Пациентка с анемией - опухоль толстой кишки

Печень, желчный пузырь, поджелудочная железа, селезенка. Кишечник.
Только верифицированые изображения
Аватара пользователя
dok333
Сообщения: 142
Зарегистрирован: 29 окт 2010, 09:59
Откуда: Ukraine,Kharkiv
Контактная информация:

Пациентка с анемией - опухоль толстой кишки

Сообщение dok333 »

Пожилая пациентка с анемией.
phpBB [video]

phpBB [video]

phpBB [video]

phpBB [video]

phpBB [video]

phpBB [video]
Последний раз редактировалось dok333 29 авг 2013, 09:25, всего редактировалось 1 раз.
Аватара пользователя
KsV
Администратор
Сообщения: 2191
Зарегистрирован: 22 фев 2009, 13:38
Откуда: Беларусь-Lietuva
Контактная информация:

Re: пациентка с анемией

Сообщение KsV »

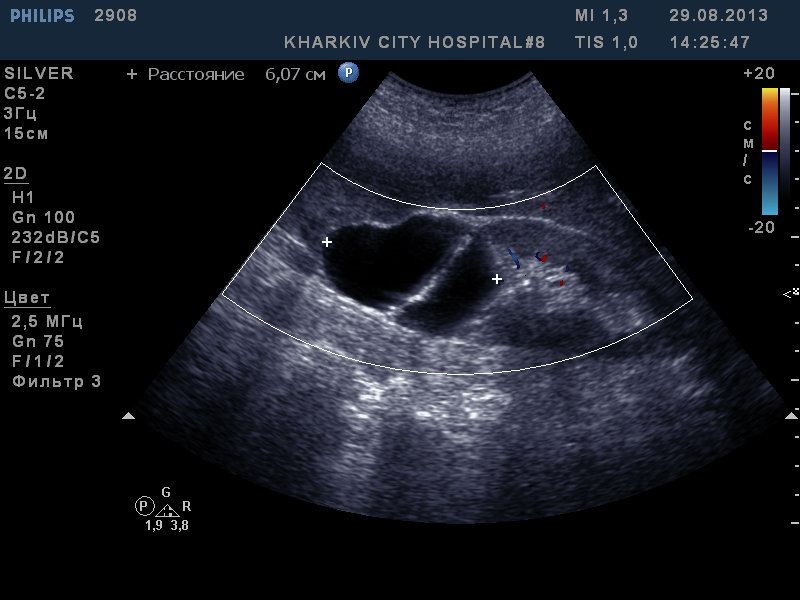
Что по почкам и селезенке? есть ли кровоток в ткани "кисты"правой почки?
Первое впечатление о поражении печени, ЛУ. Осложненная киста/кистозная опухоль правой почки?
Аватара пользователя
dok333
Сообщения: 142
Зарегистрирован: 29 окт 2010, 09:59
Откуда: Ukraine,Kharkiv
Контактная информация:

Re: пациентка с анемией

Сообщение dok333 »

Расцениваю как вторичное поражение печени.
селезенка и почки вроде ОК. Киста правой почки. кровоток не лоцировался.
а что за гипоэхогенное образование у желчного?
Аватара пользователя
KsV
Администратор
Сообщения: 2191
Зарегистрирован: 22 фев 2009, 13:38
Откуда: Беларусь-Lietuva
Контактная информация:

Re: пациентка с анемией

Сообщение KsV »

dok333 писал(а): а что за гипоэхогенное образование у желчного?
Увеличенные ЛУ - метастазы или лимфома, поэтому интересно что с селезенкой.

Еще нужно "пройтись" по толстой кишке - особенно по правому изгибу - поискать СППО
Аватара пользователя
dok333
Сообщения: 142
Зарегистрирован: 29 окт 2010, 09:59
Откуда: Ukraine,Kharkiv
Контактная информация:

Re: пациентка с анемией

Сообщение dok333 »

пациентка стационара. Пересмотрю сегодня позже еще раз и прикреплю видео. Селезенку, почки с ЦДК.
Аватара пользователя
dok333
Сообщения: 142
Зарегистрирован: 29 окт 2010, 09:59
Откуда: Ukraine,Kharkiv
Контактная информация:

Re: пациентка с анемией

Сообщение dok333 »

И как в заключении описать ситуацию с ЛУ?

phpBB [video]

phpBB [video]
Вложения
1.jpg
2.jpg
Аватара пользователя
KsV
Администратор
Сообщения: 2191
Зарегистрирован: 22 фев 2009, 13:38
Откуда: Беларусь-Lietuva
Контактная информация:

Re: пациентка с анемией

Сообщение KsV »

[quote="dok333"]И как в заключении описать ситуацию с ЛУ?

Я бы описал так:
В воротах печени определяются увеличенные лимфоузлы и конгломераты лимфоузлов - до (указать размеры наибольшего).

Конечно же, это повод для выполнения КТ с контрастированием + дообследование желудка и толстой кишки.
Аватара пользователя
dok333
Сообщения: 142
Зарегистрирован: 29 окт 2010, 09:59
Откуда: Ukraine,Kharkiv
Контактная информация:

Re: пациентка с анемией

Сообщение dok333 »

Thanks. покручу ее еще, по Вашей рекомендации в проекции толстой кишки
Аватара пользователя
dok333
Сообщения: 142
Зарегистрирован: 29 окт 2010, 09:59
Откуда: Ukraine,Kharkiv
Контактная информация:

Re: пациентка с анемией

Сообщение dok333 »

:!:
Вложения
img021.jpg
Аватара пользователя
KsV
Администратор
Сообщения: 2191
Зарегистрирован: 22 фев 2009, 13:38
Откуда: Беларусь-Lietuva
Контактная информация:

Re: пациентка с анемией

Сообщение KsV »

Гут.
Кстати, хорошее, достаточно полное КТ - описание.


Спасибо за интересный случай.
Ответить

Вернуться в «Абдоминальные исследования»

Кто сейчас на конференции

Сейчас этот форум просматривают: нет зарегистрированных пользователей и 0 гостей