О.аппендицит, аппендикулярный абсцесс
- KsV
- Администратор
- Сообщения: 2191
- Зарегистрирован: 22 фев 2009, 13:38
- Откуда: Беларусь-Lietuva
- Контактная информация:
О.аппендицит, аппендикулярный абсцесс
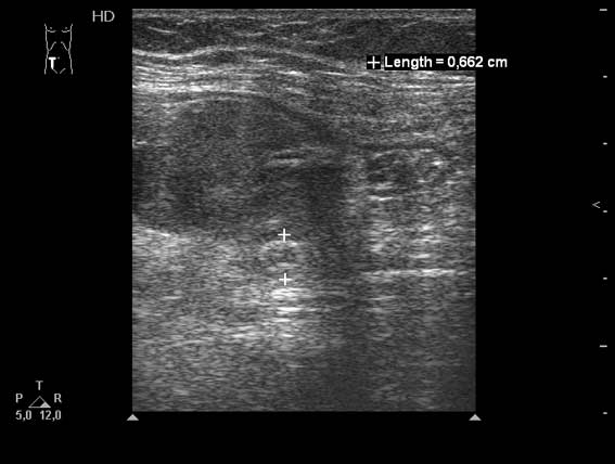
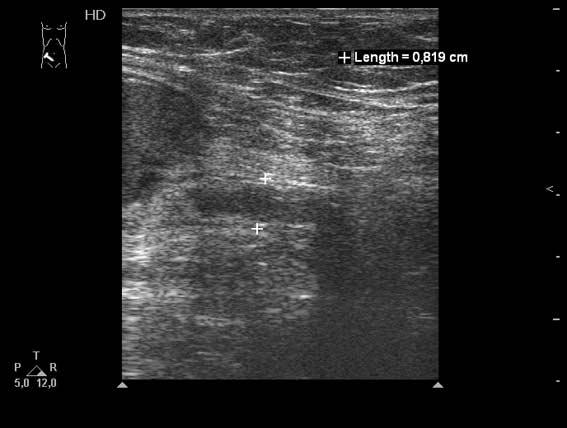
Женщина 59 лет поступила в приемное отделение БСМП с болями и пальпируемым образованием в правой подвздошной области.
Какими должны быть залючение врача УЗД и дальнейшая тактика?
Какими должны быть залючение врача УЗД и дальнейшая тактика?
Re: Изменения правой подвздошной области
Похоже на воспаленный аппендикс.Еще утолщена прямая мышца живота.У нас была конференция с присуствием и итальянцев.Они демонстрировали узи аппендицитов.Один из доплнительных узи признаков о.аппендицита они давали и утолщение(реактивный отек)прямой мышцы 
- KsV
- Администратор
- Сообщения: 2191
- Зарегистрирован: 22 фев 2009, 13:38
- Откуда: Беларусь-Lietuva
- Контактная информация:
Re: Изменения правой подвздошной области
Наверное отек может являться следствием активной пальпации хирургами этой области?besliu писал(а):Похоже на воспаленный аппендикс.Еще утолщена прямая мышца живота.У нас была конференция с присуствием и итальянцев.Они демонстрировали узи аппендицитов.Один из доплнительных узи признаков о.аппендицита они давали и утолщение(реактивный отек)прямой мышцы
Re: Изменения правой подвздошной области
Может быть
Я переспрашивала,они подтвердили,что это реактивное восп. мышцы.А что же в этом случае,раскройте секрет 
- KsV
- Администратор
- Сообщения: 2191
- Зарегистрирован: 22 фев 2009, 13:38
- Откуда: Беларусь-Lietuva
- Контактная информация:
Re: Изменения правой подвздошной области
Давно это было.besliu писал(а):Может бытьЯ переспрашивала,они подтвердили,что это реактивное восп. мышцы.А что же в этом случае,раскройте секрет
О.аппендицит, аппендикулярный абсцесс. Задренирован, санирован, пациентка выписана домой.
На прошлой неделе появилась в клинике повторно для плановой аппендэктомии. При УЗИ патологии в правой подвздошой области не выявлено.
Завтра постараюсь узнать что было на операции.
- KsV
- Администратор
- Сообщения: 2191
- Зарегистрирован: 22 фев 2009, 13:38
- Откуда: Беларусь-Lietuva
- Контактная информация:
Re: Изменения правой подвздошной области
Удивительно, но пациентка отказалась от операции, сославшись на прекрасное здоровье, и выписалась домой.

Пока в архив.
Пока в архив.
Кто сейчас на конференции
Сейчас этот форум просматривают: нет зарегистрированных пользователей и 0 гостей