Страница 1 из 2
Изменения желчного пузыря
Добавлено: 31 мар 2009, 08:59
KsV
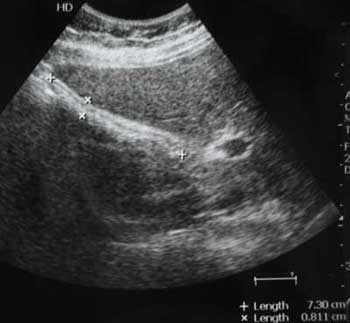
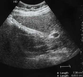
Молодой мужчина с болями в эпигастральной области.
Осматривался дважды натощак. Выявлены изменения желчного пузыря.
Печень, селезенка при УЗИ не изменены.
Прошу помочь с заключением.
Re: Изменения желчного пузыря
Добавлено: 01 апр 2009, 08:30
acustic
Запустевший желчный пузырь болей не даёт. При верхнеабдоминальном синдроме необходимо также проводить ФГДС.
Re: Изменения желчного пузыря
Добавлено: 13 апр 2009, 20:04
А.М.Шифрин
Если этот желчный пузырь не удается "вытянуть", то он не сократившийся, а нефункционирующий ИМХО.
Re: Изменения желчного пузыря
Добавлено: 14 окт 2009, 13:57
besliu
Думаю,что это не просто пустой ж.пузырь,он содержит гиперэхогенное включение в середине,повторяющее форму ж.пузыря и дающее позадиакустическую тень.Возможна кальцифицированная аскарида

Re: Изменения желчного пузыря
Добавлено: 21 ноя 2009, 05:46
Nemtsov L
Нефункционирующий желчный пузырь содержит гиперэхогенное включение.
Re: Изменения желчного пузыря
Добавлено: 11 мар 2010, 08:56
KsV
Похожий случай. Молодой мужчина, врач, длительные терпимые боли в правом подреберье.
???
Re: Изменения желчного пузыря
Добавлено: 19 мар 2010, 17:34
besliu
1Интересно узнать какой диагноз был выставлен первому пациенту? Спасибо.
2.По второму случаю можно было бы просто подумать о гиперкинезии ж.пузыря,который сокращается и "от глотка слюны".Но,прочитав эту фразу:"In patients with hilar cholangiocarcinoma and complete obstruction of both rigt and left hepatic ducts,extrahepatic bile ducts and the gollbladder appear empty(colapsed)",учитывая сложность выявления "малых" опухолей печени методом УЗИ,я думаю,что надо сделать КТ.
Re: Изменения желчного пузыря
Добавлено: 18 июн 2010, 11:44
KsV
Первый ж.пузырь удален, клинический диагноз "сморщенный желчный пузырь, ЖКБ", гистология - фиброз стенок желчного пузыря.
Re: Изменения желчного пузыря
Добавлено: 19 июн 2010, 09:59
besliu
Спасибо!Взят в архив памяти своей

Re: Изменения желчного пузыря
Добавлено: 06 дек 2010, 15:38
Инга
Похожий случай сегодня:

- IMG_6794a.jpg (11.82 КБ) 2712 просмотров

- IMG_6790a.jpg (8.79 КБ) 2712 просмотров