УЗИ малого таза: рак шейки матки

Матка и придатки. Молочные железы.
Только верифицированые изображения
Ответить
Аватара пользователя
KsV
Администратор
Сообщения: 2191
Зарегистрирован: 22 фев 2009, 13:38
Откуда: Беларусь-Lietuva
Контактная информация:

УЗИ малого таза: рак шейки матки

Сообщение KsV »

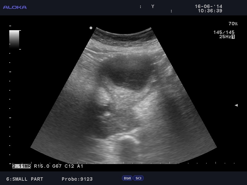
Пожилая женщина, выявлен уретерогидронефроз справа.

phpBB [video]


phpBB [video]


qcd_20140616_SMALL-_PART_0051.JPG
Аватара пользователя
KsV
Администратор
Сообщения: 2191
Зарегистрирован: 22 фев 2009, 13:38
Откуда: Беларусь-Lietuva
Контактная информация:

Re: Малый таз

Сообщение KsV »

Рак шейки матки, правосторонний гидроуретеронефроз.
Доказано морфологически.
Ответить

Вернуться в «Гинекологические исследования»

Кто сейчас на конференции

Сейчас этот форум просматривают: нет зарегистрированных пользователей и 0 гостей