Острый флегмонозный аппендицит

Печень, желчный пузырь, поджелудочная железа, селезенка. Кишечник.
Только верифицированые изображения
Ответить
Аватара пользователя
KsV
Администратор
Сообщения: 2191
Зарегистрирован: 22 фев 2009, 13:38
Откуда: Беларусь-Lietuva
Контактная информация:

Острый флегмонозный аппендицит

Сообщение KsV »

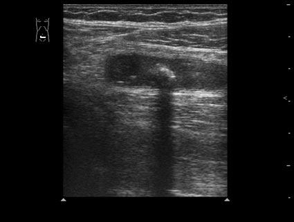
Пациент 32 лет.
В правой подвздошной области определяется утолщенный аппендикс, не компрессируется при надавливании датчиком, в просвете определяется аппендиколит; окружающие аппендикс ткани инфильтрированы.
app1.jpg
app2.jpg
Ответить

Вернуться в «Абдоминальные исследования»

Кто сейчас на конференции

Сейчас этот форум просматривают: нет зарегистрированных пользователей и 0 гостей