Предлагаю обсудить данную тему, техника и диагностическая значимость УЗИ/KT при подозрении на острый аппендицит.
N.B. Все сонограммы и КТ сканы, представлены из собственной практики.
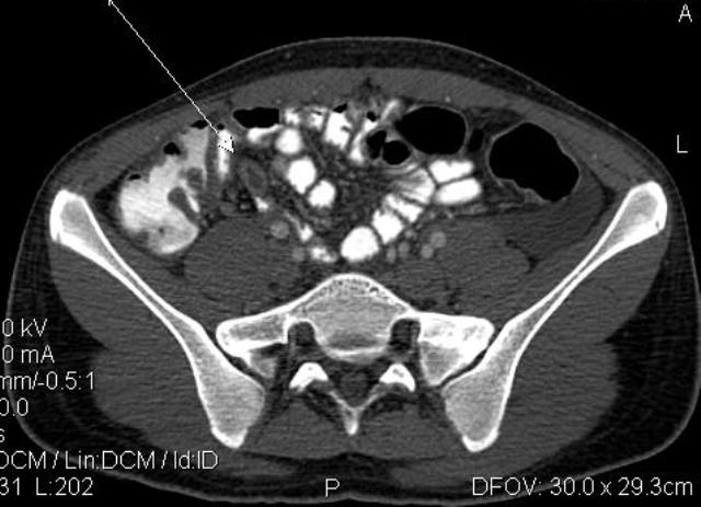
Bизуализация аппендикса
Bизуализация аппендикса
- Вложения
-
- Острый аппендицит, КТ MPR coronal
- AA Cor.jpg (18.44 КБ) 1330 просмотров
- KsV
- Администратор
- Сообщения: 2189
- Зарегистрирован: 22 фев 2009, 13:38
- Откуда: Беларусь-Lietuva
- Контактная информация:
Re: Bизуализация аппендикса
На Ваш взгляд, какие УЗ-критерии о.аппендицита и с какими заболеваниями необходимо производить дифференциальный диагноз?
Re: Bизуализация аппендикса
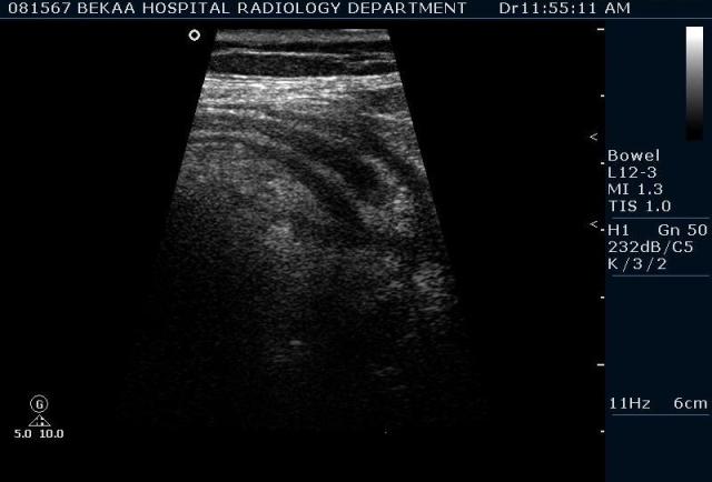
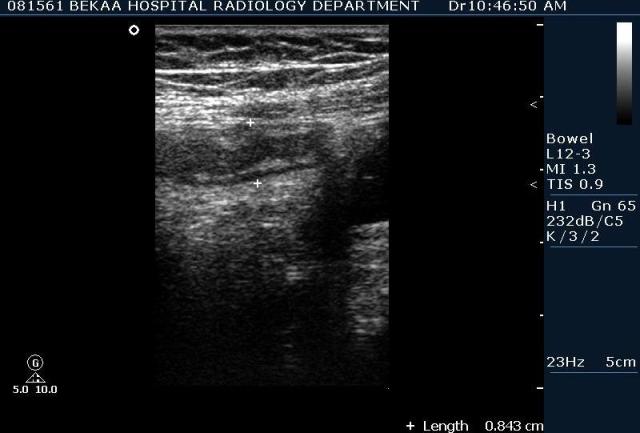
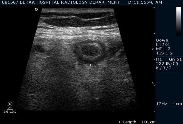
Диагностика острого аппендицита по УЗИ: очень актуальная тема; УЗ аппараты практически есть во всех клиниках; метод доступный и не сложный; главное владеть правильной техникой. Не буду загружать лишней теорией и разными ссылками; поделюсь практическим опытом. У меня линейный датчик 3-12 мегагерц с плавающей частотой; аппарат Филипс HD 11, всегда включаю соно-КТ (9800 цифровых каналов) и гармонику когда смотрю кишечник. Нормальный аппендикс видеть можно; но вопрос зачем??? Как правило, если при наличии достаточного опыта аппендикс не виден; значит скорей всего аппендицита нет. Когда "идешь" на аппендицит то главное по началу набраться терпения и......хорошая компрессия! По началу надо минут 10-15; потом когда появится достаточный опыт; за 2-5 минут можно справится и получить отличную визуализацию. Мочевой пузырь лучше опорожнить; часто он приподнимают тонкий кишечник и может закрыть "окно" через которое будет видно апендикс. Сначала находим слепую кишку потом находим илео-цекальное соединение;
