образования печени

Печень, желчный пузырь, поджелудочная железа, селезенка. Кишечник.
Изображения для консультации
Ответить
Аватара пользователя
dok333
Сообщения: 142
Зарегистрирован: 29 окт 2010, 09:59
Откуда: Ukraine,Kharkiv
Контактная информация:

образования печени

Сообщение dok333 »

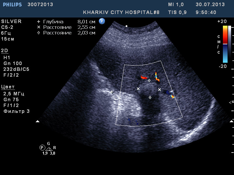
Амбулаторный пациент с тяжелым аортальным стенозом. увидел два образования печени: гиперэхогенное (гемангиома?) и гипперэхогенное кальцинирующей плотности. Рекомендовал КТ.

phpBB [video]
Вложения
13-07-30.jpg
Аватара пользователя
dok333
Сообщения: 142
Зарегистрирован: 29 окт 2010, 09:59
Откуда: Ukraine,Kharkiv
Контактная информация:

Re: образования печени

Сообщение dok333 »

Рекомендовал КТ. Принесли результат.
Вложения
123.jpg
Аватара пользователя
KsV
Администратор
Сообщения: 2191
Зарегистрирован: 22 фев 2009, 13:38
Откуда: Беларусь-Lietuva
Контактная информация:

Re: образования печени

Сообщение KsV »

При КТ хотелось бы более полного описания поведения очагов в разных фазах контрастирования с предположительным выводом об их возможной природе.
Аватара пользователя
dok333
Сообщения: 142
Зарегистрирован: 29 окт 2010, 09:59
Откуда: Ukraine,Kharkiv
Контактная информация:

Re: образования печени

Сообщение dok333 »

Направлял для уточнения характера образований. По сути уточнения не вышло.
Аватара пользователя
KsV
Администратор
Сообщения: 2191
Зарегистрирован: 22 фев 2009, 13:38
Откуда: Беларусь-Lietuva
Контактная информация:

Re: образования печени

Сообщение KsV »

Но Вы то сделали свою работу.
Аватара пользователя
dok333
Сообщения: 142
Зарегистрирован: 29 окт 2010, 09:59
Откуда: Ukraine,Kharkiv
Контактная информация:

Re: образования печени

Сообщение dok333 »

Вы правы. Хотелось конечно конкретики
Ответить

Вернуться в «Абдоминальные исследования»

Кто сейчас на конференции

Сейчас этот форум просматривают: нет зарегистрированных пользователей и 0 гостей