Ребёнок 3 месяцев , госпитализирован в связи с изменениями в анализах мочи (лейкоцитурия, протеинурия).
При УЗИ: правая почка - не изменена, в левой - незначительное расширение ЧЛС
В нижней чашечке левой почки - конкремент до 5 мм
Конкремент даёт твитлинг - артефакт
В мочевом пузыре определяется достаточно большое уретероцеле слева, периодически увеличивающееся и пульсационное уретероцеле справа. Левый мочеточник в нижней трети резко расширен.
Интересные уретероцеле
- valeriy.andilevko
- Сообщения: 194
- Зарегистрирован: 01 мар 2011, 19:34
- Откуда: Витебск
- Контактная информация:
- KsV
- Администратор
- Сообщения: 2189
- Зарегистрирован: 22 фев 2009, 13:38
- Откуда: Беларусь-Lietuva
- Контактная информация:
Re: Интересные уретероцеле
Случай очень интересный и хорошо иллюстрирован.
Двухсторонние уретероцеле + мегауретеры. Тип мегауретеров определяется на основании данных эксткреторной урографии и микционной уретроцистографии.
Двухсторонние уретероцеле + мегауретеры. Тип мегауретеров определяется на основании данных эксткреторной урографии и микционной уретроцистографии.
- KsV
- Администратор
- Сообщения: 2189
- Зарегистрирован: 22 фев 2009, 13:38
- Откуда: Беларусь-Lietuva
- Контактная информация:
Re: Интересные уретероцеле
Хотелось бы обратить внимание на внутрипочечный тип лоханок с обеих сторон. Считается, что такой тип менее благоприятен из-за слабых демпферных свойств таких ЧЛС.
- valeriy.andilevko
- Сообщения: 194
- Зарегистрирован: 01 мар 2011, 19:34
- Откуда: Витебск
- Контактная информация:
Re: Интересные уретероцеле
Назвал данную тему именно так потому-что меня заинтересовали два момента:
1. Толстая стенка у левого уретероцеле .
2. Транзиторность ( пульсационность, периодичность, непостоянство
не знаю , как красивее назвать) уретероцеле справа.
ЧЛС и проксимальный мочеточник справа не расширен, правой почки на сканах нет, поскольку с её стороны ничего плохого я не заметил. Появилась мысль посмотреть на всё это на фоне введения диуретика - м.б. появится расширение собирательной системы справа
1. Толстая стенка у левого уретероцеле .
2. Транзиторность ( пульсационность, периодичность, непостоянство
ЧЛС и проксимальный мочеточник справа не расширен, правой почки на сканах нет, поскольку с её стороны ничего плохого я не заметил. Появилась мысль посмотреть на всё это на фоне введения диуретика - м.б. появится расширение собирательной системы справа
- KsV
- Администратор
- Сообщения: 2189
- Зарегистрирован: 22 фев 2009, 13:38
- Откуда: Беларусь-Lietuva
- Контактная информация:
Re: Интересные уретероцеле
Для того, чтобы лучше составить представление об изменениях, необходимо оценивать уретероцеле не только попоперечному скану мочевого пузыря, но и по продольным сканам нижней трети мочеточника (включают интрамуральный отдел).
В данном случае, как вариант, может быть стриктура устья и пролабирование комплекса мочеточник+стенка мочевого пузыря в просвет пузыря. Если это так, то при существенном повышении давления в МП (например при его тугом заполнении), это пролабирование исчезнет, в то время как истинный дивертикул всегда останется.
В данном случае, как вариант, может быть стриктура устья и пролабирование комплекса мочеточник+стенка мочевого пузыря в просвет пузыря. Если это так, то при существенном повышении давления в МП (например при его тугом заполнении), это пролабирование исчезнет, в то время как истинный дивертикул всегда останется.
- valeriy.andilevko
- Сообщения: 194
- Зарегистрирован: 01 мар 2011, 19:34
- Откуда: Витебск
- Контактная информация:
Re: Интересные уретероцеле
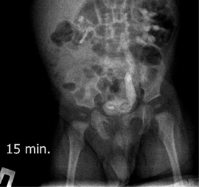
Экскреторные урограммы данного пациента :
На всех снимках определяется левосторонний уретерогидронефроз 3-й степени и левостороннее уретероцеле непостоянного размера. Справа - расширения собирательной системы почки не выявлено. На снимке на 15 минуте после введения контраста определяется уретероцеле справа небольших размеров, на последующих снимках достоверного его контрастирования нет.
Кто сейчас на конференции
Сейчас этот форум просматривают: нет зарегистрированных пользователей и 1 гость