после начинаем производить хорошую компрессию датчиком попрося пациента сообщить в какой точке боль наиболее выражена; медленными движениями датчика сканируем область наибольших болевых ощущений и как правило находим утолщенный отросток. Лучше начинать с поперечной визуализации и идти к верхушке аппендикса что бы убедится что это аппендикс и он заканчивается, а не тонкая кишка (которая если и закончится то только переходя в слепую); потом надо аккуратно развернуть продольно датчик и посмотреть от верхушки аппендикса к слепой. Норма диаметра: 3-4 мм; 5-6 мм под вопросом (клиника решает; но я в катаральный аппендицит не верю); 7-8 мм и больше, не компремируемый (фиксированный отросток)-острый аппендицит! Помимо наличие утолщенного аппендикса; признака "бычьего глаза" (bull-eye sign) при поперечном сканировании; надо обращать внимание на присуствие аппендоколитов в просвете; деструкцию стенки и свободной жидкости в зоне интереса.
В плане диф.диагноза; по моему скромному мнению, если адекватно в полной мере владеешь методом УЗИ, и видишь признаки о.аппендицита, спутать с чем либо другим сложно.
после начинаем производить хорошую компрессию датчиком попрося пациента сообщить в какой точке боль наиболее выражена; медленными движениями датчика сканируем область наибольших болевых ощущений и как правило находим утолщенный отросток. Лучше начинать с поперечной визуализации и идти к верхушке аппендикса что бы убедится что это аппендикс и он заканчивается, а не тонкая кишка (которая если и закончится то только переходя в слепую); потом надо аккуратно развернуть продольно датчик и посмотреть от верхушки аппендикса к слепой. Норма диаметра: 3-4 мм; 5-6 мм под вопросом (клиника решает; но я в катаральный аппендицит не верю); 7-8 мм и больше, не компремируемый (фиксированный отросток)-острый аппендицит! Помимо наличие утолщенного аппендикса; признака "бычьего глаза" (bull-eye sign) при поперечном сканировании; надо обращать внимание на присуствие аппендоколитов в просвете; деструкцию стенки и свободной жидкости в зоне интереса.
В плане диф.диагноза; по моему скромному мнению, если адекватно в полной мере владеешь методом УЗИ, и видишь признаки о.аппендицита, спутать с чем либо другим сложно.
Кто сейчас на конференции
Сейчас этот форум просматривают: нет зарегистрированных пользователей и 0 гостей