УЗИ: тромбоз инфраренального отдела аорты

Аорта и НПВ. Периферические артерии и вены.
Только верифицированые изображения
Ответить
Аватара пользователя
KsV
Администратор
Сообщения: 2191
Зарегистрирован: 22 фев 2009, 13:38
Откуда: Беларусь-Lietuva
Контактная информация:

УЗИ: тромбоз инфраренального отдела аорты

Сообщение KsV »

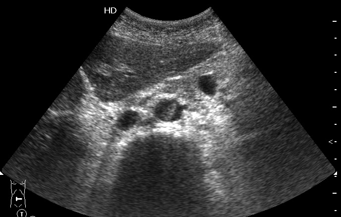
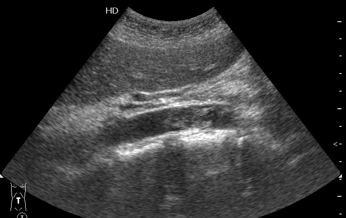
Пожилая женщина, поступила в БСМП с резкими болями в ногах. Пульс на бедренных артериях отсутствует.
Поперечный скан аорты
Поперечный скан аорты
Продольный скан аорты
Продольный скан аорты
Видео:
12-07-12-112352__1.avi
Поперечный скан аорты
(1.06 МБ) 116 скачиваний
12-07-12-112352_5591__2.avi
Продольный скан аорты
(1.01 МБ) 129 скачиваний
12-07-12-112352_3_xvid.avi
Поперечный скан аорты, CFM
(216.71 КБ) 99 скачиваний
12-07-12-112352_4.avi
Компрессия бедренных сосудов, на бодимаркер не обращаем внимание
(527.97 КБ) 124 скачивания
Назначено консервативное лечение, назавтра появился кровоток в бедренных артериях.

Tags: abdominal aortic thrombosis
Ответить

Вернуться в «Cосуды»

Кто сейчас на конференции

Сейчас этот форум просматривают: нет зарегистрированных пользователей и 0 гостей