Изменения левой почки у мужчины 56 лет
Модератор: KsV
- KsV
- Администратор
- Сообщения: 2189
- Зарегистрирован: 22 фев 2009, 13:38
- Откуда: Беларусь-Lietuva
- Контактная информация:
Изменения левой почки у мужчины 56 лет
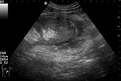
Жалобы на дискомфорт в пояснице слева. Травма поясницы в анамнезе. Анализы крови и мочи нормальные.
Как трактовать выявленные изменения? Какова тактика врача УЗД в данной ситуации?
Как трактовать выявленные изменения? Какова тактика врача УЗД в данной ситуации?
Re: Изменения левой почки у мужчины 56 лет
Гм. Вес;ма подозрительно на паранефральную гематому. Если это так, тактика выжидательная, контроль в динамике.
Re: Изменения левой почки у мужчины 56 лет
Тогда надо рекоммендовать выполнения КТ. А как Вы поступаете в таких случаях? 

- KsV
- Администратор
- Сообщения: 2189
- Зарегистрирован: 22 фев 2009, 13:38
- Откуда: Беларусь-Lietuva
- Контактная информация:
Re: Изменения левой почки у мужчины 56 лет
Случай был около 10 лет назад, на КТ ответили, что есть подозрение на гематому.
Re: Изменения левой почки у мужчины 56 лет
Гм. Весьма "интересный ответ"; как так можно что бы на КТ ответили "подозрение на гематому"; на КТ гематома или есть, или её нет. ИМХО 

- KsV
- Администратор
- Сообщения: 2189
- Зарегистрирован: 22 фев 2009, 13:38
- Откуда: Беларусь-Lietuva
- Контактная информация:
Re: Изменения левой почки у мужчины 56 лет
Так часто бывает - то что понятно, то понятно всем. И наоборот.
Ведь то что видно сейчас на УЗИ - практически диагноз.
Такой же, как здесь http://www.radiographia.ru/node/1153
Ведь то что видно сейчас на УЗИ - практически диагноз.
Такой же, как здесь http://www.radiographia.ru/node/1153
Re: Изменения левой почки у мужчины 56 лет
Если честно; я затрудняюсь однозначно ответить. Объясните пожалуйста, о чём идёт речь? 

- KsV
- Администратор
- Сообщения: 2189
- Зарегистрирован: 22 фев 2009, 13:38
- Откуда: Беларусь-Lietuva
- Контактная информация:
Re: Изменения левой почки у мужчины 56 лет
На сонограмме представлена
лимфома почки
. Диагноз доказан морфологически.


-
- Сообщения: 60
- Зарегистрирован: 12 апр 2009, 18:41
- Контактная информация:
Re: Изменения левой почки у мужчины 56 лет
Уважаемый KapustinSV!KapustinSV писал(а):На сонограмме представленалимфома почки
. Диагноз доказан морфологически.
Уточните, пожалуйста, по каким критериям или УЗ симптомам, имеющимся на представленном Вами снимке, мы можем в последующем ставить диагноз лимфомы почки (снимки по Вашей ссылке на сайте radiographia.ru не очень хорошо читаются), если можно, просто выписку из протокола УЗИ.
С уважением, А.Шифрин
Кто сейчас на конференции
Сейчас этот форум просматривают: нет зарегистрированных пользователей и 0 гостей