УЗИ: пневмоторакс и подкожная эмфизема
Добавлено: 29 сен 2019, 20:41
Пожилой человек, упал с лестницы в саду. Жалобы на сильные боли в грудной клетке и пояснице справа. Одышки нет.
Пальпаторно справа - подкожная крепитация.
Ультразвуковое панорамное изображение и видео подкожной эмфмземы при травме грудной клетки. В подкожно-жировой клетчатке определяется воздух (стрелки). Линия плевры находится глубже воздуха (толстая стрелка). Пальпаторно в зоне скопления воздуха определяется крепитация. Позади воздуха определяются Е-линии. Обратите внимание на подвижность линии легкого и неподвижность "залипшего" в верхней точке грудной клетки воздуха.
Справа во IIм межреберье в плевральной полости определяется небольшое количество свободного воздуха.
Слева воздух не определяется.
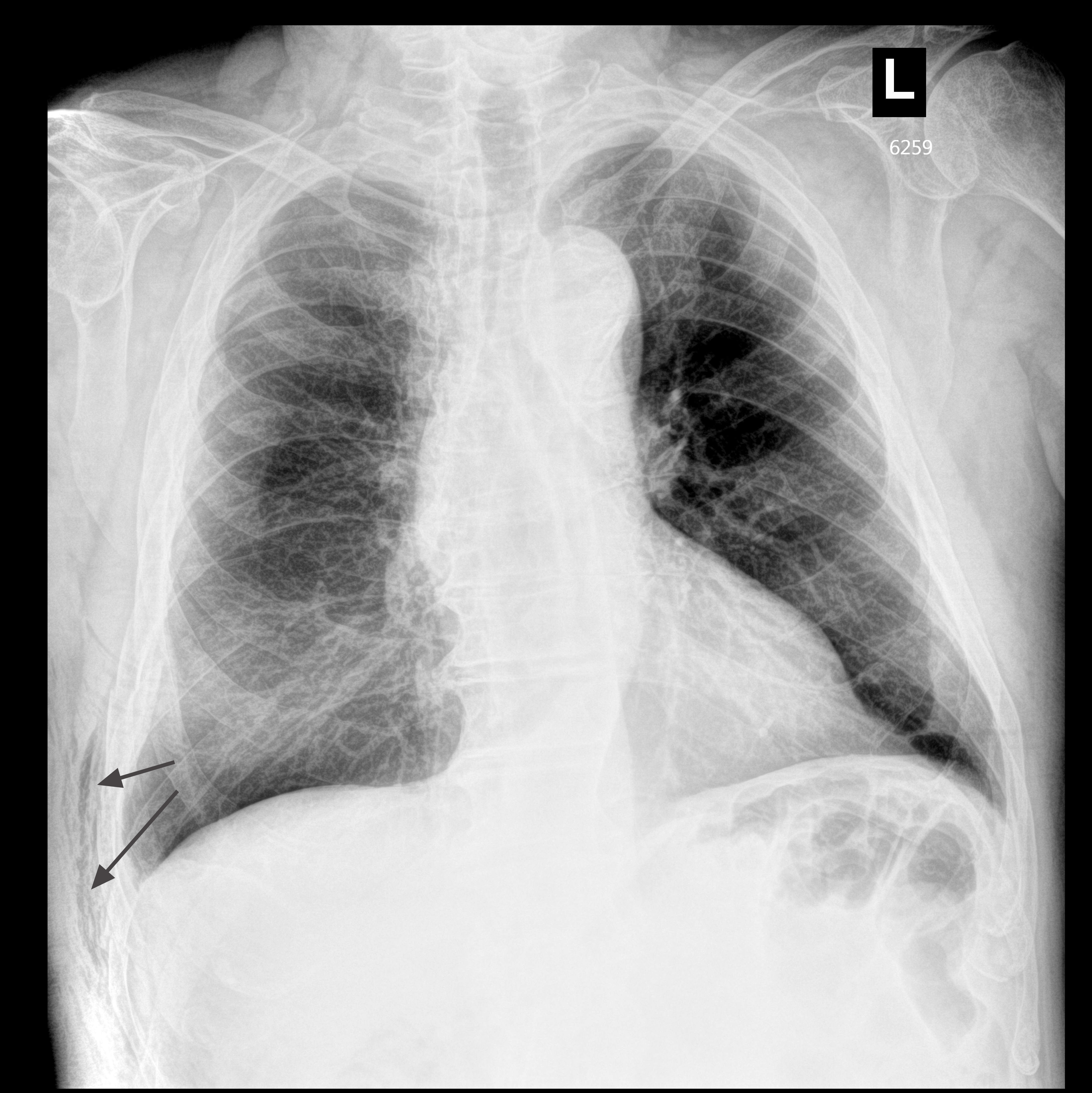
Отправлен на рентгеновское исследование грудной клетки.
На рентгенограмме определяется воздух в мягких тканях, данных за массивный пневматоракс нет.
Таким образом, УЗИ является довольно чувствительным и информативным методом в диагностике пневматоракса при травме грудной клетки.
Пальпаторно справа - подкожная крепитация.
Ультразвуковое панорамное изображение и видео подкожной эмфмземы при травме грудной клетки. В подкожно-жировой клетчатке определяется воздух (стрелки). Линия плевры находится глубже воздуха (толстая стрелка). Пальпаторно в зоне скопления воздуха определяется крепитация. Позади воздуха определяются Е-линии. Обратите внимание на подвижность линии легкого и неподвижность "залипшего" в верхней точке грудной клетки воздуха.
Справа во IIм межреберье в плевральной полости определяется небольшое количество свободного воздуха.
Слева воздух не определяется.
Отправлен на рентгеновское исследование грудной клетки.
На рентгенограмме определяется воздух в мягких тканях, данных за массивный пневматоракс нет.
Таким образом, УЗИ является довольно чувствительным и информативным методом в диагностике пневматоракса при травме грудной клетки.