Нужна помощь!

Печень, желчный пузырь, поджелудочная железа, селезенка. Кишечник.
Изображения для консультации
Anastasia
Сообщения: 423
Зарегистрирован: 07 янв 2013, 14:09
Откуда: г. Могилёв
Контактная информация:

Нужна помощь!

Сообщение Anastasia »

Женщина, 31 год, с умеренной болью в эпигастрии. Беспокоит боль периодически в течение 2 месяцев, усилилась примерно 2 недели назад. ОАК, ОАМ, БАК в норме, температура тела в норме. В малом тазу большое кол-во жидкости мелкодисперстной, особенно кпереди от матки (не сохранила ни скан, ни видео).




phpBB [video]

phpBB [video]
Вложения
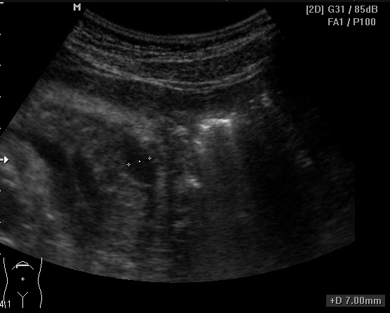
в проекции хвоста поджелудочной железы
в проекции хвоста поджелудочной железы
1.jpg (38.48 КБ) 2187 просмотров
4.jpg
4.jpg (12.36 КБ) 2187 просмотров
2.jpg
в малом тазу жидкость мелкодисперстная
в малом тазу жидкость мелкодисперстная
3.jpg (14.98 КБ) 2187 просмотров
Последний раз редактировалось Anastasia 27 ноя 2015, 13:41, всего редактировалось 1 раз.
Anastasia
Сообщения: 423
Зарегистрирован: 07 янв 2013, 14:09
Откуда: г. Могилёв
Контактная информация:

Re: Нужна помощь!

Сообщение Anastasia »

Через день после 1-го УЗИ и после проведения кульдоцентеза, в результате которого было получено примерно 160мл "ржавой жидкости, в малом тазу вот такая картина:
phpBB [video]
Аватара пользователя
KsV
Администратор
Сообщения: 2191
Зарегистрирован: 22 фев 2009, 13:38
Откуда: Беларусь-Lietuva
Контактная информация:

Re: Нужна помощь!

Сообщение KsV »

Сорри, пропустил.

Определите амилазу жидкости.
Аватара пользователя
KsV
Администратор
Сообщения: 2191
Зарегистрирован: 22 фев 2009, 13:38
Откуда: Беларусь-Lietuva
Контактная информация:

Re: Нужна помощь!

Сообщение KsV »

Если есть жидкость в бп, то ее анализ проще проводить путем пункции через переднюю стенку под контролем УЗ.
Anastasia
Сообщения: 423
Зарегистрирован: 07 янв 2013, 14:09
Откуда: г. Могилёв
Контактная информация:

Re: Нужна помощь!

Сообщение Anastasia »

Эх, никто помогать не спешит :(
Из того, что понятно: есть киста хвоста поджелудочной железы, жидкость в малом тазу (мелкодисперстная) и немного в брюшной полости (с нитями фибрина), кисты правого яичника.

Вопросы такие:

1. По передней поверхности поджелудочной железы жидкость (1-ое видео и 3-ий сверху снимок) или мне кажется?
2.Причина этого состояния?

P.S.:Результат повторного кульдоцентеза: амилаза 817, эритроциты в большом количестве.
Аватара пользователя
KsV
Администратор
Сообщения: 2191
Зарегистрирован: 22 фев 2009, 13:38
Откуда: Беларусь-Lietuva
Контактная информация:

Re: Нужна помощь!

Сообщение KsV »

Из представленных Вами материалов. Пересматриваю раз за разом первый клип - отек парапанкреатической ткани. Исключайте о.панкреатит.
Аватара пользователя
KsV
Администратор
Сообщения: 2191
Зарегистрирован: 22 фев 2009, 13:38
Откуда: Беларусь-Lietuva
Контактная информация:

Re: Нужна помощь!

Сообщение KsV »

Геморрагическая жидкость характерна для о.панкреатита.
Больную нужно переводить в девятку.
Аватара пользователя
KsV
Администратор
Сообщения: 2191
Зарегистрирован: 22 фев 2009, 13:38
Откуда: Беларусь-Lietuva
Контактная информация:

Re: Нужна помощь!

Сообщение KsV »

Мой скайп sadovnikmuller1
viber|whatsup +37o6179264девять

Стучитесь в фейсбук, однокласники.
Если буду жив и на связи - отвечу.
Anastasia
Сообщения: 423
Зарегистрирован: 07 янв 2013, 14:09
Откуда: г. Могилёв
Контактная информация:

Re: Нужна помощь!

Сообщение Anastasia »

Ой, пока текст набирала уже и ответ появился (с планшета мне тяжеловато :-) . Спасибо :!:
Диастаза мочи только 1 раз была чуть больше, чем 800 после 1-го кульдоцентеза, повторная-200, а дальше 92-200. В БАК амилаза не выше 30.
Аватара пользователя
KsV
Администратор
Сообщения: 2191
Зарегистрирован: 22 фев 2009, 13:38
Откуда: Беларусь-Lietuva
Контактная информация:

Re: Нужна помощь!

Сообщение KsV »

А что там с желчным пузырем, нет ли камушков в холедохе?
Ответить

Вернуться в «Абдоминальные исследования»

Кто сейчас на конференции

Сейчас этот форум просматривают: нет зарегистрированных пользователей и 0 гостей