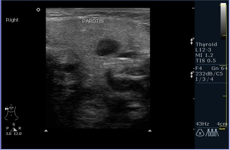
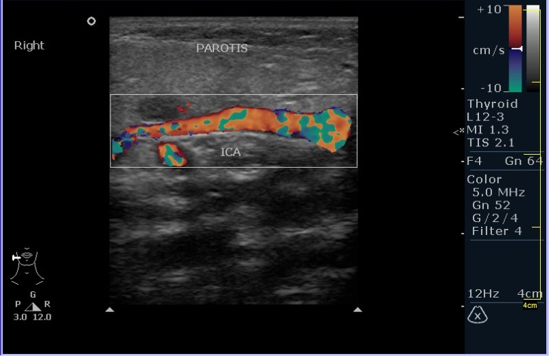
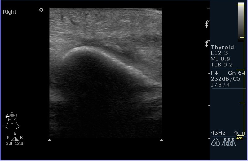
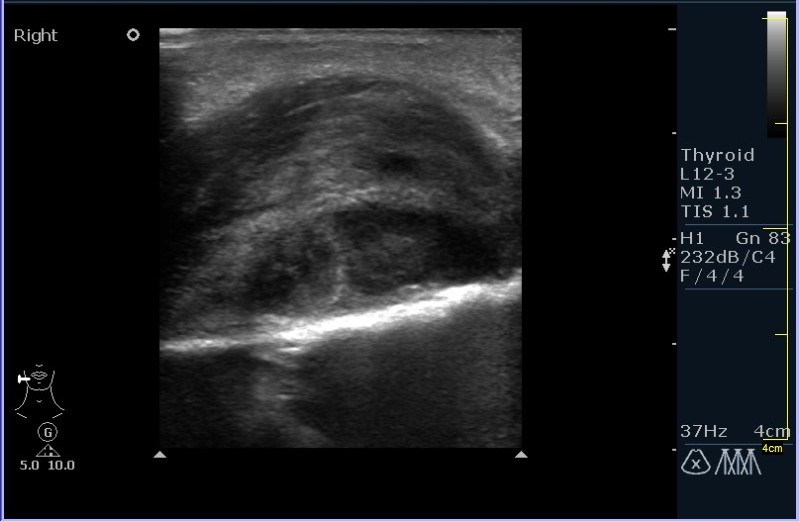
УЗИ области правой околоушной железы и угла нижней челюсти.

То, что не вошло в предыдущие разделы.
Изображения для консультации
Ответить
Аватара пользователя
Dr.Mario
Эксперт
Сообщения: 160
Зарегистрирован: 17 мар 2009, 07:36
Контактная информация:

УЗИ области правой околоушной железы и угла нижней челюсти.

Сообщение Dr.Mario »

Девочка 8 лет, с опухлостью щеки и области правого угла нижней челюсти, резко боезненной при пальпации. В анамнезе (после наводящих вопросов :ugeek: ), визит к стоматологу около месяза назад.
Вложения
Facial_abscess0.JPG
Facial_abscess1.JPG
Facial_abscess2.JPG
Facial_abscess7.JPG
Facial_abscess8.JPG
Facial_abscess9.JPG
Let me see...
www.radiographia.ru
Ответить

Вернуться в «Разное»

Кто сейчас на конференции

Сейчас этот форум просматривают: нет зарегистрированных пользователей и 0 гостей