МОЧЕВОЙ ПУЗЫРЬ
Анатомо-физиологическая справка [1,22]
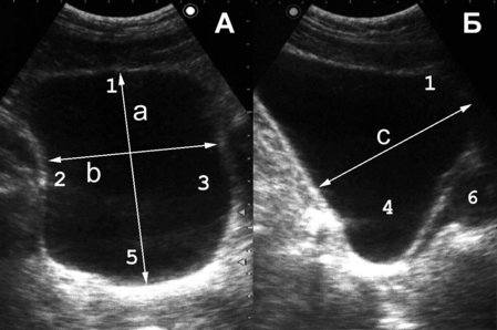
Мочевой пузырь представляет собой полый орган, расположенный в малом тазу, за лонным сочленением. Емкость пузыря от 200 до 600 мл, в патологических условиях может достигать 1000−2000 мл. У здорового человека первый позыв на мочеиспускание возникает при объеме мочевого пузыря 100−150 мл, выраженный позыв − при заполнении 250−350 мл. Анатомически в мочевом пузыре различают верхушку, шейку, дно и тело. Верхушка − место перехода пузыря в среднюю пузырно-пупочную связку, различима только при его наполнении (1 − см. рис. 1). Дно (4) − наиболее широкая нижнезадняя часть мочевого пузыря, обращенная у мужчин в сторону прямой кишки, у женщин в сторону матки и верхней части передней стенки влагалища. Шейка − суженная часть мочевого пузыря, граничит с мочеиспускательным каналом. Средний отдел, расположенный между верхушкой и дном мочевого пузыря, называется телом. мочевой пузырь имеет переднюю, заднюю и две боковые стенки (2, 3), переходящие одна в другую без четких границ. Мочепузырный треугольник Льето (5) образован устьями мочеточников и внутренним отверстием мочеиспускательного канала, основанием его является межмочеточниковая складка. Начальный отдел мочеиспускательного канала охватывается предстательной железой (6).

Рис. 1. Сонограмма мочевого пузыря мужчины в норме. Остаточный объем мочи с достаточной для практики точ¬но-стью можно определить по формуле a х b x c x 0,57 [50]. (Поперечное [A] и продольное [Б] сканирование, конвексный датчик 5 МГц, “Logiq-500”).
Рис. 2. Сонограмма мочевого пузыря женщины в норме. Ориентиры треугольника Льето: 1 − устья мочеточников; 2 − внутреннее отверстие мочеиспускательного канала. (Попе-речное и продольное сканирование, конвексный датчик 5 МГц, “Logiq-500”).
НОРМАЛЬНЫЙ МОЧЕВОЙ ПУЗЫРЬ
В норме пузырь симметричен относительно сагит-тальной плоскости. Толщина передней стенки опорожненного мочевого пузыря у взрослого составляет от 6 до 8 мм, заполненного − 3 мм [6]. Иногда при сонографии различима слоистая структура стенок, обусловленная наличием слизистой, подслизистой, мышечной и серозной оболочек [24].
Внутренний (пограничный со слизистой, слизистая и подслизистая) и наружный (серозный) слои выглядят как структуры повышенной эхогенности, мышечная оболочка (детрузор), расположенная между ними, гипоэхогенна.
При осмотре области мочепузырного треугольника в большинстве случаев можно увидеть устья мочеточников (рис. 2), оценить симметричность их расположения, измерить расстояние между ними.
При ориентации ультразвукового датчика в плоскости тазового отдела мочеточника можно детально изучить состояние мочеточнико-пузырного соустья, измерить длину внутрипузырного отдела мочеточника. Анатомические особенности топографии треугольника чрезвычайно важны для оценки запирательной функции мочеточнико-пузырного соустья, так как существует тесная взаимосвязь между его морфологическим строением и функциональной компетенцией [15,19].
Установить положение точечных устий помогают выбросы из мочеточников (рис. 3). Это явление можно наблюдать в 30−40% исследований мочевого пузыря. при форсировании мочевыделения диуретиками выявляемость эффекта достигает 70−80% [4,17]. В цветном допплеровском режиме выбросы можно обнаружить практически во всех случаях. Визуализация этого сонографического феномена связана с эффектом псевдоконтрастирования турбулентной струи мочи, выбрасываемой в мочевой пузырь при сокращении нижнего цистоида мочеточника. На контрастность визуализации выбросов влияет также разность плотностей пузырной и мочеточниковой мочи [3,10].
