Опухоль толстой кишки -Пациент М. 60 лет с болями в левой...

Печень, желчный пузырь, поджелудочная железа, селезенка. Кишечник.
Только верифицированые изображения
Ответить
Аватара пользователя
Dr.Mario
Эксперт
Сообщения: 160
Зарегистрирован: 17 мар 2009, 07:36
Контактная информация:

Опухоль толстой кишки -Пациент М. 60 лет с болями в левой...

Сообщение Dr.Mario »

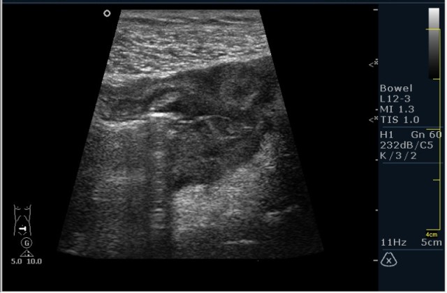
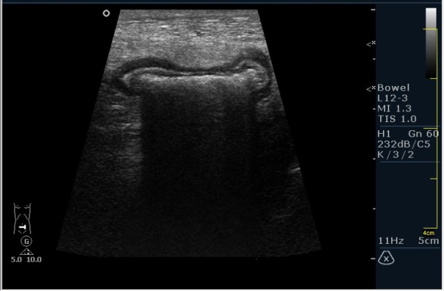
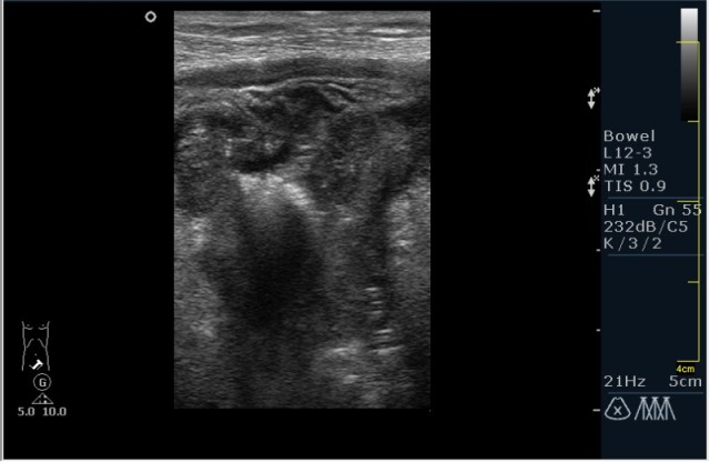
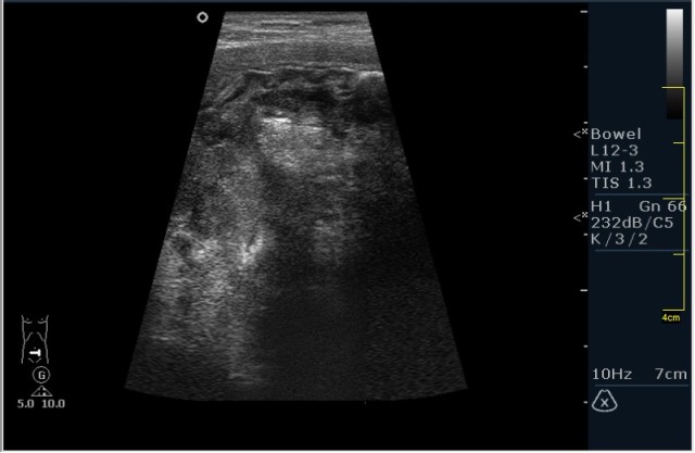
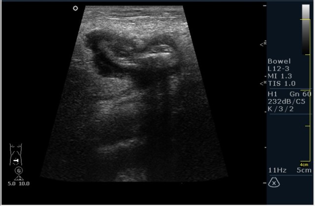
Пациент М. 60 лет с болями в левой подвздошной области. Пациент был направлен на УЗИ с диагнозом: левосторонняя почечная колика. Жалобы на боли в левой подвздошной области отдающие в таз. Анамнез без особонностей.
Вложения
sigma7.JPG
sigma4.JPG
sigma8.JPG
sigma10.JPG
sigma6.JPG
sigma2.JPG
Let me see...
www.radiographia.ru
Аватара пользователя
Dr.Mario
Эксперт
Сообщения: 160
Зарегистрирован: 17 мар 2009, 07:36
Контактная информация:

Re: Пациент М. 60 лет с болями в левой подвздошной области.

Сообщение Dr.Mario »

Пациента я сразу направил на эндоскопию. К сожалению, заключение было ожидаемым с моей стороны, опухоль (карцинома по результату биопсии).
Let me see...
www.radiographia.ru
Ответить

Вернуться в «Абдоминальные исследования»

Кто сейчас на конференции

Сейчас этот форум просматривают: нет зарегистрированных пользователей и 0 гостей