Страница 1 из 1

Жидкость над диафрагмой

Добавлено: 21 ноя 2020, 19:24
KsV
Женщина средних лет. Профилактическое УЗИ. Жалоб не предъявляет.

phpBB [video]

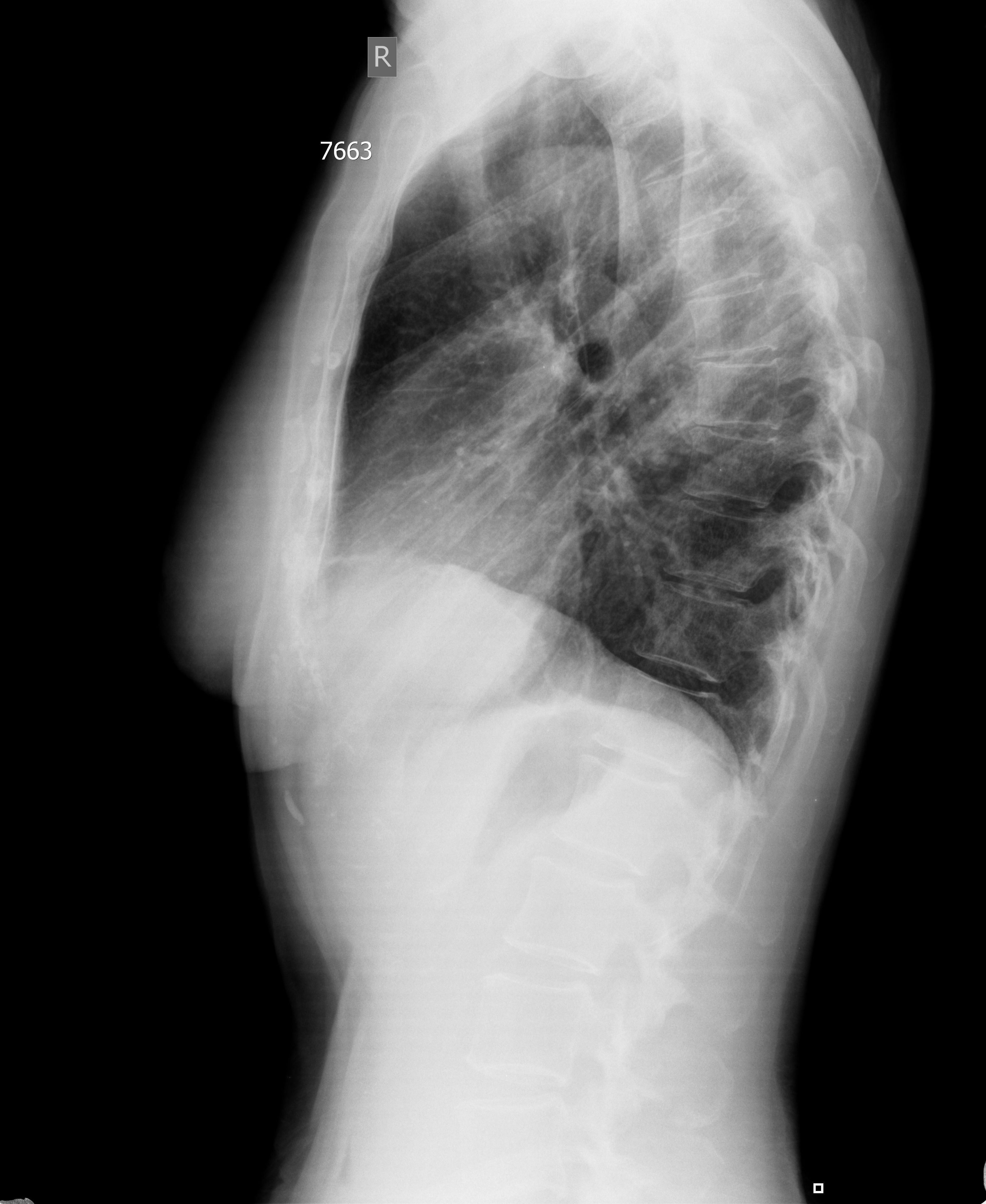
rakauski1.jpg
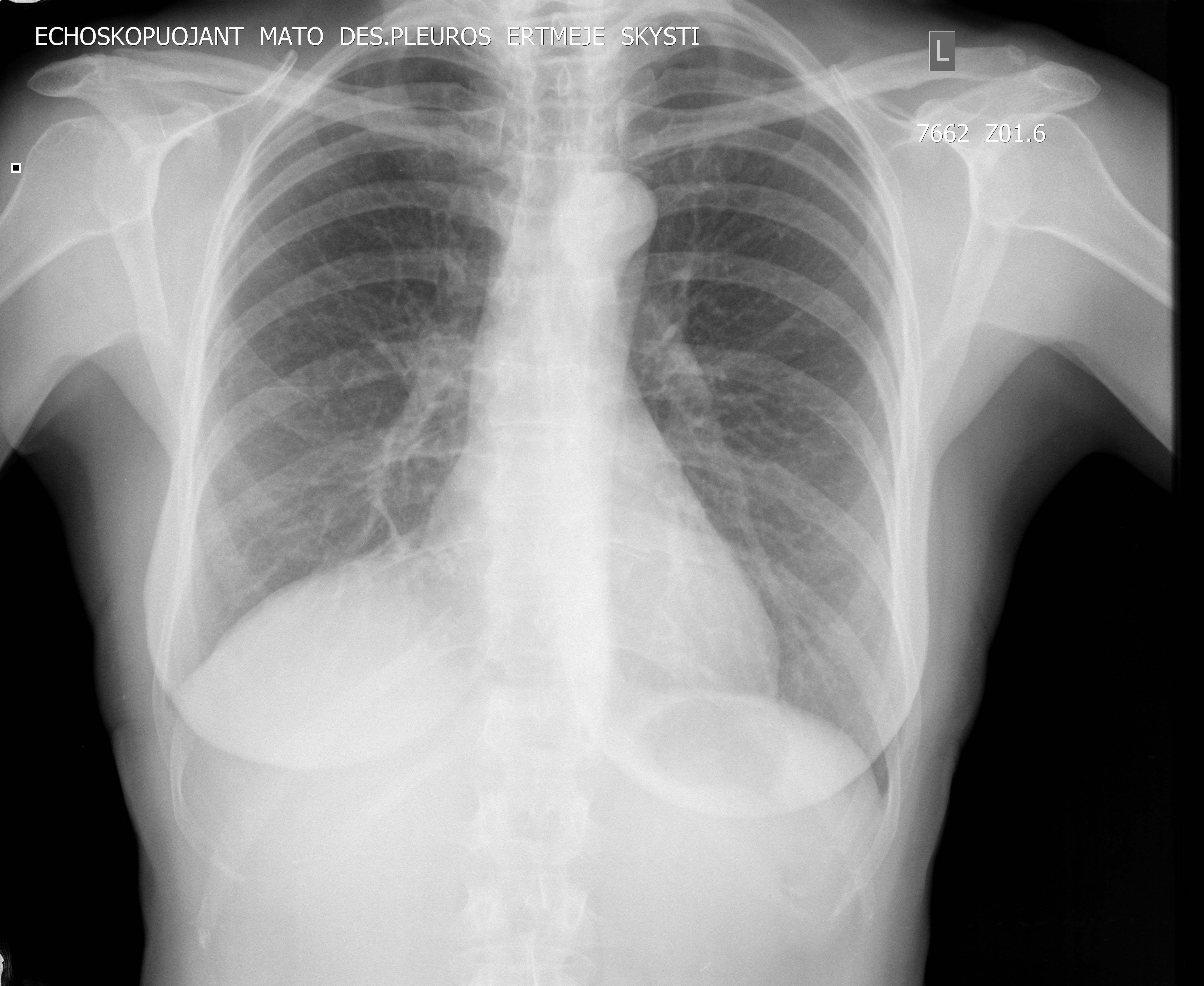
rakausk2.jpg

Re: Жидкость над диафрагмой

Добавлено: 08 дек 2020, 12:00
KsV
Ответ радиолога по РГ
Спайки vs Липома vs Другое в правом кардиодиафрагмальном синусе



ro -grama - Krūtinės ląstos organų 2-jų krypčių rentgenogramos Pleuros sinusai laisvi. Dešinėje kardiodiafragminis sinusas seklus - sąaugos ar lipoma ar kita? Dešinėje deformuota diafragma dėl dalinės relaksacijos? Plaučių piešinys pagausėjęs deformuotas. Šaknys struktūrinės. Širdis - n.y. Ao - suintensyvėjusi.