УЗИ: уретеролитиаз, уринома и нет гидронефроза
Модератор: KsV
- KsV
- Администратор
- Сообщения: 2191
- Зарегистрирован: 22 фев 2009, 13:38
- Откуда: Беларусь-Lietuva
- Контактная информация:
УЗИ: уретеролитиаз, уринома и нет гидронефроза
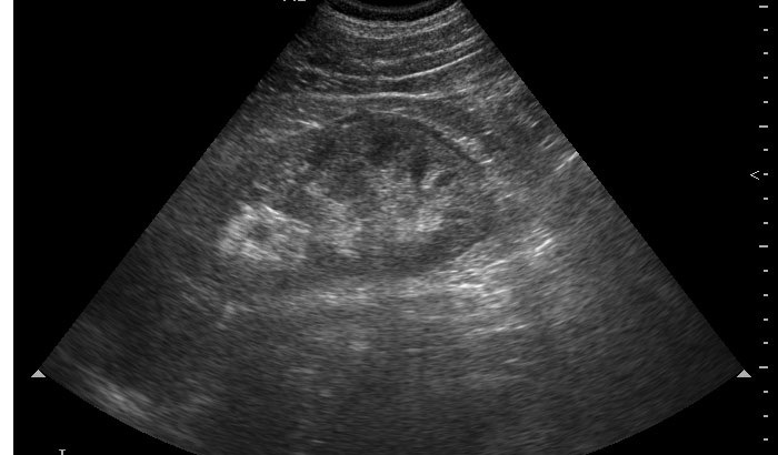
Мужчина средних лет с резкими болями в левом боку.
- valeriy.andilevko
- Сообщения: 194
- Зарегистрирован: 01 мар 2011, 19:34
- Откуда: Витебск
- Контактная информация:
Re: УЗИ левой почки
Подкапсульная гематома почки?
Re: УЗИ левой почки
или паравоспаление
Re: УЗИ левой почки
Возможно, очаговый пиелонефрит (участок воспалительной инфильтрации повышенной эхогенности)? Паранефрит.
А что в ОАМ, анамнез есть???
А что в ОАМ, анамнез есть???
Re: УЗИ левой почки
по наружном контуру - жидкость, ушиб?
Re: УЗИ левой почки
А что с панкреас, KsV ? Паранефрит бывает как осложнение о.панкреатита
- KsV
- Администратор
- Сообщения: 2191
- Зарегистрирован: 22 фев 2009, 13:38
- Откуда: Беларусь-Lietuva
- Контактная информация:
Re: УЗИ левой почки
Панкреас, брюшной отдел аорты - без эхоструктурной патологии.
- valeriy.andilevko
- Сообщения: 194
- Зарегистрирован: 01 мар 2011, 19:34
- Откуда: Витебск
- Контактная информация:
Re: УЗИ левой почки
Ну, и что это было 
Кто сейчас на конференции
Сейчас этот форум просматривают: нет зарегистрированных пользователей и 0 гостей