Изменения желчного пузыря
- KsV
- Администратор
- Сообщения: 2189
- Зарегистрирован: 22 фев 2009, 13:38
- Откуда: Беларусь-Lietuva
- Контактная информация:
Изменения желчного пузыря
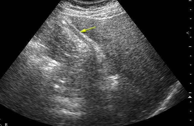
Молодой мужчина с болями в эпигастральной области.
Осматривался дважды натощак. Выявлены изменения желчного пузыря.
Печень, селезенка при УЗИ не изменены.
Прошу помочь с заключением.
Осматривался дважды натощак. Выявлены изменения желчного пузыря.
Печень, селезенка при УЗИ не изменены.
Прошу помочь с заключением.
Re: Изменения желчного пузыря
Запустевший желчный пузырь болей не даёт. При верхнеабдоминальном синдроме необходимо также проводить ФГДС.
-
А.М.Шифрин
- Сообщения: 60
- Зарегистрирован: 12 апр 2009, 18:41
- Контактная информация:
Re: Изменения желчного пузыря
Если этот желчный пузырь не удается "вытянуть", то он не сократившийся, а нефункционирующий ИМХО.
Re: Изменения желчного пузыря
Думаю,что это не просто пустой ж.пузырь,он содержит гиперэхогенное включение в середине,повторяющее форму ж.пузыря и дающее позадиакустическую тень.Возможна кальцифицированная аскарида 
Re: Изменения желчного пузыря
Нефункционирующий желчный пузырь содержит гиперэхогенное включение.
- KsV
- Администратор
- Сообщения: 2189
- Зарегистрирован: 22 фев 2009, 13:38
- Откуда: Беларусь-Lietuva
- Контактная информация:
Re: Изменения желчного пузыря
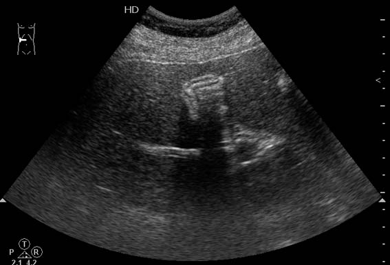
Похожий случай. Молодой мужчина, врач, длительные терпимые боли в правом подреберье.
???
???
Re: Изменения желчного пузыря
1Интересно узнать какой диагноз был выставлен первому пациенту? Спасибо.
2.По второму случаю можно было бы просто подумать о гиперкинезии ж.пузыря,который сокращается и "от глотка слюны".Но,прочитав эту фразу:"In patients with hilar cholangiocarcinoma and complete obstruction of both rigt and left hepatic ducts,extrahepatic bile ducts and the gollbladder appear empty(colapsed)",учитывая сложность выявления "малых" опухолей печени методом УЗИ,я думаю,что надо сделать КТ.
2.По второму случаю можно было бы просто подумать о гиперкинезии ж.пузыря,который сокращается и "от глотка слюны".Но,прочитав эту фразу:"In patients with hilar cholangiocarcinoma and complete obstruction of both rigt and left hepatic ducts,extrahepatic bile ducts and the gollbladder appear empty(colapsed)",учитывая сложность выявления "малых" опухолей печени методом УЗИ,я думаю,что надо сделать КТ.
- KsV
- Администратор
- Сообщения: 2189
- Зарегистрирован: 22 фев 2009, 13:38
- Откуда: Беларусь-Lietuva
- Контактная информация:
Re: Изменения желчного пузыря
Первый ж.пузырь удален, клинический диагноз "сморщенный желчный пузырь, ЖКБ", гистология - фиброз стенок желчного пузыря.
Re: Изменения желчного пузыря
Спасибо!Взят в архив памяти своей 
Re: Изменения желчного пузыря
Похожий случай сегодня:
Кто сейчас на конференции
Сейчас этот форум просматривают: нет зарегистрированных пользователей и 0 гостей