УЗИ - ВМС
Добавлено: 28 окт 2015, 21:39
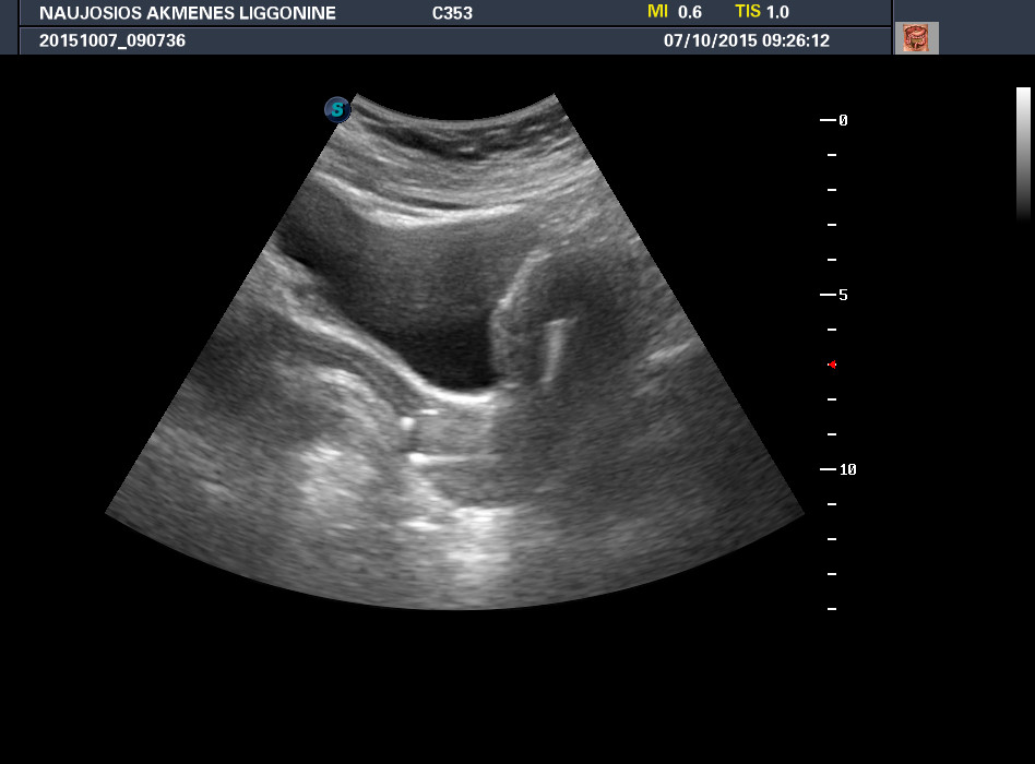
Смущает форма и положение ВМС в матке - чувство что оно продолжается в шейку и даже перфорирует её.
Что за девайс такой? - ни разу подобного не видел.
Что за девайс такой? - ни разу подобного не видел.