Рис. 3. Сонограммы мочевого пузыря в норме и при аномалиях развития почек и мочеточников. Выбросы из мочеточников помогают установить положение и число устий, подтвердить тем самым наличие одной, двух или трех функционирующих почек (Поперечное сканирование, секторный датчик 5 МГц, “Siemens SL-1”).
МОЧЕВОЙ ПУЗЫРЬ ПРИ ХРОНИЧЕСКОЙ ЗАДЕРЖКЕ МОЧИ
В норме опорожнение мочевого пузыря не обязательно может быть полным, однако остаточный объем мочи у детей не должен превышать 10 мл, а у взрослых − 20 мл.
Появление остаточной мочи в мочевом пузыре является объективным признаком нарушения механизмов его опорожнения. Постепенно развивается гипертрофия мышечной оболочки пузыря, что проявляется утолщением его стенок (рис. 5).
Рис. 4. Сонограмма мочевого пузыря в норме: 1 − мочевой пузырь; 2 − простата; 3 − стенка мочевого пузыря нормальной структуры и толщины. (Продольное сканирование, конвексный датчик 5 МГц, “Logiq-500”).
Рис. 5. При хронической задержке мочи вначале развивается гипертрофия мышечной оболочки мочевого пузыря: 1 − мочевой пузырь; 2 − увеличенная простата; 3 − утолщенная стенка мочевого пузыря. (Продольное сканирование, конвексный датчик 5 МГц, “Logiq-500”).
Рис. 6. В дальнейшем появляется трабекулярность его стенок: 1 − мочевой пузырь; 2 − простата; 3 − стенка пузыря утолщена, с выраженной трабекулярностью. (Продольное сканирование, конвексный датчик 5 МГц, “Logiq-500”).
Рис. 7. В конечной стадии происходит перерастяжение стенок мочевого пузыря: 1 − мочевой пузырь; 2 − простата; 3 − истонченая трабекулярная стенка. (Продольное сканирование, конвексный датчик 5 МГц, “Logiq-500”).
Наиболее часто гипертрофия стенок связана с нарушением оттока мочи вследствие инфравезикальной обструкции. Ее причинами могут быть доброкачественная гиперплазия или рак предстательной железы, функциональный или органический стеноз шейки мочевого пузыря (болезнь Мариона), стриктура уретры. При прогрессировании заболевания и увеличении объема остаточной мочи утолщение мышечных пучков становится неравномерным, внутренняя поверхность мочевого пузыря принимает трабекулярный вид (рис. 6). Длительное существование хронической задержки мочи приводит к дальнейшему истончению стенок пузыря (рис. 7). Объем остаточной мочи может при этом достигать 1 л и более.
Появление остаточной мочи может быть также связано с нарушениями иннервации детрузора при органических заболеваниях центральной нервной системы, спинного мозга, периферических двигательных нервов. Частыми причинами нейрогенного мочевого пузыря являются диабетическая полинейропатия, травмы позвоночника и головного мозга. Резкого утолщения стенок мочевого пузыря, характерного для начальных стадий инфравезикальной обструкции не наблюдается, из-за объемного перерастяжения быстро происходит их трабекулярная перестройка и истончение.
Рис. 8. Мелкодисперсная эхогенная взвесь в мочевом пузыре при хронической задержки мочи, пиурии. (Поперечное сканирование, секторный датчик 5 МГц, “Siemens SL-1”).
Рис. 9. Папиллярная опухоль области треугольника мочевого пузыря, расположена рядом с устьем правого мочеточника: 1 − мочевой пузырь; 2 − опухоль, стрелками указаны устья мо¬че-точников. (Поперечное сканирование, секторный датчик 3,5 МГц, “Siemens SL-2”).
ОПУХОЛЬ МОЧЕВОГО ПУЗЫРЯ
Клиническая симптоматика опухолей мочевого пузыря определяется бессимптомной гематурией и дизурическими явлениями. Гематурия является наиболее ранним признаком, так как ее причиной может быть кровотечение из-за травматизации папиллярной опухоли при сокращении стенок пузыря. Дизурия, как правило, отсутствует при неинфильтрирующих новообразованиях.
