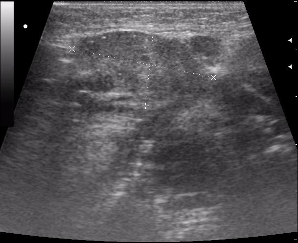
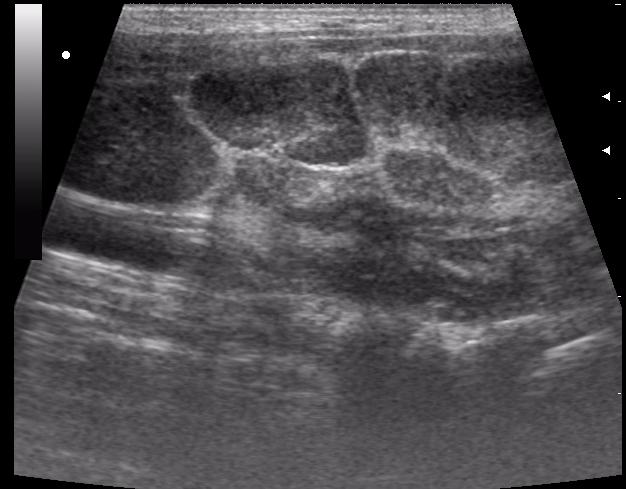
В гнойную хирургию положили ребенка с двусторонним шейным лимфаденитом в ст. инфильтрации.
мне этот лимфаденит показался совсем не лимфаденитным.
Cвинка
Re: свинка
смотрю выше и вижу - картина маслом, с веселым названием - "а у нас карантин"
Re: свинка
Да уж,явное увеличение околоушных желез.Да и реакция л.узлов значительная.Интресно понаблюдать в динамике.Слишком большие подчелюстные узлы.Спасибо за случай.
Кто сейчас на конференции
Сейчас этот форум просматривают: нет зарегистрированных пользователей и 1 гость