Страница 1 из 1
Неполный тромбоз воротной вены и ее ветвей
Добавлено: 20 июн 2012, 23:47
dok69
Женщина 62 лет.
Наблюдалась и лечилась в Минске, заключение подтверждено ангиографией там же.
Выписана под амбулаторное наблюдение и ленение по месту жительства, рекомендовано УЗИ в динамике.
Видеоролик -
http://youtu.be/fuuof8zQcFQ

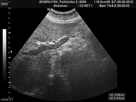
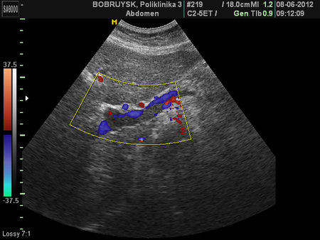
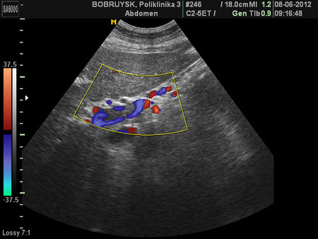
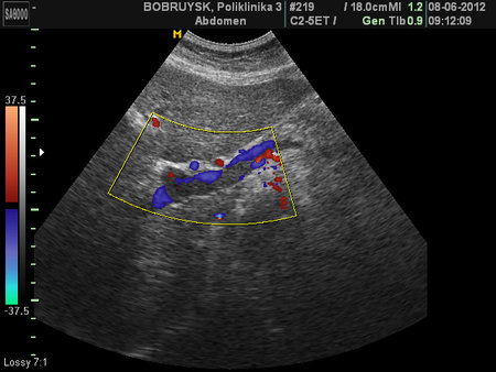
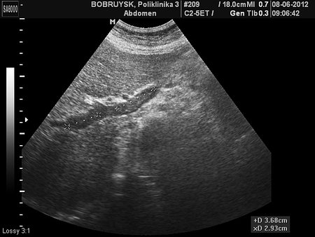
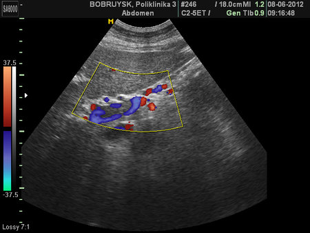
- Тромбоз правой и левой ветвей воротной вены

- ЦДК, промб в левой ветви ВВ.

- Порто-портальные коллатерали
Re: Неполный тромбоз воротной вены и ее ветвей
Добавлено: 21 июн 2012, 07:59
KsV
Очень гут, доказательно.
Интересна причина конкретно этого тромбоза.
У нас в хирургической клинике пилетромбоз чаще всего случается на фоне панкреатитов. Особенностью этих тромбозов является их слабая регрессия; чаще всего они не реканализируются, а кровоток частично восстанавливается через венозные коллатерали.
Re: Неполный тромбоз воротной вены и ее ветвей
Добавлено: 21 июн 2012, 21:53
dok69
Причин данного тромбоза не знаю, т.к пациентка пришла только с предыдущим УЗИ и результатами ангиографии с Минска.
Ни карточки ни выписки на руках не было.
Сослов пациентки, проходит амбулаторное лечение тромболитиками, рекомендовано УЗИ в динамике, по месту жительства и консультации по графику в Минске.