При локализации опухоли вблизи устья мочеточника или при ее распространении возможно возникновение вторичного восходящего гидроуретеронефроза. При вовлечении одного устья происходит одностороннее расширение мочеточника и чашечно-лоханочной системы почки. При поражении обоих устий возникает двухсторонний гидроуретеронефроз, к которому постепенно присоединяются клинические признаки почечной недостаточности.
Наиболее часто встречаются папиллярные опухоли мочевого пузыря (рис. 9). Доброкачественные папилломы (типичная и атипичная папиллярные фиброэпителиомы) при сонографии выглядят как полипоподобные ворсинчатые новообразования до 1 см высотой, располагаются чаще на боковых стенках и отличаются толщиной ножки и акустической плотностью. Папиллярный рак внешне напоминает папиллому, однако крупнее ее и располагается на широком основании. Часто определяются признаки солевой инкрустации опухоли. Сонографический дифференциальный диагноз между доброкачественными и злокачественными папиллярными новообразованиями при их небольших размерах чаще всего невозможен.
Солидный, или первично инфильтрирующий рак мало выступает в полость мочевого пузыря (рис. 10). Пораженные стенки утолщаются, теряется их эластичность. Объем мочевого пузыря уменьшается, в том числе и из-за развивающегося цистита. Сонографические признаки солидного рака сходны с картиной инфильтративной опухоли любой другой локализации. Определяется гипоэхогенная, утолщенная более 1 см стенка, теряется ее обычная слоистая структура.
Рис. 10. Инфильтративная опухоль мочевого пузыря: 1 − мочевой пузырь; 2 − стенка мочевого пузыря диффузно утол-щена до 1,4 см, нормальная слоистость отсутствует. (Поперечное сканирование, конвексный датчик 5 МГц, “Logiq-500”).
При локальном поражении стенки мочевого пузыря сонографическая диагностика опухоли несложна. Трудности могут возникать при тотальном вовлечении пузыря в опухолевый процесс, когда его стенки равномерно утолщены на всем протяжении. Ультразвуковая картина может напоминать мочевой пузырь при инфравезикальной обструкции или буллезном цистите. В этом случае необходимо исследование мочевого пузыря в допплеровском цветном режиме. При опухолевом процессе в утолщенной стенке определяется интенсивная бессистемная васкуляризация, не характерная для доброкачественных патологических состояний.
Неоваскуляризация встречается также и при вторичном вовлечении стенок мочевого пузыря в опухолевый процесс при злокачественных новообразованиях органов малого таза. Выявляемый кровоток в пораженной стенке мочевого пузыря, при этом, является продолжением васкуляризации первичной опухоли.
Рис. 11. Инфильтрация задней стенки мочевого пузыря при распространенной злокачественной опухоли прямой кишки: 1 − мочевой пузырь, 2 − инфильтрированная задняя стенка; 3 − опухолевый конгломерат малого таза. (Продольное сканирова-ние, конвексный датчик 5 МГц, “Logiq-500”).
Инвазия опухоли мочевого пузыря в близлежащие ткани не всегда может быть обнаружена при сонографии. Чаще можно выявить увеличение регионарных (подвздошных и вышележащих забрюшинных) лимфатических узлов.
ДИВЕРТИКУЛ МОЧЕВОГО ПУЗЫРЯ
Представляет собой мешковидное выпячивание всех слоев стенки мочевого пузыря вследствие ее непра-вильного формирования (рис. 12). Дивертикулы могут быть одиночными и множественными, чаще располагаются на стенках латеральнее области треугольника, реже − на верхушке или у дна.
Дивертикул сообщается с полостью пузыря узким каналом и нередко имеет большие размеры, иногда превосходящие объем мочевого пузыря. Застой мочи в дивертикуле может приводить к камнеобразованию и возникновению там опухоли.
Рис. 12. Множественные дивертикулы мочевого пузыря: 1 − мочевой пузырь; 2 − дивертикулы. (Полипозиционное ска¬ни-рование, секторный датчик 5 МГц, “Siemens SL-1”).
Рис. 13. Киста яичника, по размерам сравнимая с мочевым пузырем и симулирующая дивертикул: 1 − мочевой пузырь; 2 − киста. Для дифференциальной диагностики необходимо повторное ультразвуковое исследование после микции. Объем кисты после этого остается прежним, а размеры диверти-кула изменяются. (Продольное сканирование, конвекс¬ный дат-чик 5 МГц, “Logiq-500”).
