Желчный пузырь 3

Печень, желчный пузырь, поджелудочная железа, селезенка. Кишечник.
Изображения для консультации
Ответить
servik
Сообщения: 279
Зарегистрирован: 28 май 2015, 14:47
Контактная информация:

Желчный пузырь 3

Сообщение servik »

Дедушка лет 80, поступил по скорой с жалобами на боли в животе, провели узи, увидели выраженный асцит. Затем кто то видимо подсобрал анамнез, поставил катетер в мочевой и вывел 4 литра мочи. Для того что бы исключить хир. патологию и отправить дедушку на излечение в урологию повторно проведено уз исследование.
Ваше мнение?

phpBB [video]
Аватара пользователя
KsV
Администратор
Сообщения: 2191
Зарегистрирован: 22 фев 2009, 13:38
Откуда: Беларусь-Lietuva
Контактная информация:

Re: Желчный пузырь 3

Сообщение KsV »

Данных за о. патологию ж.п. не вижу.
servik
Сообщения: 279
Зарегистрирован: 28 май 2015, 14:47
Контактная информация:

Re: Желчный пузырь 3

Сообщение servik »

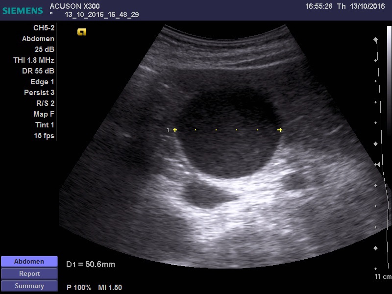
желчный пузырь увеличен 11*5 см, заполнен крупнодисперсной взвесью, в области шейки свободная жидкость. Дискинезия ЖВП?
Вложения
пуз.jpg
пузыр.jpg
пыз.jpg
Аватара пользователя
KsV
Администратор
Сообщения: 2191
Зарегистрирован: 22 фев 2009, 13:38
Откуда: Беларусь-Lietuva
Контактная информация:

Re: Желчный пузырь 3

Сообщение KsV »

Не видно причины гипертензии за уровне шейки ЖП -- холедоха, но признаки гипертензии есть.
servik
Сообщения: 279
Зарегистрирован: 28 май 2015, 14:47
Контактная информация:

Re: Желчный пузырь 3

Сообщение servik »

есть признаки да. учитывая гемодинамически значимый стеноз ВБА, я бы склонился к эмпиеме пузыря, на фоне атеросклеротических изменений пузырной артерии. Учитывая возраст, клиника может быть стёрта, а учитывая наличие свободной жидкости, можно подумать о вялотекущей ишемии стенки и нарастающей деструкции. Я так бы рассудил.
Аватара пользователя
KsV
Администратор
Сообщения: 2191
Зарегистрирован: 22 фев 2009, 13:38
Откуда: Беларусь-Lietuva
Контактная информация:

Re: Желчный пузырь 3

Сообщение KsV »

Ишемический некроз стенки желчного пузыря теоретически может быть и он очень плохо диагностируется при УЗИ.
Но должны быть другие признаки воспаления, например, околопузырный инфильтрат и хоть какое-нибудь изменение стенок.
servik
Сообщения: 279
Зарегистрирован: 28 май 2015, 14:47
Контактная информация:

Re: Желчный пузырь 3

Сообщение servik »

то что есть выложил. Хирурги сказали что клиники нет, перевели в урологию, но опыт показывает , что не всегда они правы. Считаю , что на узи не нормальная картина.
Ответить

Вернуться в «Абдоминальные исследования»

Кто сейчас на конференции

Сейчас этот форум просматривают: нет зарегистрированных пользователей и 0 гостей