Перелом ребра

Кости, суставы, мышцы, мягкие ткани.
Только верифицированые изображения
Ответить
Аватара пользователя
KsV
Администратор
Сообщения: 2191
Зарегистрирован: 22 фев 2009, 13:38
Откуда: Беларусь-Lietuva
Контактная информация:

Перелом ребра

Сообщение KsV »

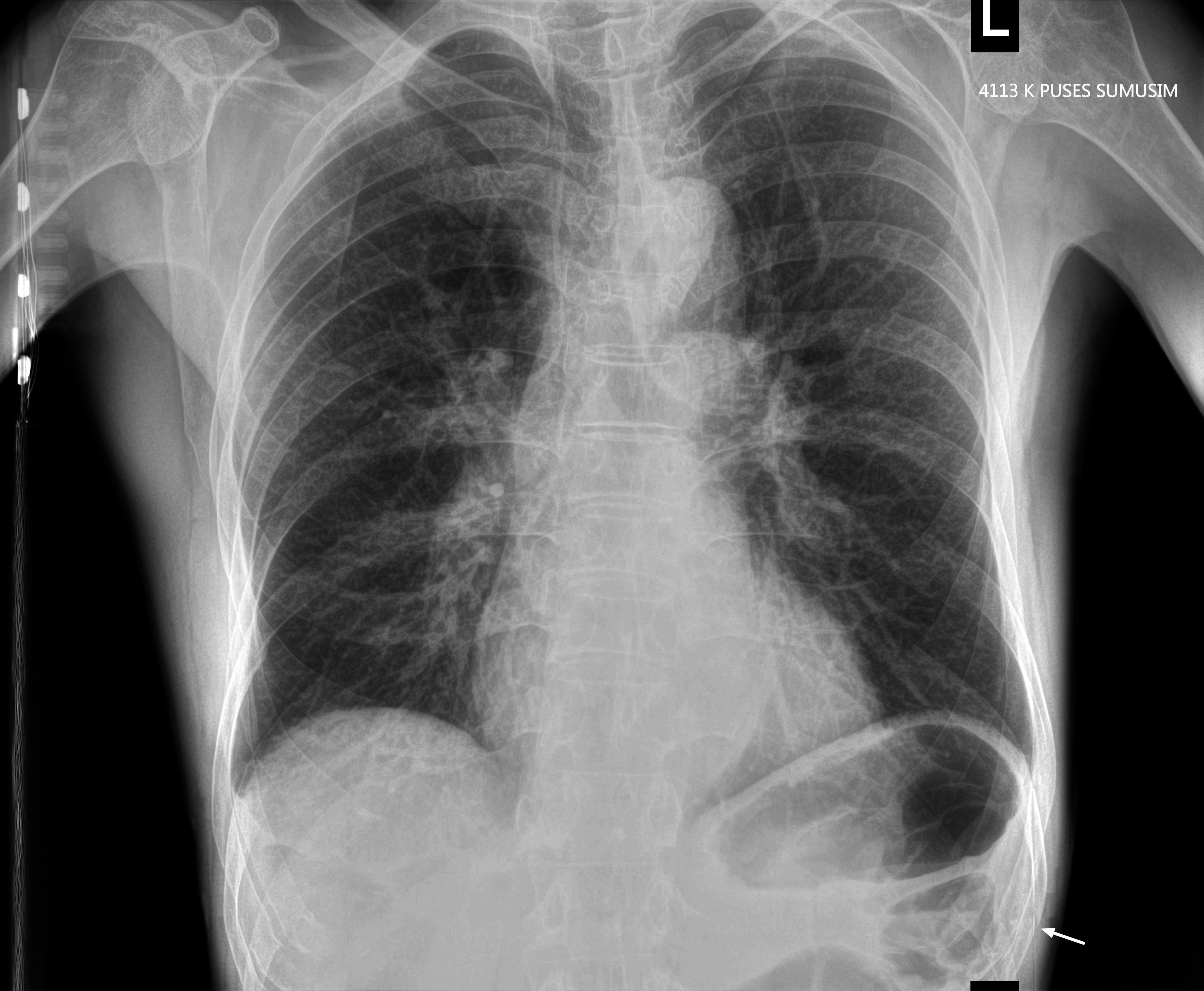
Мужчина средних лет, упал с лестницы 2 недели назад

phpBB [video]


