Кисты почечного синуса, иммитирующие гидронефроз

Почки, мочеточники, мочевой пузырь, уретра. Простата и яички.

Модератор: KsV

Ответить
Аватара пользователя
KsV
Администратор
Сообщения: 2191
Зарегистрирован: 22 фев 2009, 13:38
Откуда: Беларусь-Lietuva
Контактная информация:

Кисты почечного синуса, иммитирующие гидронефроз

Сообщение KsV »

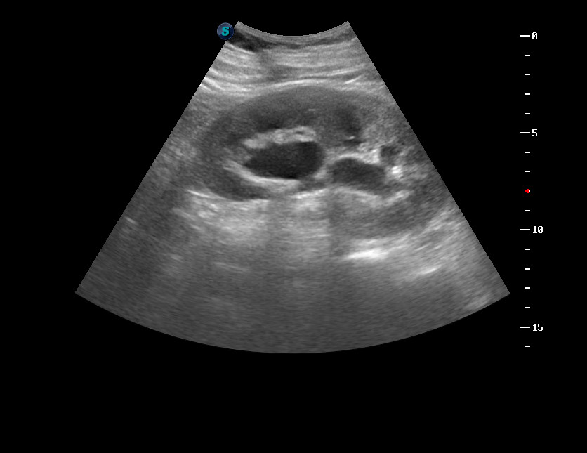
Женщина 48 лет
Левая почка.
jul032015102222_20.jpg
phpBB [video]


phpBB [video]
Anastasia
Сообщения: 423
Зарегистрирован: 07 янв 2013, 14:09
Откуда: г. Могилёв
Контактная информация:

Re: Гидронефроз или кисты?

Сообщение Anastasia »

думаю, что это кисты
Аватара пользователя
KsV
Администратор
Сообщения: 2191
Зарегистрирован: 22 фев 2009, 13:38
Откуда: Беларусь-Lietuva
Контактная информация:

Re: Гидронефроз или кисты?

Сообщение KsV »

Anastasia писал(а):думаю, что это кисты
Ой ли?
Anastasia
Сообщения: 423
Зарегистрирован: 07 янв 2013, 14:09
Откуда: г. Могилёв
Контактная информация:

Re: Гидронефроз или кисты?

Сообщение Anastasia »

Ну на 100% я не уверена и в таком случае, думаю, написала бы эти 2 варианта под вопросом, а там уже дело экскреторной урографии. Но мне, кажется, что в данном случае, при гидронефрозе лоханка была бы побольше, да и форма жидкостных образований (их медиальная часть) меня как-то к кистам больше склоняют.
А что на самом деле?
Аватара пользователя
KsV
Администратор
Сообщения: 2191
Зарегистрирован: 22 фев 2009, 13:38
Откуда: Беларусь-Lietuva
Контактная информация:

Re: Гидронефроз или кисты?

Сообщение KsV »

Сделана МРТ - кисты.
Ответить

Вернуться в «Уронефрологические исследования»

Кто сейчас на конференции

Сейчас этот форум просматривают: нет зарегистрированных пользователей и 0 гостей