Боли в животе

Кости, суставы, мышцы, мягкие ткани.
Изображения для консультации
Ответить
Аватара пользователя
KsV
Администратор
Сообщения: 2191
Зарегистрирован: 22 фев 2009, 13:38
Откуда: Беларусь-Lietuva
Контактная информация:

Re: Боли в животе

Сообщение KsV »

Прошу прощения, пропустил появление поста.

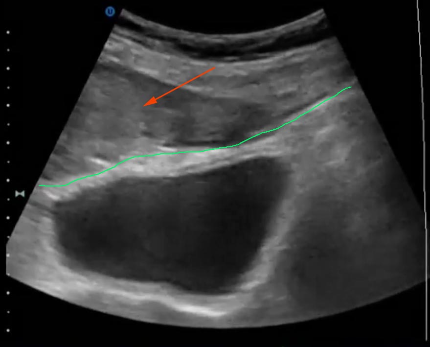
Если брюшина там где я думаю и показана зеленым, то это гематома передней брюшной стенки (сгустки - красная стрелка).
Если нет, то св. жидкость в БП (кровь скорее всего).
1.jpg
Ответить

Вернуться в «Musculoskeletal»

Кто сейчас на конференции

Сейчас этот форум просматривают: нет зарегистрированных пользователей и 0 гостей