20170818_083707
Аватара пользователя
KsV
Администратор
Сообщения: 2191
Зарегистрирован: 22 фев 2009, 13:38
Откуда: Беларусь-Lietuva
Контактная информация:

Re: Перелом ребра

Сообщение KsV »

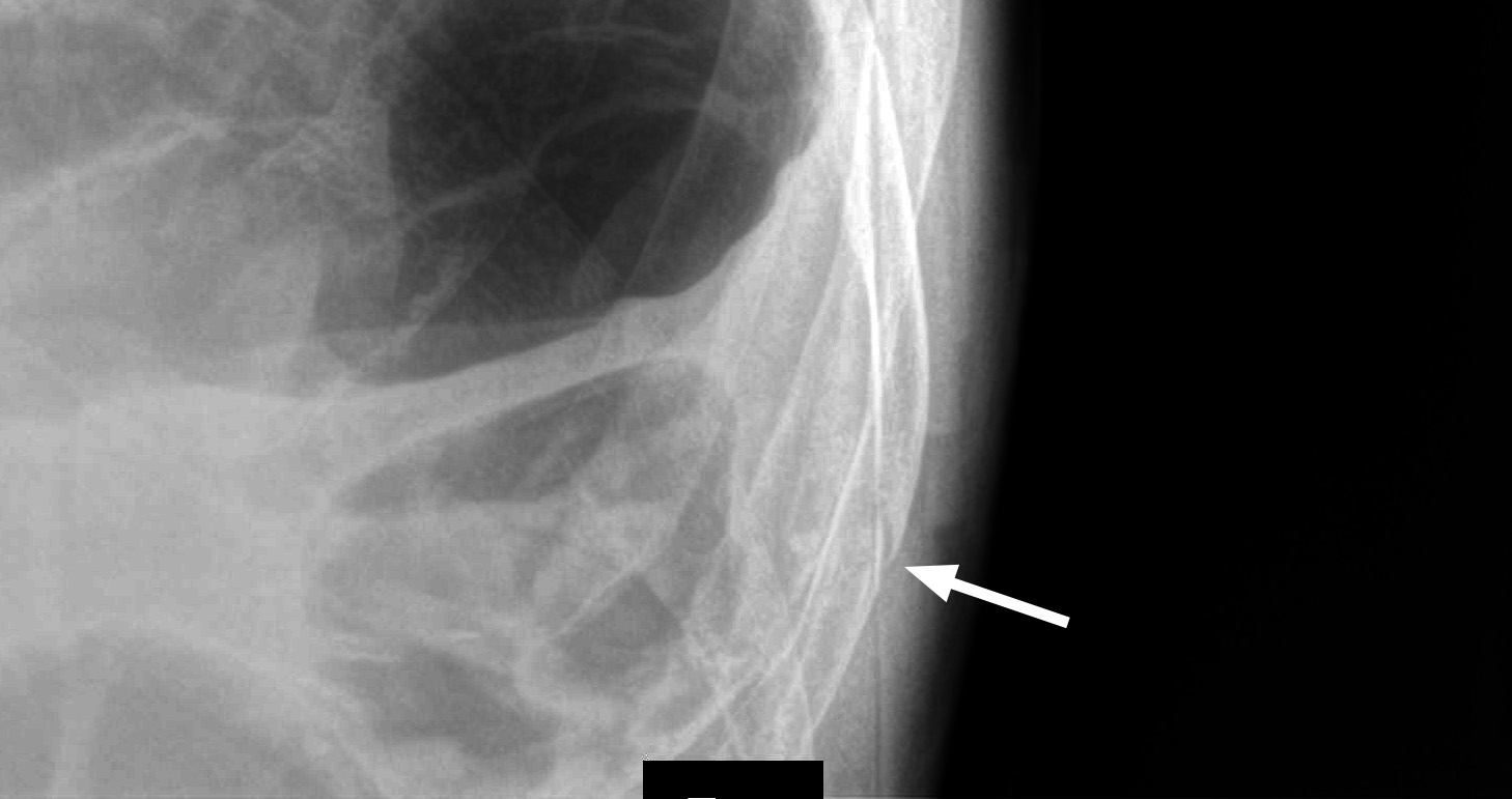
Свежий (1 день) перелом Х ребра слева.
20180614_094548_32.jpg
1.jpg
2.jpg
phpBB [video]
Ответить

Вернуться в «Musculoskeletal»

Кто сейчас на конференции

Сейчас этот форум просматривают: нет зарегистрированных пользователей и 0 гостей