Свободный воздух в бршной полости, абдоминальное УЗИ
- KsV
- Администратор
- Сообщения: 2191
- Зарегистрирован: 22 фев 2009, 13:38
- Откуда: Беларусь-Lietuva
- Контактная информация:
Свободный воздух в бршной полости, абдоминальное УЗИ
Заболел 3 часа назад.
Видео: Ваше заключение? Дальнейшая тактика?
Видео: Ваше заключение? Дальнейшая тактика?
Re: Мужчина с сильными болями в животе
Прикольное видео! То-ли свободный газ в брюшной полости; то мне кажется есть диссекция аорты. 
Re: Мужчина с сильными болями в животе
Я пересмотрел видео (быстрое очень, кстати) видел в просвете аорты линейное эхо, принял за диссекцию. Тогда оставляю первую версию; свободный воздух в брюшной полости.
- KsV
- Администратор
- Сообщения: 2191
- Зарегистрирован: 22 фев 2009, 13:38
- Откуда: Беларусь-Lietuva
- Контактная информация:
Re: Мужчина с сильными болями в животе
Марио, с Вами не интересно.
Невозможно растянуть удовольствие
.
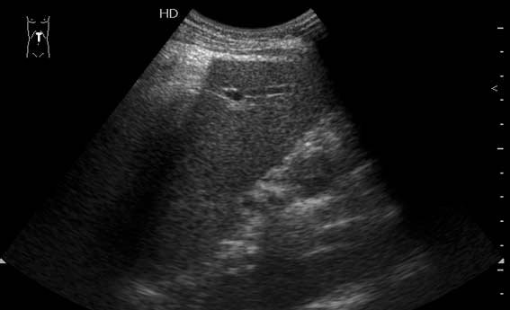
Действительно, так выглядит свободный воздух в брюшной полости при перфорации пологого органа - в данном случае - язвы дуоденум.
Невозможно растянуть удовольствие
Действительно, так выглядит свободный воздух в брюшной полости при перфорации пологого органа - в данном случае - язвы дуоденум.
Re: Мужчина с сильными болями в животе
Сергей, спасибо за публикацию! С вами мне очень интересно; до сих пор в восторге от Вашего ответа на radiographia.ru по брыжейке жёлчного пузыря! Ещё раз огромное спасибо! 
Re: Мужчина с сильными болями в животе
1-не открывается видео.
2- постоянно при переходе на новый раздел,требует новую регистацию,так должно быть? 
Кто сейчас на конференции
Сейчас этот форум просматривают: нет зарегистрированных пользователей и 0 гостей