УЗИ: рак почки, кистозная форма

Почки, мочеточники, мочевой пузырь, уретра. Простата и яички.

Модератор: KsV

Ответить
Аватара пользователя
KsV
Администратор
Сообщения: 2191
Зарегистрирован: 22 фев 2009, 13:38
Откуда: Беларусь-Lietuva
Контактная информация:

УЗИ: рак почки, кистозная форма

Сообщение KsV »

Профилактический осмотр, жалоб не предъявляет.
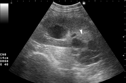
Серошкальное УЗИ. В области нижнего полюса определяется образование сложной структуры (стрелка).
Серошкальное УЗИ. В области нижнего полюса определяется образование сложной структуры (стрелка).
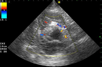
Образование в режиме ЦДК.
Образование в режиме ЦДК.
Как трактовать выявленные изменения? Какова тактика врача УЗД в данной ситуации?
Аватара пользователя
acustic
Сообщения: 10
Зарегистрирован: 30 мар 2009, 09:12
Контактная информация:

Re: Изменения правой почки у мужчины 42 лет

Сообщение acustic »

Например, это может быть участком кистозной дисплазии или тумором.
А.М.Шифрин
Сообщения: 60
Зарегистрирован: 12 апр 2009, 18:41
Контактная информация:

Re: Изменения правой почки у мужчины 42 лет

Сообщение А.М.Шифрин »

Уважаемые коллеги!
Я, все-таки, склоняюсь к кистозному варианту опухоли почки.
В плане рекомендаций - КТ, а затем пункционная биопсия под УЗ наведением.
С уважением, А. Шифрин
Аватара пользователя
KsV
Администратор
Сообщения: 2191
Зарегистрирован: 22 фев 2009, 13:38
Откуда: Беларусь-Lietuva
Контактная информация:

Re: Изменения правой почки у мужчины 42 лет

Сообщение KsV »

Да, это был рак почки, кистозная форма. Гистология - светлоклеточный рак.

В архив.
Ответить

Вернуться в «Уронефрологические исследования»

Кто сейчас на конференции

Сейчас этот форум просматривают: нет зарегистрированных пользователей и 6 гостей