Травма
Re: Травма
мальчик решил, что он шашлык.
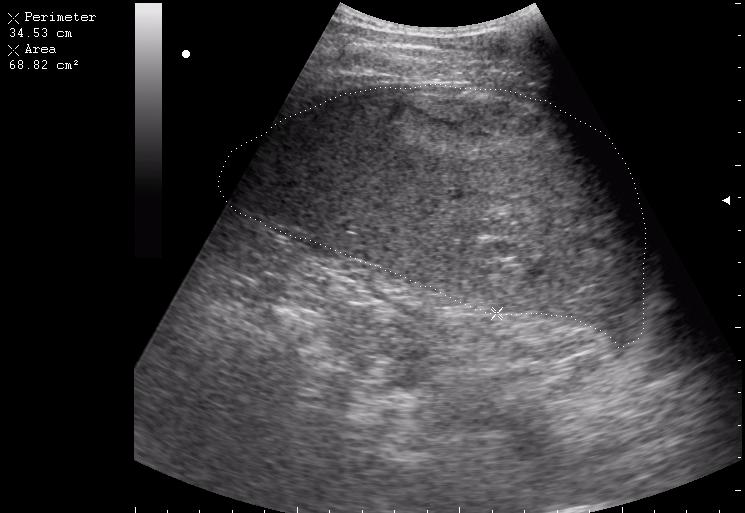
железный дрын вошел в правую подвздошную область, остановился в капсуле печени.
железный дрын вошел в правую подвздошную область, остановился в капсуле печени.
Re: Травма
наезд большой черной Прады на маленькую (13кг) 5-летнюю девочку.
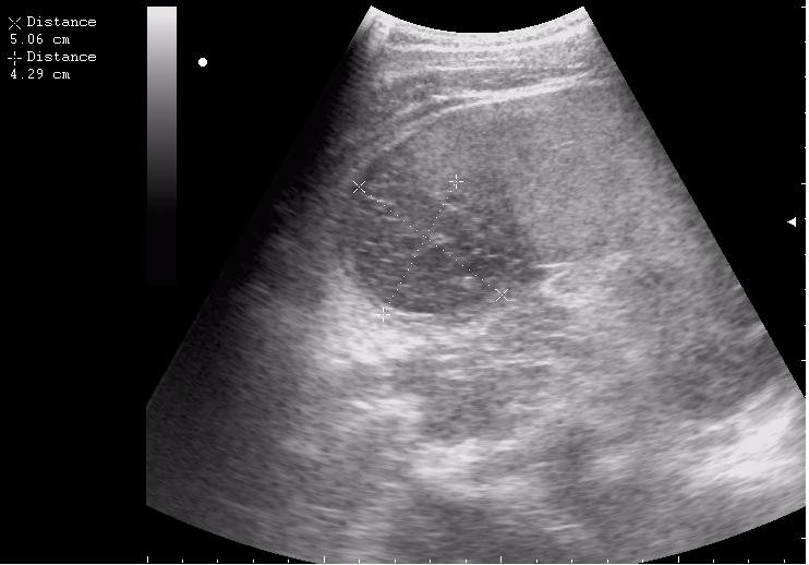
получает Медаксон, рабочая версия - изменение желчного пузыря вследствии травмы (шепотом - рекомендация хирургу сменить антибиотик)
получает Медаксон, рабочая версия - изменение желчного пузыря вследствии травмы (шепотом - рекомендация хирургу сменить антибиотик)
Re: Травма
а вчера ему папа купил квадрацикл. готовит в каскадёры?
Re: Травма
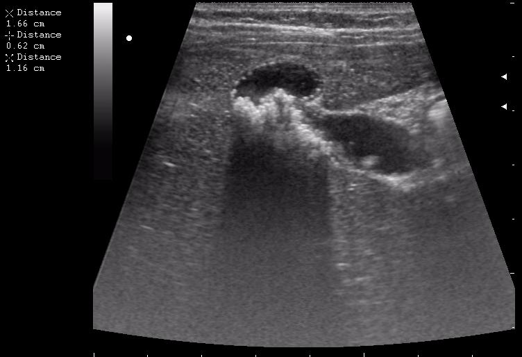
сегодня был селезёночный день.
- Вложения
Последний раз редактировалось w.Thyme 21 май 2010, 17:57, всего редактировалось 1 раз.
- KsV
- Администратор
- Сообщения: 2191
- Зарегистрирован: 22 фев 2009, 13:38
- Откуда: Беларусь-Lietuva
- Контактная информация:
Re: Травма
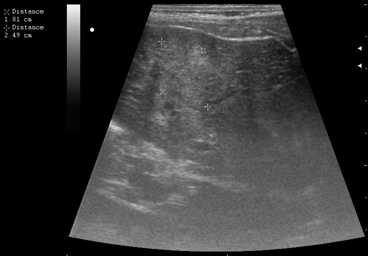
>желтой стрелкой - это левый надпочечник?
Похоже.
Он обычно располагается больше кнутри от верхнего полюса почки и может досигать ее ворот.
Надежнее визуализировать ЛН из позиции, которую я показывал в известной Вам теме.
Похоже.
Он обычно располагается больше кнутри от верхнего полюса почки и может досигать ее ворот.
Надежнее визуализировать ЛН из позиции, которую я показывал в известной Вам теме.
Re: Травма
мальчик лежал на спине (переломы костей таза). на затёки крови не похоже.
Re: Травма
Много раз СПАСИБО!Все мне интересно и поучительно.Срочные случаи вижу только на курсах специализации,да и то во взрослой "скорой".Уже поздно сожалеть,но всеравно СОЖАЛЕЮ,что со многими случаями не сталкивалась!
,по-тому мне ВСЕ интересно! 
Кто сейчас на конференции
Сейчас этот форум просматривают: нет зарегистрированных пользователей и 2 гостя