УЗИ, пилоростеноз у детей

Печень, желчный пузырь, поджелудочная железа, селезенка. Кишечник.
Только верифицированые изображения
Ответить
Аватара пользователя
Dr.Mario
Эксперт
Сообщения: 160
Зарегистрирован: 17 мар 2009, 07:36
Контактная информация:

УЗИ, пилоростеноз у детей

Сообщение Dr.Mario »

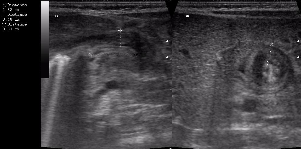
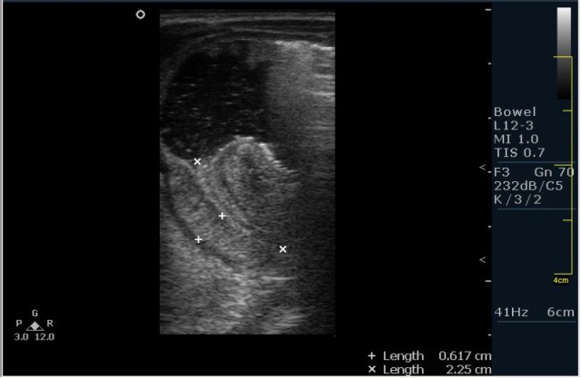
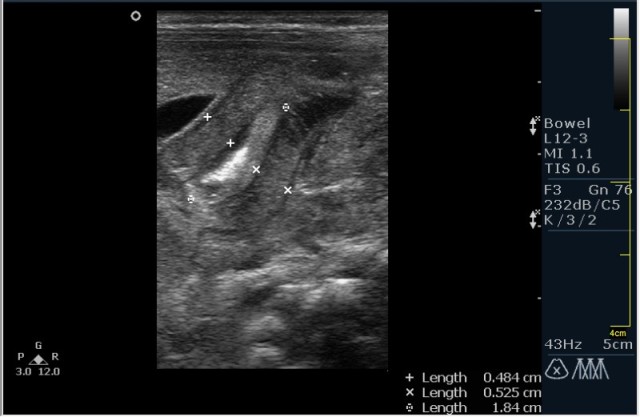
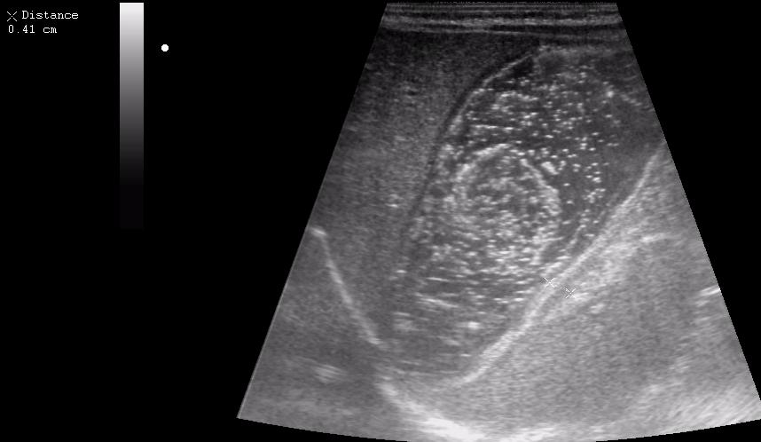
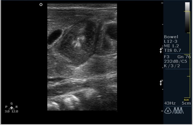
Ребёнок 1 месяц 10 дней от родy, с отсуствием прибавки в весе.
Вложения
Pylorus0.JPG
Pylorus1.JPG
Pylorus2.JPG
Pylorus3.JPG
Pylorus4.JPG
Pylorus5.JPG
Let me see...
www.radiographia.ru
Аватара пользователя
acustic
Сообщения: 10
Зарегистрирован: 30 мар 2009, 09:12
Контактная информация:

Re: УЗИ Желудка

Сообщение acustic »

Очень похоже на пилоростеноз.
ФАМ
Учитель
Сообщения: 12
Зарегистрирован: 18 мар 2009, 21:09
Контактная информация:

Re: УЗИ Желудка

Сообщение ФАМ »

Пилоростеноз
Аватара пользователя
Dr.Mario
Эксперт
Сообщения: 160
Зарегистрирован: 17 мар 2009, 07:36
Контактная информация:

Re: УЗИ Желудка

Сообщение Dr.Mario »

Hypertrophic pyloric stenosis.
Criteria:
1.Pyloric channel > 12 mm in length
2.Muscular layer thickness > 3-4 mm
3.Donuts sign at transverse scanning
Let me see...
www.radiographia.ru
w.Thyme
Сообщения: 143
Зарегистрирован: 24 апр 2010, 17:46

Re: УЗИ Желудка

Сообщение w.Thyme »

Dr.Mario писал(а): 3.Donuts sign at transverse scanning
было бы неплохо перевести это слово!

а у нас сегодня опять одна красава! (месяца 3 НИОДНОГО пилоростеноза небыло!)
Вложения
34647.JPG
34648.JPG
сорри, колесико недотянула
сорри, колесико недотянула
Аватара пользователя
KsV
Администратор
Сообщения: 2189
Зарегистрирован: 22 фев 2009, 13:38
Откуда: Беларусь-Lietuva
Контактная информация:

Re: УЗИ, пилоростеноз у детей

Сообщение KsV »

Признак "пончика".

А что, похоже.
Ответить

Вернуться в «Абдоминальные исследования»

Кто сейчас на конференции

Сейчас этот форум просматривают: нет зарегистрированных пользователей и 1 гость