УЗИ ОБП
Re: УЗИ ОБП
в почечной вене тромбомассы?
- KsV
- Администратор
- Сообщения: 2191
- Зарегистрирован: 22 фев 2009, 13:38
- Откуда: Беларусь-Lietuva
- Контактная информация:
Re: УЗИ ОБП
Нет, тромбоза нет.servik писал(а):в почечной вене тромбомассы?
Re: УЗИ ОБП
что то забрюшинное? типа лимфо липо саркомы?
- KsV
- Администратор
- Сообщения: 2191
- Зарегистрирован: 22 фев 2009, 13:38
- Откуда: Беларусь-Lietuva
- Контактная информация:
Re: УЗИ ОБП
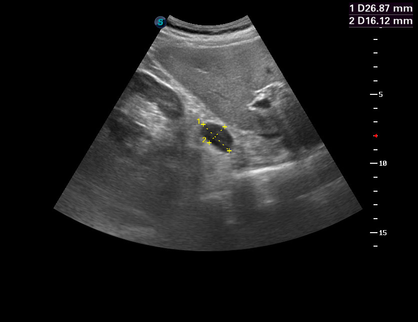
Последняя сонограмма - подсказка.servik писал(а):что то забрюшинное? типа лимфо липо саркомы?
Re: УЗИ ОБП
надпочечник? 
Re: УЗИ ОБП
Если анемия, то мтс
- KsV
- Администратор
- Сообщения: 2191
- Зарегистрирован: 22 фев 2009, 13:38
- Откуда: Беларусь-Lietuva
- Контактная информация:
Re: УЗИ ОБП
Логично.Брехт писал(а):Если анемия, то мтс
Повторное исследование через 6 мес. Уже есть данные о карциноме простаты.
Re: УЗИ ОБП
кровоизлияние выходит?
Кто сейчас на конференции
Сейчас этот форум просматривают: нет зарегистрированных пользователей и 0 гостей