Нейроэндокринная опухоль панкреас G1

Печень, желчный пузырь, поджелудочная железа, селезенка. Кишечник.
Только верифицированые изображения
Ответить
Аватара пользователя
KsV
Администратор
Сообщения: 2191
Зарегистрирован: 22 фев 2009, 13:38
Откуда: Беларусь-Lietuva
Контактная информация:

Нейроэндокринная опухоль панкреас G1

Сообщение KsV »

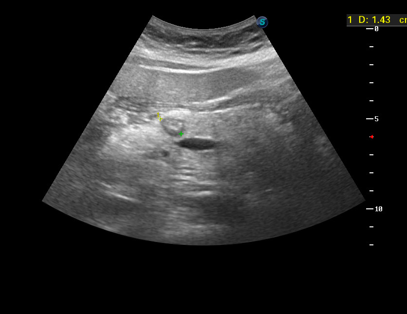
Женщина 68 лет, профилактическое исследование.
При исследовании в ПЖ обнаружено очаговое образование с достаточно ровными контурами.
nov302015092037_2.jpg
phpBB [video]


КТ: эндокринное новообразование, инсулома?
Выполнена резекция тела панкреас.
Гистология: нейроэндокринная опухоль G1
Ответить

Вернуться в «Абдоминальные исследования»

Кто сейчас на конференции

Сейчас этот форум просматривают: нет зарегистрированных пользователей и 0 гостей