УЗИ желчного пузыря
- KsV
- Администратор
- Сообщения: 2191
- Зарегистрирован: 22 фев 2009, 13:38
- Откуда: Беларусь-Lietuva
- Контактная информация:
УЗИ желчного пузыря
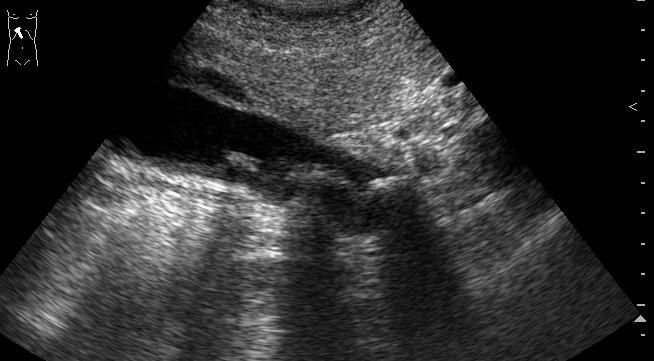
Пожилой мужчина, обратился в приемный покой БСМП с жалобами на периодические тупые боли в эпигастрии и правом подреберье. Год назад были сильные боли в правом подреберье, лечился самостоятельно дома.
УЗИ
Видео
Заключение?
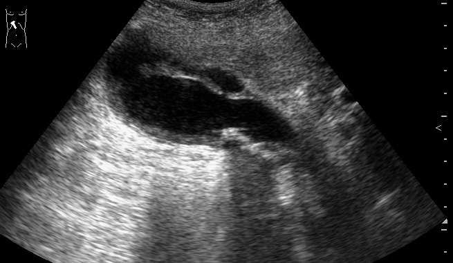
УЗИ
Видео
Заключение?
Re: УЗИ желчного пузыря
Я бы поставил на основании выше показанного и изложенного - Холецистолитиаз, обострение. 
http://endosono.ru
*****************************************
Странный этот мир, в котором двое смотрят на одно и тоже, а видят разное.
Агата Кристи.
*****************************************
Странный этот мир, в котором двое смотрят на одно и тоже, а видят разное.
Агата Кристи.
Re: УЗИ желчного пузыря
прикольно...обострение холецистолитиаза...равносильно обострению нефролитиаза 
Re: УЗИ желчного пузыря
Ну, самому прикольноSerg писал(а):прикольно...обострение холецистолитиаза...равносильно обострению нефролитиаза
А ваше мнение коллега?
Мне что-то передняя стенка не нравится. Там случаем не деструкция?
http://endosono.ru
*****************************************
Странный этот мир, в котором двое смотрят на одно и тоже, а видят разное.
Агата Кристи.
*****************************************
Странный этот мир, в котором двое смотрят на одно и тоже, а видят разное.
Агата Кристи.
Re: УЗИ желчного пузыря
слизистая в просвете желчного пузыря, что говорит о некрозе его стенки ... острый калькулезный холецистит, с перфорацией..
при поперечном сканировании на втором ролике, скопление свободной жидкости в паренхиме печени
при поперечном сканировании на втором ролике, скопление свободной жидкости в паренхиме печени
Re: УЗИ желчного пузыря
А что скажет автор?
Острый гангренозный калькулезный холецистит? Или ....?
Острый гангренозный калькулезный холецистит? Или ....?
http://endosono.ru
*****************************************
Странный этот мир, в котором двое смотрят на одно и тоже, а видят разное.
Агата Кристи.
*****************************************
Странный этот мир, в котором двое смотрят на одно и тоже, а видят разное.
Агата Кристи.
- KsV
- Администратор
- Сообщения: 2191
- Зарегистрирован: 22 фев 2009, 13:38
- Откуда: Беларусь-Lietuva
- Контактная информация:
Re: УЗИ желчного пузыря
Острый калькулезный гангренозный холецистит.
Особенность этого случая в том, что создается впечатление о перфорации стенки пузыря в области дна и наличии скопления желчи в области ложа пузыря.
В действительности перфорации стенки пузыря не было.
Вот как бывает...(с)
Особенность этого случая в том, что создается впечатление о перфорации стенки пузыря в области дна и наличии скопления желчи в области ложа пузыря.
В действительности перфорации стенки пузыря не было.
Вот как бывает...(с)
Re: УЗИ желчного пузыря
перфорацию в заключении надобно выносить по вопросом? или не выносить?
- KsV
- Администратор
- Сообщения: 2191
- Зарегистрирован: 22 фев 2009, 13:38
- Откуда: Беларусь-Lietuva
- Контактная информация:
Re: УЗИ желчного пузыря
Все зависит от того насколько Вы как доктор уверены в своем заключении.Serg писал(а):перфорацию в заключении надобно выносить по вопросом? или не выносить?
Я был уверен и ошибся, хотя пузырь на операции был гангренозно изменен.
Мне не удалось увидеть послеоперационный препарат и мне до сих пор не понятно что в ложе пузыря, возможно это был "колпак".
Re: УЗИ желчного пузыря
У меня ,если есть подозрение на перфорацию, пишу "Нельзя исключить...." или "УЗ-признаки могут соответствовать....."Serg писал(а):перфорацию в заключении надобно выносить по вопросом? или не выносить?
Кто сейчас на конференции
Сейчас этот форум просматривают: нет зарегистрированных пользователей и 0 гостей