УЗИ: инспекция мочеточника. Sonographic inspection of an ureter.

Почки, мочеточники, мочевой пузырь, уретра. Простата и яички.

Модератор: KsV

Ответить
Аватара пользователя
KsV
Администратор
Сообщения: 2191
Зарегистрирован: 22 фев 2009, 13:38
Откуда: Беларусь-Lietuva
Контактная информация:

УЗИ: инспекция мочеточника. Sonographic inspection of an ureter.

Сообщение KsV »

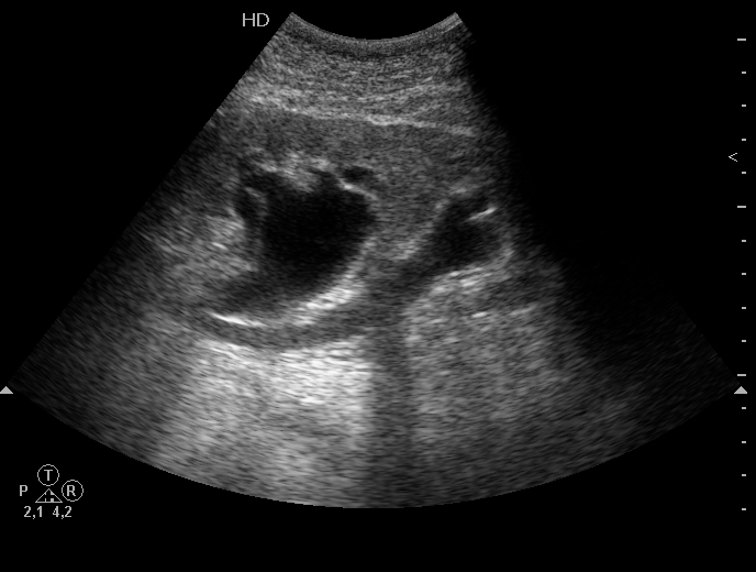
Женщина, боли в пояснице слева.

Гидронефроз, удвоение ЧЛС почки на уровне верхней трети мочеточника (ureter fissus)
07-11-02-150511_ 80_20071102_175635_0007.jpg
phpBB [video]


phpBB [video]


phpBB [video]
Ответить

Вернуться в «Уронефрологические исследования»

Кто сейчас на конференции

Сейчас этот форум просматривают: нет зарегистрированных пользователей и 6 гостей