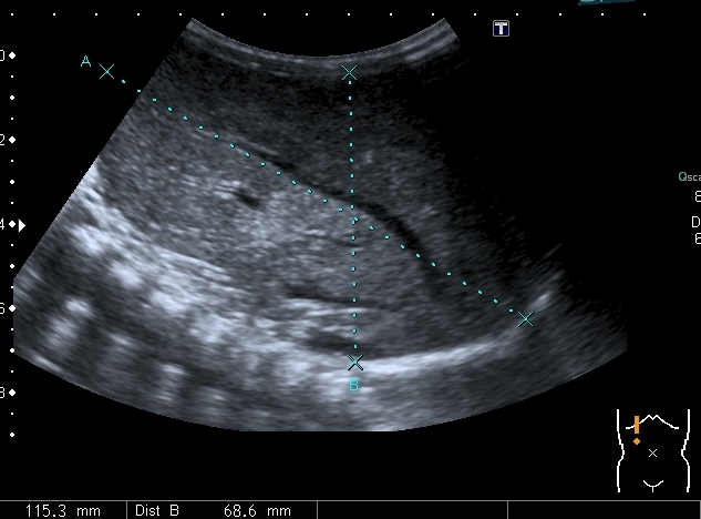
Паренхима печени -гиперэхогенная , неоднородная, практически полностью замещена нодулярными образованиями, некоторые из них с "гало" и кальцификацией
I20120103120447718.jpg
I20120103120448265.jpg
I20120103120448156.jpg
Видео:
Паренхима печени.wmv
(1.26 МБ) 120 скачиваний
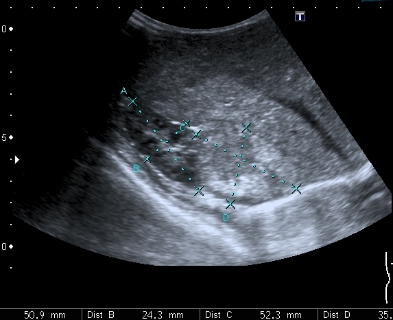
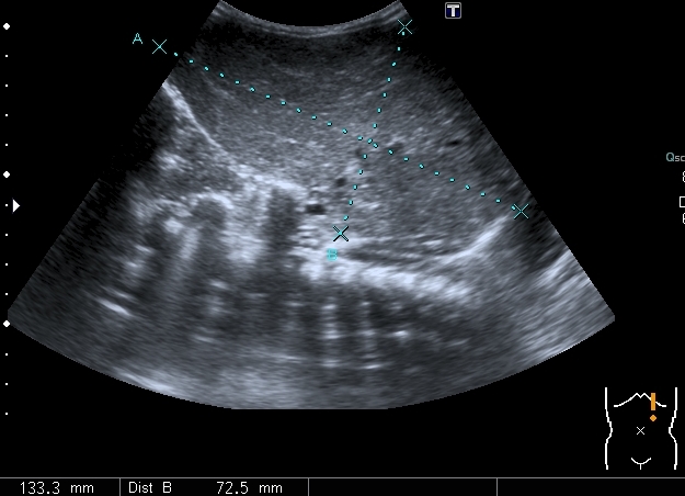
Правый надпочечник представлен округлым гиперэхогенным тканевым образованием с участками кальцификации, гиповаскулярным по отношению к ткани печени и почки
I20120103120447343.jpg
I20120103120447609.jpg
I20120103120447437.jpg
Видео:
Опухоль надпочечника.wmv
(3.86 МБ) 116 скачиваний
ЦДК.wmv
(1.06 МБ) 141 скачивание
Моё заключение: нейробластома правого надпочечника с тотальным метастатическим поражением печени. Прошу членов форума высказать своё мнение о случае. Постараюсь отследить верификацию.
Serg
Сообщения: 252
Зарегистрирован: 15 июн 2011, 20:52
Контактная информация:

Re: Опухоль правого надпочечника.

Сообщение Serg »

Правомочно ли указывать в заключении морфологический диагноз, может правильней написать, эхопризнаки объемного образования в проекции напдопчечника..больше данных за тото...с мтс в печень..

Как считаете...?
Аватара пользователя
valeriy.andilevko
Сообщения: 194
Зарегистрирован: 01 мар 2011, 19:34
Откуда: Витебск
Контактная информация:

Re: Опухоль правого надпочечника.

Сообщение valeriy.andilevko »

Serg писал(а):Правомочно ли указывать в заключении морфологический диагноз, может правильней написать, эхопризнаки объемного образования в проекции напдопчечника..больше данных за тото...с мтс в печень..

Как считаете...?
Конечно, разрешающая способность УЗИ - аппаратов ещё не позволяет нам полностью конкурировать с гистологами, но есть определённые нозологические формы , при которых мы можем с относительной уверенностью ставить морфологический диагноз по УЗИ - картине. Нейробластома из надпочечника у новорожденного , ИМХО, одна из них. Патогномоничный признак - участки кальцификации, хотя они могут быть и в других быстрорастущих опухолях, например в нефробластоме. Из встречавшихся мне опухолей надпочечника у новорожденных альтернативных вариантов нефробластоме не было. Хорошая статья на эту тему здесь:http://vidar.ru/@getfile.asp?fid=USFD_2005_4_87
Похожие случаи:http://radiographia.ru/node/3209?page=1
http://radiographia.ru/node/4809
Аватара пользователя
valeriy.andilevko
Сообщения: 194
Зарегистрирован: 01 мар 2011, 19:34
Откуда: Витебск
Контактная информация:

Re: Опухоль правого надпочечника.

Сообщение valeriy.andilevko »

Верифицированный морфологически диагноз: С74.9 Низкодифференцированная нейробластома правого надпочечника с метастатическим поражением печени и костного мозга. T2N0M1, IVS стадия.
Аватара пользователя
dok69
Сообщения: 137
Зарегистрирован: 19 дек 2009, 19:32
Откуда: г.Бобруйск
Контактная информация:

Re: Опухоль правого надпочечника.

Сообщение dok69 »

:cry:
http://endosono.ru
*****************************************
Странный этот мир, в котором двое смотрят на одно и тоже, а видят разное.
Агата Кристи.
Ответить

Вернуться в «Исследования в педиатрии»

Кто сейчас на конференции

Сейчас этот форум просматривают: нет зарегистрированных пользователей и 1 гость