Паразитарная киста печени?

Печень, желчный пузырь, поджелудочная железа, селезенка. Кишечник.
Изображения для консультации
Ответить
Аватара пользователя
KsV
Администратор
Сообщения: 2191
Зарегистрирован: 22 фев 2009, 13:38
Откуда: Беларусь-Lietuva
Контактная информация:

Паразитарная киста печени?

Сообщение KsV »

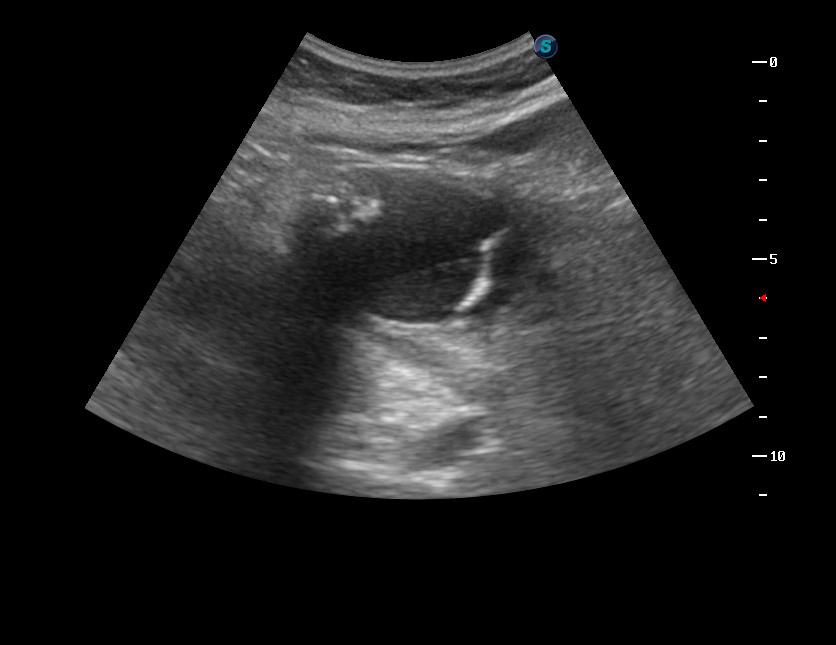
Пожилая бабушка, в левой доле печени такая ерунда.
Эхинококк? - кто что думает?

phpBB [video]

jul292014102027_12.jpg
Anastasia
Сообщения: 423
Зарегистрирован: 07 янв 2013, 14:09
Откуда: г. Могилёв
Контактная информация:

Re: Паразитарная киста печени?

Сообщение Anastasia »

Учитывая плотную стенку, эхогенный осадок и изогнутые линейные структуры,как-то ничего другого кроме эхинококка в голову не приходит.
Ответить

Вернуться в «Абдоминальные исследования»

Кто сейчас на конференции

Сейчас этот форум просматривают: нет зарегистрированных пользователей и 0 гостей