Метастазы ГИСТ в печени. Hepatic GIST Mts

Печень, желчный пузырь, поджелудочная железа, селезенка. Кишечник.
Только верифицированые изображения
Ответить
Аватара пользователя
KsV
Администратор
Сообщения: 2191
Зарегистрирован: 22 фев 2009, 13:38
Откуда: Беларусь-Lietuva
Контактная информация:

Метастазы ГИСТ в печени. Hepatic GIST Mts

Сообщение KsV »

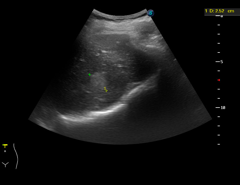
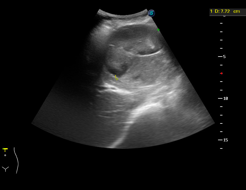
Женщинв 81 год, жалобы на пульсирующее образование в эпигастрии.

phpBB [video]


phpBB [video]


phpBB [video]


phpBB [video]

20160212_090004_10.jpg
20160212_090530_17.jpg
С учетом внешнего вида предположена гемангиома больших размеров с разрывом.

Больная прооперирована, выполнена резекция левой доли печени.
Макроскопически - образование на разрезе беловатого цвета, с полостями, заполненными сгустками крови.

Микро: метастаз ГИСТ в печени.
Ответить

Вернуться в «Абдоминальные исследования»

Кто сейчас на конференции

Сейчас этот форум просматривают: нет зарегистрированных пользователей и 0 гостей