Страница 1 из 1
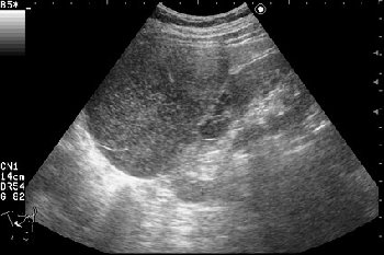
Изменения правой почки у женщины 55 лет
Добавлено: 16 мар 2009, 11:06
KsV
Периодически беспокоят несильные боли справа, чувство дискомфорта.

- Сонограмма правой почки.

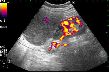
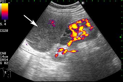
- Образование в режиме энергетического доплера.
Как трактовать выявленные изменения? Какова тактика врача УЗД в данной ситуации?
Re: Изменения правой почки у женщины 55 лет
Добавлено: 18 апр 2009, 12:22
KsV
Uzgraph писал(а):Дегенеративные изменения(сморщивание) верхней трети правой почки.
Ю.Ю.,
Что-то прилегает или исходит из почки кпереди...
Re: Изменения правой почки у женщины 55 лет
Добавлено: 18 апр 2009, 13:59
KsV

- Untitled-1.jpg (19.5 КБ) 3513 просмотров
Re: Изменения правой почки у женщины 55 лет
Добавлено: 18 апр 2009, 19:10
KsV
Uzgraph писал(а):А разве это не печень? Если нет, то по снимку этого не скажешь.
Нет, это кистоподобное образование, связанное с почкой.
Re: Изменения правой почки у женщины 55 лет
Добавлено: 17 май 2009, 15:01
А.М.Шифрин
Необычнвя картинка. В голову приходят самые "сумашедшие" предположения (в т.ч. малигнизация кисты, но нет кровотока, нагноившаяся киста, но нет реакции ее стенки; киста с густым содержимым, но отчего оно так загустело?). Просветите нас, пожалуйста.
Re: Изменения правой почки у женщины 55 лет
Добавлено: 18 май 2009, 12:29
KsV
Почечно-клеточный рак правой почки, кистозная форма.
Re: Изменения правой почки у женщины 55 лет
Добавлено: 18 май 2009, 15:16
А.М.Шифрин
Что-то подобное и следовало ожидать.
Но только по густому содержимому кистозного компонента. Стенка тонкая, кровоток не прокрашивается (единичный мелкий срез сосуда в центре образования больше похож на артефакт, а м.б. им и является).
Если бы в этом случае и содержимое было бы более "жидким", вероятность постановки правильного диагноза была бы минимальной.
Re: Изменения правой почки у женщины 55 лет
Добавлено: 18 май 2009, 15:42
KsV
А.М.Шифрин писал(а):Что-то подобное и следовало ожидать.
Но только по густому содержимому кистозного компонента. Стенка тонкая, кровоток не прокрашивается (единичный мелкий срез сосуда в центре образования больше похож на артефакт, а м.б. им и является).
Если бы в этом случае и содержимое было бы более "жидким", вероятность постановки правильного диагноза была бы минимальной.
Я в своем заключении предположил кисту с внутренним кровоизлиянием.
И ошибся.
Re: Изменения правой почки у женщины 55 лет
Добавлено: 18 май 2009, 20:06
А.М.Шифрин
Действительно, сложный случай.
Re: Изменения правой почки у женщины 55 лет
Добавлено: 18 май 2009, 20:36
KsV
... И поучительный.
В архив.