Очаговые изменения печени- темное на темном
- KsV
- Администратор
- Сообщения: 2191
- Зарегистрирован: 22 фев 2009, 13:38
- Откуда: Беларусь-Lietuva
- Контактная информация:
Очаговые изменения печени- темное на темном
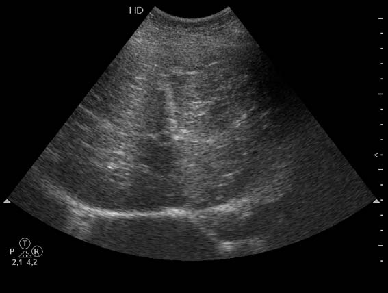
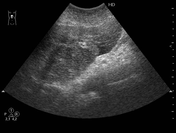
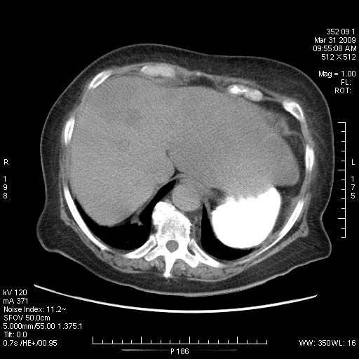
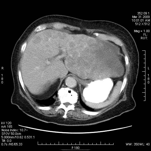
Женщина 82 лет с болями в эпигастральной области.
Очаги были пропущены при ультразвуковом исследовании.
Очаги были пропущены при ультразвуковом исследовании.
- Вложения
-
3.mov- УЗИ-видео
- (4.79 МБ) 167 скачиваний
Re: Очаговые изменения печени- темное на темном
Плохо....
Такие метастазы в печень очень хорошо видны на поздней артериальной/портальной фазе, с типичным периферическим усилением по типу "кольца".
Re: Очаговые изменения печени- темное на темном
Почему Вы пишете, что очаги пропущены? ведь....
Заблуждение № 2. «УЗИ является прекрасным методом диагностики метастазов печени». Крайне опасное заблуждение. По современным данным выявляемость метастатических очагов до 3 см при обычном УЗИ может не превышать 45 %, более 3 см – 80 %. Чувствительность УЗИ может быть существенно повышена применением ультразвуковых контрастных средств, однако последние очень дороги и требуют современного ультразвукового оборудования. Вывод: при необходимости выявления очаговых поражений печени необходимо выполнение протоколов КТ. Для уточнения природы выявленных очагов возможно проведение прицельной биопсии под контролем УЗИ.
Заблуждение № 2. «УЗИ является прекрасным методом диагностики метастазов печени». Крайне опасное заблуждение. По современным данным выявляемость метастатических очагов до 3 см при обычном УЗИ может не превышать 45 %, более 3 см – 80 %. Чувствительность УЗИ может быть существенно повышена применением ультразвуковых контрастных средств, однако последние очень дороги и требуют современного ультразвукового оборудования. Вывод: при необходимости выявления очаговых поражений печени необходимо выполнение протоколов КТ. Для уточнения природы выявленных очагов возможно проведение прицельной биопсии под контролем УЗИ.
- KsV
- Администратор
- Сообщения: 2191
- Зарегистрирован: 22 фев 2009, 13:38
- Откуда: Беларусь-Lietuva
- Контактная информация:
Re: Очаговые изменения печени- темное на темном
Потому что при повторном УЗ-исследовании (уже после КТ) они были обнаружены.Serg писал(а):Почему Вы пишете, что очаги пропущены?
И потому что так считают хирурги, которые уверены, что на УЗИ видно всё.
Re: Очаговые изменения печени- темное на темном
На узи должны видеть всё? иначе грошшш нам цена? 
Re: Очаговые изменения печени- темное на темном
С.В. подскажите это из каких источников, прошерстил литературу диагностика мтс печени 80-90 %, получилось так что вплотную столкнулся....Serg писал(а):.
