Страница 1 из 1
Наверное, так рождаются и рассыпаются камни...
Добавлено: 16 мар 2009, 11:47
KsV
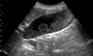
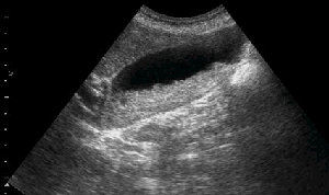
Женщина 59 лет с болями в подребрье справа.

- Сонограмма желчного пузыря при поступлении в стационар.

- Повторная сонограмма через сутки.
Re: Наверное, так рождаются и рассыпаются камни...
Добавлено: 18 мар 2009, 21:59
ФАМ
Думаю, что это варианты трансформации коллоидальной устойчивости самой желчи,точнее слажа, т.е.фазовые переходы: фезикулярный агломерат - жидкий кристалл - истинный кристалл и обратно
Re: Наверное, так рождаются и рассыпаются камни...
Добавлено: 19 мар 2009, 11:38
Dr.Mario
Разделяю точку зрения высказанную выше. Dynamical US control of GB sludge formation stages.
Re: Наверное, так рождаются и рассыпаются камни...
Добавлено: 18 май 2009, 15:36
Pimanov_Sergey
Да, скорее всего, больной был на голоде.