В правой почке
Модератор: KsV
-
Anastasia
- Сообщения: 423
- Зарегистрирован: 07 янв 2013, 14:09
- Откуда: г. Могилёв
- Контактная информация:
В правой почке
Мужчина средних лет, из хирургического отделения с диагнозом правосторонняя почечная колика.
- KsV
- Администратор
- Сообщения: 2191
- Зарегистрирован: 22 фев 2009, 13:38
- Откуда: Беларусь-Lietuva
- Контактная информация:
Re: В правой почке
Если есть клиника, то - возможно. Но все равно АБ-терапия.
Кстати, а что там в мочеточнике? может сосочек?
Кстати, а что там в мочеточнике? может сосочек?
- KsV
- Администратор
- Сообщения: 2191
- Зарегистрирован: 22 фев 2009, 13:38
- Откуда: Беларусь-Lietuva
- Контактная информация:
Re: В правой почке
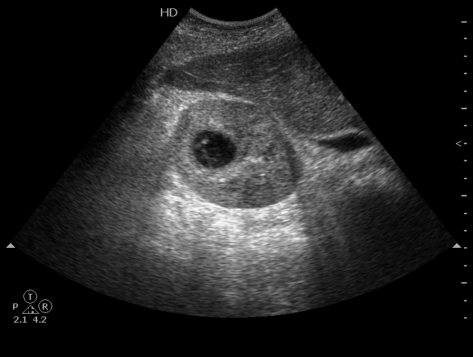
Типично такое -
Т.е. не только очаг с расплавлением ткани, но и реактивный вал паренхимы по периферии. Плюс изменения самой почки и периренальной клетчатки.
Т.е. не только очаг с расплавлением ткани, но и реактивный вал паренхимы по периферии. Плюс изменения самой почки и периренальной клетчатки.
-
Anastasia
- Сообщения: 423
- Зарегистрирован: 07 янв 2013, 14:09
- Откуда: г. Могилёв
- Контактная информация:
Re: В правой почке
Это было 8 месяцев назад. ОАК в норме. В ОАМ эритроциты. Температура тела была нормальная. Я написала "Tumor павой почки. Уретерогидронефроз справа". Приступ купировали, пациента выписали и отправили в онкодиспансер. Там повторили УЗИ (в карточке я его не нашла) и, как сказал пациент, написали всё то же самое. Через 2 недели ему выполнили МСКТ : МСКТ-признаки кисты правой почки категория 2 по Bosniak.
И вот спустя 8 месяцев:
И вот спустя 8 месяцев:
- KsV
- Администратор
- Сообщения: 2191
- Зарегистрирован: 22 фев 2009, 13:38
- Откуда: Беларусь-Lietuva
- Контактная информация:
Re: В правой почке
Поздравляю, вылечили вероятнее всего абсцесс почки консервативно. Даже рубца не осталось.
Шикарное наблюдение, спасибо.
Кстати, почему "Tumor павой почки"? Правильнее было написать "очаговое изменение паренхимы".
Шикарное наблюдение, спасибо.
Кстати, почему "Tumor павой почки"? Правильнее было написать "очаговое изменение паренхимы".
-
Anastasia
- Сообщения: 423
- Зарегистрирован: 07 янв 2013, 14:09
- Откуда: г. Могилёв
- Контактная информация:
Re: В правой почке
Но против абсцесса: отсутствие лаб. изменений, отсутствие лихорадки, да и антибиотики в эпикризе не указаны. За этот промежуток времени нигде не лечился.KsV писал(а):Поздравляю, вылечили вероятнее всего абсцесс почки консервативно.
Один раз сталкивалась с карбункулом почки, так там были изменения в ОАК, ОАМ, лихорадка.
Была почти уверена в этом, но ошиблась.KsV писал(а):Кстати, почему "Tumor павой почки"? Правильнее было написать "очаговое изменение паренхимы".
А не может это быть гематомой?
- KsV
- Администратор
- Сообщения: 2191
- Зарегистрирован: 22 фев 2009, 13:38
- Откуда: Беларусь-Lietuva
- Контактная информация:
Re: В правой почке
Да, клиника против.
УЗ-семиотика в пользу некротического очагового процесса, который локализован в области сосочка и пирамиды.
Почему я спрашивал про причину обструкции. Это мог быть камень, далее - гнойный очаговый пиелонефрит. Это мог быть некроз пирамиды с отторжением сосочка и блоком мочеточника. Содержимое полости скорее всего дренировалось в ЧЛС.
Но для первого и второго вариантов должна быть соответствующая клиника, а для второго варианта - и причина.
На практике чаще всего встречается первый вариант, поэтому исхожу из него.
На кисту с нагноением или кровоизлиянием не похоже. Нет стенок, характерных для кисты. И она не должна исчезать при повторном исследовании.
УЗ-семиотика в пользу некротического очагового процесса, который локализован в области сосочка и пирамиды.
Почему я спрашивал про причину обструкции. Это мог быть камень, далее - гнойный очаговый пиелонефрит. Это мог быть некроз пирамиды с отторжением сосочка и блоком мочеточника. Содержимое полости скорее всего дренировалось в ЧЛС.
Но для первого и второго вариантов должна быть соответствующая клиника, а для второго варианта - и причина.
На практике чаще всего встречается первый вариант, поэтому исхожу из него.
На кисту с нагноением или кровоизлиянием не похоже. Нет стенок, характерных для кисты. И она не должна исчезать при повторном исследовании.
-
Anastasia
- Сообщения: 423
- Зарегистрирован: 07 янв 2013, 14:09
- Откуда: г. Могилёв
- Контактная информация:
Re: В правой почке
Раньше он часто выпивал и работал на стройке. Может ударился? Никогда с травмой почки не сталкивалась, видела только гематомы печени и селезенки.Anastasia писал(а):А не может это быть гематомой?
- KsV
- Администратор
- Сообщения: 2191
- Зарегистрирован: 22 фев 2009, 13:38
- Откуда: Беларусь-Lietuva
- Контактная информация:
Re: В правой почке
Гематомы паренхиматозных органов имеют примерно одинаковую ультразвуковую семиотику.
Кто сейчас на конференции
Сейчас этот форум просматривают: нет зарегистрированных пользователей и 0 гостей