УЗИ:просто правый яичник у беременной

Матка и придатки. Молочные железы.
Только верифицированые изображения
Аватара пользователя
KsV
Администратор
Сообщения: 2191
Зарегистрирован: 22 фев 2009, 13:38
Откуда: Беларусь-Lietuva
Контактная информация:

УЗИ:просто правый яичник у беременной

Сообщение KsV »

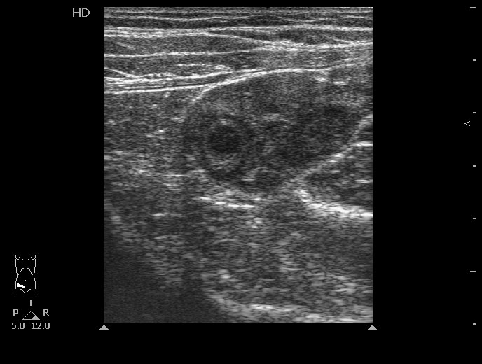
Беременная, боли в правой подвздошной области.
12-12-20-103104_10508_20121.jpg
phpBB [video]
Аватара пользователя
Инга
Сообщения: 216
Зарегистрирован: 23 ноя 2009, 17:22
Контактная информация:

Re: УЗИ правой подвздошной области

Сообщение Инга »

Острый гангренозный аппендицит. Периаппендикулятный инфильтрат ???
Serg
Сообщения: 252
Зарегистрирован: 15 июн 2011, 20:52
Контактная информация:

Re: УЗИ правой подвздошной области

Сообщение Serg »

В правой подвздошной области лоцируется неоднородное образование включающее в себя структуру в виде "мишени" Закл: Эхо картина может соответствовать аппендикулярному инфильтрату
Аватара пользователя
KsV
Администратор
Сообщения: 2191
Зарегистрирован: 22 фев 2009, 13:38
Откуда: Беларусь-Lietuva
Контактная информация:

Re: УЗИ правой подвздошной области

Сообщение KsV »

Домашнее заданее обоим - внимательно пересмотреть видео.
Кстати, я бился об заклад с курсантами что Serg первый определит это как о.флегмонозный А. Но Инга опередила )
Serg
Сообщения: 252
Зарегистрирован: 15 июн 2011, 20:52
Контактная информация:

Re: УЗИ правой подвздошной области

Сообщение Serg »

KsV писал(а): Кстати, я бился об заклад с курсантами что Serg первый определит это как о.флегмонозный А. Но Инга опередила )
Как сие трактовать?
Аватара пользователя
Инга
Сообщения: 216
Зарегистрирован: 23 ноя 2009, 17:22
Контактная информация:

Re: УЗИ правой подвздошной области

Сообщение Инга »

Я вот тоже в раздумьях.....

Похоже там аппендикс "узлом" завязан. ЗАКЛ: О.гангренозный аппендицит(деструктивный?). Периаппендикулярный абсцесс. Местный перитонит.
Serg
Сообщения: 252
Зарегистрирован: 15 июн 2011, 20:52
Контактная информация:

Re: УЗИ правой подвздошной области

Сообщение Serg »

Да нет похоже это плодное яйцо...Надо гинекологию почитать..
Аватара пользователя
KsV
Администратор
Сообщения: 2191
Зарегистрирован: 22 фев 2009, 13:38
Откуда: Беларусь-Lietuva
Контактная информация:

Re: УЗИ правой подвздошной области

Сообщение KsV »

Serg писал(а):
KsV писал(а): Кстати, я бился об заклад с курсантами что Serg первый определит это как о.флегмонозный А. Но Инга опередила )
Как сие трактовать?
Как то, что мы с курсантами университета обсуждаем случаи форума. )
Аватара пользователя
KsV
Администратор
Сообщения: 2191
Зарегистрирован: 22 фев 2009, 13:38
Откуда: Беларусь-Lietuva
Контактная информация:

Re: УЗИ правой подвздошной области

Сообщение KsV »

Serg писал(а):Да нет похоже это плодное яйцо...Надо гинекологию почитать..
Беременность больших сроков.
Serg
Сообщения: 252
Зарегистрирован: 15 июн 2011, 20:52
Контактная информация:

Re: УЗИ правой подвздошной области

Сообщение Serg »

KsV писал(а):.
Кстати, я бился об заклад с курсантами что Serg первый определит это как о.флегмонозный А. Но Инга опередила )
Инга определила как ГАНГРЕНОЗНЫЙ...
Ответить

Вернуться в «Гинекологические исследования»

Кто сейчас на конференции

Сейчас этот форум просматривают: нет зарегистрированных пользователей и 0 гостей