Заблуждение № 2. «УЗИ является прекрасным методом диагностики метастазов печени». Крайне опасное заблуждение. По современным данным выявляемость метастатических очагов до 3 см при обычном УЗИ может не превышать 45 %, более 3 см – 80 %. :
- KsV
- Администратор
- Сообщения: 2191
- Зарегистрирован: 22 фев 2009, 13:38
- Откуда: Беларусь-Lietuva
- Контактная информация:
Re: Очаговые изменения печени- темное на темном
Цифры брались из презентации, посвященной контрастной сонографии. Диски остались в РБ, быстро ссылки не дам.Serg писал(а):С.В. подскажите это из каких источников, прошерстил литературу диагностика мтс печени 80-90 %, получилось так что вплотную столкнулся....Serg писал(а): Заблуждение № 2. «УЗИ является прекрасным методом диагностики метастазов печени». Крайне опасное заблуждение. По современным данным выявляемость метастатических очагов до 3 см при обычном УЗИ может не превышать 45 %, более 3 см – 80 %. :
В целом, ситуация с выявляемостью мтс такая же как и у КТ и МРТ без контрастирования, поэтому смело можно пользоваться данными этих методик.
Поищу сейчас в нете(есть немного времени)
Quaia E, D’Onofrio M, Palumbo A, Rossi S, Bruni S, Cova M. Comparison of contrast-enhanced ultrasonography
versus baseline ultrasound and contrast-enhanced computed tomography in metastatic disease of
the liver: diagnostic performance and confidence. Eur Radiol 2006;16:1599-609.
http://www.ncbi.nlm.nih.gov/pubmed/22161556
http://www.ncbi.nlm.nih.gov/pmc/articles/PMC2582502/
http://www.ncbi.nlm.nih.gov/pubmed/15700330
http://www.ncbi.nlm.nih.gov/pubmed/12811698
http://www.ncbi.nlm.nih.gov/pubmed/17618038
Re: Очаговые изменения печени- темное на темном
Спасибо С.В.!, надо над этим поразмыслить
- KsV
- Администратор
- Сообщения: 2191
- Зарегистрирован: 22 фев 2009, 13:38
- Откуда: Беларусь-Lietuva
- Контактная информация:
Re: Очаговые изменения печени- темное на темном
Не, не надо.
Над всем уже поразмыслили другие люди. Нужно только воспользоваться их рекомендациями, а не изобретать велосипед.
Над всем уже поразмыслили другие люди. Нужно только воспользоваться их рекомендациями, а не изобретать велосипед.
- KsV
- Администратор
- Сообщения: 2191
- Зарегистрирован: 22 фев 2009, 13:38
- Откуда: Беларусь-Lietuva
- Контактная информация:
Re: Очаговые изменения печени- темное на темном
Ну вот
The accuracy of unenhanced US in the assessment of hepatic metastases is lower than that of contrastenhanced CT and MR. In series with a true gold standard, its sensitivity ranges between 50% and 76% (Table 18.2) (Clarke et al. 1989; Ohlsson et al. 1993; Wernecke et al. 1991). Problems encountered with US are its operator-dependent nature (making it difficult to use for follow-up staging), the sometimes difficult access to subdiaphragmatic areas of segments IVa and VIII and poor liver-to-lesion contrast of isoechoic lesions, especially in small metastases. For lesions smaller than 1 cm, the false-negative rate is as high as 80% (Wernecke et al. 1991). The false-positive rate of US is in the order of 5–10% on a by patient basis and considerably higher on a by lesion basis.
Focal Liver Lesions: Detection, Characterization, Ablation
Авторы: Riccardo Lencioni,A.L. Baert,Dania Cioni,Carlo Bartolozzi
Pp 261-275
The accuracy of unenhanced US in the assessment of hepatic metastases is lower than that of contrastenhanced CT and MR. In series with a true gold standard, its sensitivity ranges between 50% and 76% (Table 18.2) (Clarke et al. 1989; Ohlsson et al. 1993; Wernecke et al. 1991). Problems encountered with US are its operator-dependent nature (making it difficult to use for follow-up staging), the sometimes difficult access to subdiaphragmatic areas of segments IVa and VIII and poor liver-to-lesion contrast of isoechoic lesions, especially in small metastases. For lesions smaller than 1 cm, the false-negative rate is as high as 80% (Wernecke et al. 1991). The false-positive rate of US is in the order of 5–10% on a by patient basis and considerably higher on a by lesion basis.
Focal Liver Lesions: Detection, Characterization, Ablation
Авторы: Riccardo Lencioni,A.L. Baert,Dania Cioni,Carlo Bartolozzi
Pp 261-275
Кто сейчас на конференции
Сейчас этот форум просматривают: нет зарегистрированных пользователей и 2 гостя