Почка: "рак в кисте" #1
Добавлено: 08 апр 2019, 21:21
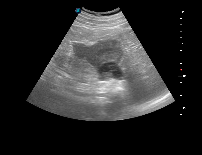
Мужчина 50 лет, жалоб не предъявляет.
В нижнем полюсе левой почки обнаружена киста с солидным внутренним компонентом. Предположена опухоль в кисте.
КТ - киста Bosniak III.
Выполнена резекция опухоли.
Гистологически - светлоклеточная карцинома.
В нижнем полюсе левой почки обнаружена киста с солидным внутренним компонентом. Предположена опухоль в кисте.
КТ - киста Bosniak III.
Выполнена резекция опухоли.
Гистологически - светлоклеточная карцинома.