"корявая" почка

Почки, мочеточники, мочевой пузырь, уретра. Простата и яички.
Изображения для консультации

Модератор: KsV

Anastasia
Сообщения: 423
Зарегистрирован: 07 янв 2013, 14:09
Откуда: г. Могилёв
Контактная информация:

Re: "корявая" почка

Сообщение Anastasia »

Повторный осмотр, спустя неделю после проведения первого УЗИ:

phpBB [video]

phpBB [video]

phpBB [video]

phpBB [video]
Аватара пользователя
KsV
Администратор
Сообщения: 2191
Зарегистрирован: 22 фев 2009, 13:38
Откуда: Беларусь-Lietuva
Контактная информация:

Re: "корявая" почка

Сообщение KsV »

Очень темные клипы. И взято теперь мелковато.
Сейчас похоже на тумор, гидронефроз.
Что с веной - нет там тромба (опухолевого)?
Что с регионарными ЛУ?
Аватара пользователя
KsV
Администратор
Сообщения: 2191
Зарегистрирован: 22 фев 2009, 13:38
Откуда: Беларусь-Lietuva
Контактная информация:

Re: "корявая" почка

Сообщение KsV »

Да, похоже на обычный с-р почки, возможно с инвазией в почечную вену.
Усиление (gain) должно быть таким, чтобы отличать нормальную ткать от измененной, поэтому в процессе иследования необходимо не только "рулить" датчиком, но и "поддавать газку и тормозить" гэйном
Anastasia
Сообщения: 423
Зарегистрирован: 07 янв 2013, 14:09
Откуда: г. Могилёв
Контактная информация:

Re: "корявая" почка

Сообщение Anastasia »

KsV писал(а):И взято теперь мелковато.
Ну вам не угодить: то крупно, то мелковато :)
KsV писал(а):Что с веной - нет там тромба (опухолевого)? Что с регионарными ЛУ?
Усиление (gain) должно быть таким, чтобы отличать нормальную ткань от измененной, поэтому в процессе иследования необходимо не только "рулить" датчиком, но и "поддавать газку и тормозить" гэйном

ЛУ не видала. Вену искала, но не нашла.
phpBB [video]



Я понимаю, что плохому танцору все мешает, но мне, в данном случае, картинку на мониторе хотелось назвать просто МЕСИВОМ, т.к. разобраться в ней (ЧЛС, вена, контуры опухоли и она ли это) было и остается тяжело. Gain крутила от 31 до 41(судя по снимкам, а может и больше, просто уже не помню) - особо не помогало, то ли потому, что бабушка тучная в меру и вдох нормально сделать и задержать не могла, то ли потому что у меня руки-крюки :(
Аватара пользователя
KsV
Администратор
Сообщения: 2191
Зарегистрирован: 22 фев 2009, 13:38
Откуда: Беларусь-Lietuva
Контактная информация:

Re: "корявая" почка

Сообщение KsV »

Вот здесь видно

phpBB [video]


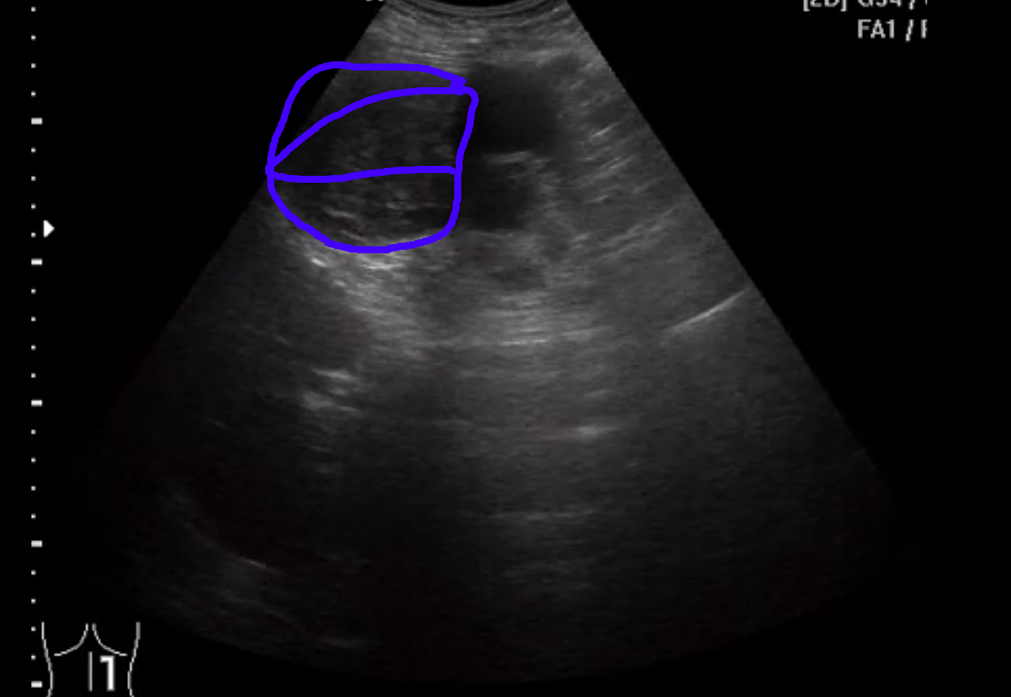
Слева <-- видна опухоль (синий цвет в снэпшоте внизу), а справа -> почка со угадываемыми очертаниями.
Снимок экрана 2015-07-22 в 21.49.27.png
Аватара пользователя
KsV
Администратор
Сообщения: 2191
Зарегистрирован: 22 фев 2009, 13:38
Откуда: Беларусь-Lietuva
Контактная информация:

Re: "корявая" почка

Сообщение KsV »

из последнего клипа
Снимок экрана 2015-07-22 в 21.40.52.png
Красная стрелка - сосуд или сосуды, тумор - синий цвет.
Anastasia
Сообщения: 423
Зарегистрирован: 07 янв 2013, 14:09
Откуда: г. Могилёв
Контактная информация:

Re: "корявая" почка

Сообщение Anastasia »

Сегодня узнала, что пациентка недавно умерла.
Аватара пользователя
KsV
Администратор
Сообщения: 2191
Зарегистрирован: 22 фев 2009, 13:38
Откуда: Беларусь-Lietuva
Контактная информация:

Re: "корявая" почка

Сообщение KsV »

Секция?
Anastasia
Сообщения: 423
Зарегистрирован: 07 янв 2013, 14:09
Откуда: г. Могилёв
Контактная информация:

Re: "корявая" почка

Сообщение Anastasia »

KsV писал(а):Секция?
не проводилась
Ответить

Вернуться в «Уронефрологические исследования»

Кто сейчас на конференции

Сейчас этот форум просматривают: нет зарегистрированных пользователей и 0 гостей