Случай, однако

Печень, желчный пузырь, поджелудочная железа, селезенка. Кишечник.
Изображения для консультации
Ответить
Аватара пользователя
KsV
Администратор
Сообщения: 2189
Зарегистрирован: 22 фев 2009, 13:38
Откуда: Беларусь-Lietuva
Контактная информация:

Случай, однако

Сообщение KsV »

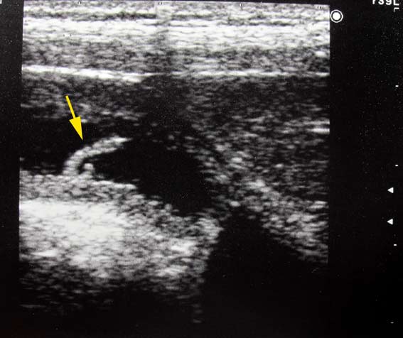
Ученик 10 класса с жалобами на перидические боли в эпигастрии, из гастроэнтерологического отделения.
При УЗИ желчный пузырь с равномерным утолщением стенок, в просвете - акустически прозрачная желчь, имеется какое-то образование не более 10мм длиной, фиксированное к стенке пузыря и, как нам с коллегой показалось, совершающее самостоятельные движения своей свободной частью.
Сонограмма желчного пузыря, линейный датчик 7.5 МГц
Сонограмма желчного пузыря, линейный датчик 7.5 МГц
Мы предположили паразита, вероятнее всего острицу, и ... были осмеяны коллегами.
Пациент появился через месяц, после выпускных празднеств, эта штука уже свободно плавала в просвете пузыря, вероятно не вынесла выпуского. Пузырь был удален в хирургическом отделении, никаких дополнительных структур визуально не было обнаружено (хотя я не уверен, что пузырь был осмотрен внимательно). На гистологии - хронический эозинофильный (!- СК) холецистит.

Встречался ли кто-нибудь с подобным?
Ответить

Вернуться в «Абдоминальные исследования»

Кто сейчас на конференции

Сейчас этот форум просматривают: нет зарегистрированных пользователей и 1 гость