Конкременты в кисте почки.
- valeriy.andilevko
- Сообщения: 194
- Зарегистрирован: 01 мар 2011, 19:34
- Откуда: Витебск
- Контактная информация:
Конкременты в кисте почки.
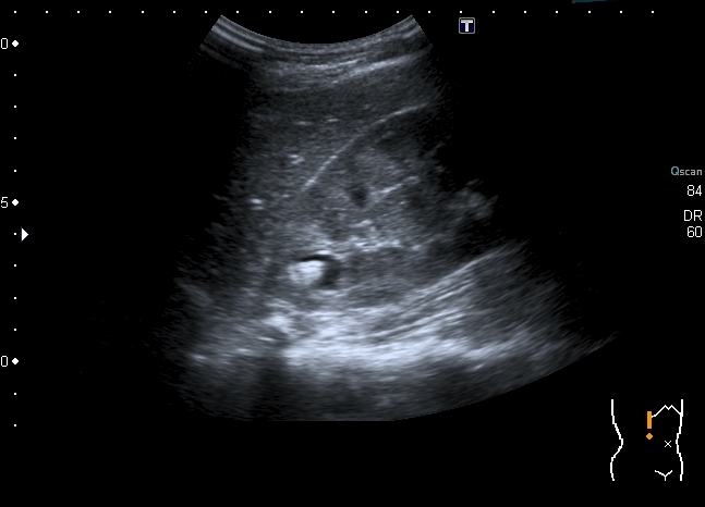
Мальчик 14 лет, на плановой госпитализации, выставлен хронический пиелонефрит.
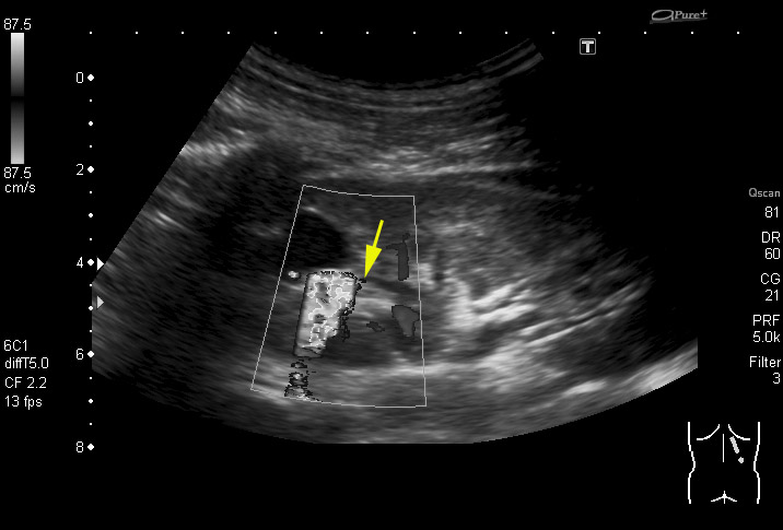
Артефакт цветного твинклинга
Видеоролик :
Ранее на КТ - Киста почки с кальцинатами.
- KsV
- Администратор
- Сообщения: 2191
- Зарегистрирован: 22 фев 2009, 13:38
- Откуда: Беларусь-Lietuva
- Контактная информация:
Re: Конкременты в кисте почки.
Cлева "голова" или справа?
Если датчик поставлен по правилам, то это может быть с-м Фрейли с конкрементом в расширенной верхней чашке. Или пиелогенная киста (дивертикул чашки) с конкрементом. Нужна IVP.
Видео - самое интересное оказалось под ребром.
Если датчик поставлен по правилам, то это может быть с-м Фрейли с конкрементом в расширенной верхней чашке. Или пиелогенная киста (дивертикул чашки) с конкрементом. Нужна IVP.
Видео - самое интересное оказалось под ребром.
- valeriy.andilevko
- Сообщения: 194
- Зарегистрирован: 01 мар 2011, 19:34
- Откуда: Витебск
- Контактная информация:
Re: Конкременты в кисте почки.
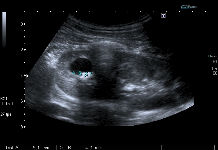
Полость в врехнем полюсе, но на Фрейли не похоже - нет сосуда на ЦДК под полостью. Была мысль о дивертикуле чашечки, будем дообследовать путём экскреторной урогфии, изображения выложу.KapustinSV писал(а):Cлева "голова" или справа?
Если датчик поставлен по правилам, то это может быть с-м Фрейли с конкрементом в расширенной верхней чашке. Или пиелогенная киста (дивертикул чашки) с конкрементом. Нужна IVP.
Видео - самое интересное оказалось под ребром.
- valeriy.andilevko
- Сообщения: 194
- Зарегистрирован: 01 мар 2011, 19:34
- Откуда: Витебск
- Контактная информация:
Re: Конкременты в кисте почки.
Скан области интереса
Ролик с ЦДК
Re: Конкременты в кисте почки.
В этом случае пишу просто - "конкремент в почке" - извините за банальность! 
http://endosono.ru
*****************************************
Странный этот мир, в котором двое смотрят на одно и тоже, а видят разное.
Агата Кристи.
*****************************************
Странный этот мир, в котором двое смотрят на одно и тоже, а видят разное.
Агата Кристи.
- KsV
- Администратор
- Сообщения: 2191
- Зарегистрирован: 22 фев 2009, 13:38
- Откуда: Беларусь-Lietuva
- Контактная информация:
Re: Конкременты в кисте почки.
Для меня самое интересное находится здесь:
Re: Конкременты в кисте почки.
Вас занимает артефакт- "мерцания" или ...?
http://endosono.ru
*****************************************
Странный этот мир, в котором двое смотрят на одно и тоже, а видят разное.
Агата Кристи.
*****************************************
Странный этот мир, в котором двое смотрят на одно и тоже, а видят разное.
Агата Кристи.
- KsV
- Администратор
- Сообщения: 2191
- Зарегистрирован: 22 фев 2009, 13:38
- Откуда: Беларусь-Lietuva
- Контактная информация:
Re: Конкременты в кисте почки.
Нет, меня интересует "или".dok69 писал(а):Вас занимает артефакт- "мерцания" или ...?
Re: Конкременты в кисте почки.
О... интрига!KapustinSV писал(а):Нет, меня интересует "или".
И что там?
http://endosono.ru
*****************************************
Странный этот мир, в котором двое смотрят на одно и тоже, а видят разное.
Агата Кристи.
*****************************************
Странный этот мир, в котором двое смотрят на одно и тоже, а видят разное.
Агата Кристи.
- valeriy.andilevko
- Сообщения: 194
- Зарегистрирован: 01 мар 2011, 19:34
- Откуда: Витебск
- Контактная информация:
Re: Конкременты в кисте почки.
Мальчика выписали без рентгенологического исследования. Будем обходиться УЗИ. Почему это не может быть кистой с конкрементами? Формирование конкрементов в кисте менее вероятно, чем в дивертикуле чашечки или в расширенной чашечке при синроме Фрейли. Но полость уж больно круглая, да и связи с ЧЛС и конфликта с интраренальным сосудом сколько не смотрел, я не увидел.
Кто сейчас на конференции
Сейчас этот форум просматривают: нет зарегистрированных пользователей и 0 гостей