образование печени

Печень, желчный пузырь, поджелудочная железа, селезенка. Кишечник.
Изображения для консультации
Ответить
Аватара пользователя
dok333
Сообщения: 142
Зарегистрирован: 29 окт 2010, 09:59
Откуда: Ukraine,Kharkiv
Контактная информация:

образование печени

Сообщение dok333 »

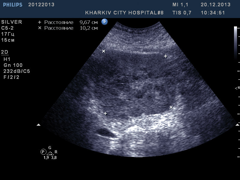
в эпигастрии в проекции левой доли данная картина. Ваши мнения?
аденокарцинома? очаговая узловая гиперплазия вряд ли

phpBB [video]

phpBB [video]
Вложения
1.jpg
Аватара пользователя
KsV
Администратор
Сообщения: 2191
Зарегистрирован: 22 фев 2009, 13:38
Откуда: Беларусь-Lietuva
Контактная информация:

Re: образование печени

Сообщение KsV »

Что-то не очень хорошее.
КТ с контрастированием, бипсия.
Ответить

Вернуться в «Абдоминальные исследования»

Кто сейчас на конференции

Сейчас этот форум просматривают: нет зарегистрированных пользователей и 0 гостей