УРЕТЕРОЦЕЛЕ
Уретероцеле (уретеровезикальная киста, внутрипузырная киста мочеточника) − кистовидное расширение внутрипузырного сегмента мочеточника. Причиной заболевания является врожденный порок развития терминального отдела мочеточника − резкое сужение устья и нейромышечная слабость его интрамурального отдела.
Уретероцеле может быть простым (при нормальном расположении устья) и эктопическим (при его эктопии), одно- и двухсторонним. Часто встречается уретероцеле одного из удвоенных мочеточников. При ультразвуковой цистоскопии уретероцеле обнаруживается как кистовидное расширение терминального отдела мочеточника, размеры которого изменяются при систоле и диастоле нижнего цистоида мочеточника (рис. 14).
Устье может располагаться на вершине уретероцеле, но нередко находится у его основания, что затрудняет его обнаружение. Определить локализацию устья помогает наблюдение за выбросами мочи в режиме цветного допплеровского картирования. По величине уретероцеле могут быть различными − от 0,5 см до образования, выполняющего весь мочевой пузырь. При больших размерах уретероцеле может прикрывать шейку мочевого пузыря, нарушая мочеиспускание и сдавливать соседние устья мочеточников, вызывая уростаз верхних мочевых путей.
Клинические проявления уретероцеле зависят от его размеров и степени нарушения уродинамики мочевых путей. Малые уретероцеле не нарушают оттока мочи, протекают бессимптомно и часто являются диагностическими находками. В большинстве же случаев уретероцеле приводит к развитию гидроуретеронефроза, который проявляется болевым синдромом. При уретероцеле больших размеров доминируют дизурические расстройства − рези, нарушение акта мочеиспускания. Застой мочи приводит к ее инфицированию и развитию хронического воспалительного процесса в мочевом пузыре и почках.

- 14.JPG (22.52 КБ) 1768 просмотров
Рис. 14. Сонограммы мочевого пузыря с уретероцеле: 1 − мочевой пузырь; 2 − уретероцеле; 3 − горизонтальный уровень эхогенного осадка при пиурии. (Поперечное сканирование, секторный датчик 5 МГц, “Siemens SL-1”).
Рис. 15. Мочевой пузырь при остром цистите. Определяется утолщение его стенок: в области треугольника до 9 мм, верхушки − до 8 мм. (Поперечное сканирование, конвексный датчик 5 МГц, “Logiq-500”).
ЦИСТИТЫ
Для клиники характерны дизурия, терминальная гематурия.
Ультразвуковое исследование не является методом выбора в диагностике хронического цистита, так как сонографическая картина мочевого пузыря при цистите мало чем отличается от нормальной. Признаком выраженного воспаления мочевого пузыря может быть утолщение его стенок в наполненном состоянии более 5 мм и позыв на мочеиспускание при его сравнительно малом объеме. На наличие цистита может указывать мелкодисперсная эхогенная взвесь в мочевом пузыре (рис. 8,14,16,17), обусловленная высоким цитозом мочи [7, 50].
При сонографии возможно также обнаружение буллезного воспаления стенки мочевого пузыря, возникающего при длительном стоянии камня в интрамуральном отделе мочеточника или после эндоскопических манипуляций на устье. Воспаленный участок выглядит как очаговое утолщение стенки пузыря в области треугольника, иногда напоминающее папиллярную опухоль на широком основании (рис. 31).
Рис. 16. Мочевой пузырь при цистите, лейкоцитурии. Определяется горизонтальный уровень нежной эхоструктуры (обозначен стрелкой), изменяющий свою форму и локализацию при перемене положения тела. (Поперечное сканирование, А − в положении пациента на спине, Б − на левом боку. Конвексный датчик 5 МГц, “Logiq-500”).
Рис. 17. Мочевой пузырь при цистите, пиурии. Вязкий гной образует причудливые фигуры на дне пузыря, при изменении положения тела он медленно перемещается, почти не меняя формы. (Поперечное сканирование, А − в положении пациента на спине, Б − на левом боку. Конвексный датчик 5 МГц, “Logiq-500”).